Hematoma subdural
Un hematoma subdural es una acumulación de sangre entre la duramadre que es la membrana que cubre el cerebro y la aracnoides, una de las capas de las meninges. Un hematoma así constituido se debe a la rotura traumática de vasos venosos que atraviesan el espacio subdural, por lo tanto se produce una separación entre las capas de la aracnoides y la duramadre. Los hematomas subdurales pueden causar un aumento de la presión intracraneal, compresión y daño del tejido cerebral. Un hematoma subdural agudo tiene una mortalidad elevada, por lo que se considera una urgencia médica,[1] es de alrededor de 60 a 80 %.[2]
| Hematoma subdural | ||
|---|---|---|
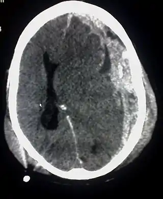
![]() | ||
| Especialidad | neurocirugía | |
Clasificación
- Hematoma subdural
- subagudo: depende de la velocidad de aparición.[3]
- agudo: colección de sangre recién coagulada con deterioro neurológico agudo debido al aumento de la presión intracraneal.[4]
- crónico: la sangre se acumula lentamente y es encapsulada por tejido de granulación fibrovascular. Ocurre con traumatismos mínimos y se observa tanto en pacientes jóvenes como ancianos. Se desarrolla durante días a semanas, a menudo después de un trauma menor en la cabeza, aunque tal causa no es identificable en el 50 % de los pacientes.[5] Pueden no ser descubiertos hasta que se presentan clínicamente, meses o años después de una lesión en la cabeza.[6] El sangrado de una hemorragia crónica es lento, probablemente de hemorragias leves reiteradas, y por lo general se detiene por sí mismo.[7][8] Dado que estas hemorragias progresan lentamente, presentan la posibilidad de ser detenidas antes de que causen daños significativos. Pequeños hematomas subdurales crónicos, los de menos de un centímetro de ancho, tienen mucho mejores resultados que los hematomas subdurales agudos: en un estudio, solo el 22 % de los pacientes con hemorragias subdurales crónicas tuvieron peores resultados que "buena recuperación" o "recuperación completa".[9]
Etiología
La causa más frecuente de la aparición de un hematoma subdural es una lesión cerebral cambiando de velocidad del movimiento de la cabeza, lo cual estira y rompe los vasos subdurales. Los hematomas subdurales son más frecuentes que los hematomas epidurales, los cuales tienden a ser causadas por fracturas y fuerzas lineales traumáticas.[7][9]
Algunos hematomas subdurales pueden aparecer espontáneamente, sin causa aparente.[10] Los siguientes factores incrementan el riesgo de sufrir un hematoma subdural:
- Traumatismo craneal
- Ser muy joven o de avanzada edad
- Medicamentos anticoagulantes
- Consumo de alcohol durante mucho tiempo
Véase también
Referencias
- MedlinePlus (julio de 2006). «Hematoma subdural». Enciclopedia médica en español. Consultado el 2 de octubre de 2008.
- Traumatic Brain Injury (TBI) - Definition, Epidemiology, Pathophysiology en eMedicine
- Subdural Hematoma Surgery en eMedicine
- UCLA Neurosurgery Archivado el 26 de septiembre de 2015 en Wayback Machine. visto 21 de julio 2011.
- Downie A. 2001. "Tutorial: CT in head trauma" Archivado el 6 de noviembre de 2005 en Wayback Machine. visto 7 de agosto 2007.
- Kushner D (1998). «Mild Traumatic Brain Injury: Toward Understanding Manifestations and Treatment». Archives of Internal Medicine 158 (15): 1617-1624. PMID 9701095. doi:10.1001/archinte.158.15.1617. Archivado desde el original el 14 de mayo de 2008. Consultado el 2 de enero de 2016.
- University of Vermont College of Medicine. "Neuropathology: Trauma to the CNS.".Consultado 8 de agosto de 2007.
- Graham DI and Gennareli TA. Cap. 5, "Pathology of brain damage after head injury" Cooper P & Golfinos G. 2000. Head Injury, 4ª Ed. Morgan Hill, New York.
- Wagner AL. 2004. "Subdural hematoma." Emedicine.com. Consultado 18 de agosto de 2007.
- Penetrating Head Trauma en eMedicine
Enlaces externos
Wikimedia Commons alberga una categoría multimedia sobre Hematoma subdural.
