Célula de Sertoli
Las células sustentaculares o células de Sertoli [1] son células especializadas, ubicadas en los túbulos seminíferos de los testículos, que brindan soporte estructural y metabólico a las células germinales masculinas durante la espermatogénesis. Presentan prolongaciones en forma de láminas curvas, que definen espacios en forma de nicho para los espermatocitos en maduración.
Las células de Sertoli forman la barrera hemato-testicular (BTB por sus siglas en inglés), mediante uniones estrechas entre sus membranas plasmáticas.
Estas células son estimuladas por la hormona foliculoestimulante (FSH) para generar la maduración de los espermatozoides.
La disfunción provoca una forma de infertilidad masculina.
| Célula sustentaculares de Sertoli | ||
|---|---|---|
![]() 7: Célula de Sertoli en el Epitelio germinal de un testículo. 1: lámina basal 2: Espermatogonia 3: Espermatocito de primer orden 4: Espermatocito de segundo orden 5: Espermátida 6: Espermátida madura 8: Unión estrecha (barrera hematotesticular) | ||
| Gray | pág.1243 | |
|
| ||
Historia
Las células de Sertoli fueron descritas por primera vez por Enrico Sertoli en 1865, al publicar su trabajo: Dell’esistenza di particolari cellule ramificate nei canalicoli seminiferi del testicolo umano, donde las describió como células ramificadas de sostén.
«Estas células son irregularmente cilíndricas o cónicas con bordes delicados y con núcleos que invariablemente contienen un nucléolo. El citoplasma es transparente, homogéneo y siempre contiene finas gotas de grasa. Estas células están casi siempre provistas de procesos finos muy transparentes en los que también se encuentran gotitas de grasa (….). En algunas de estas células se ve una bifurcación u otros procesos secundarios. Otras células de este tipo envían más procesos que se ramifican ya veces envuelven a otras células» —Enrico Sertoli, 1865.[2] |
Sertoli estableció que estas células cumplían una funzione di sostegno función de sostén y contribuían al metabolismo de las células seminales.
Luego esta célula fue conocida con nombres accesorios como «célula sustentacular» o célula nodriza para el desarrollo de las células germinales.[3][4][5][6][7]
Localización
Las células sustentaculares de Sertoli (SC) forman el epitelio de los túbulos seminíferos, envolviendo a las células germinales y dando lugar a dos compartimentos intratubulares.
El compartimento basal se define como el área entre la unión estrecha de las células de Sertoli y la lámina basal, determinando así la barrera hematotesticular.
Estructura
Las células de Sertoli (SC), son las células somáticas del interior del epitelio del túbulo seminífero. Son células grandes, con forma de columna irregular, ancladas en lo profundo de los túbulos, que despliegan procesos y prolongaciones en torno de las células germinales.[8][9]
«Ho inoltre osservato che questi prolungamenti discostandosi dalla cellula formano delle curve, le quali corrispondendo ad altre formate o ad altri prolungamenti o da incurvamento all’interno di un lato della cellula, costituiscono come delle nicchie semicircolari nelle quali vengono ricettate le cellule seminifere…» He observado además que estas prolongaciones apartándose de la célula forman una curva, la cual se corresponde al otro formato o a la otra prolongación o se incurvan al interior de un lado de la célula, constituyendo como un nicho semicircular el cual viene a recibir la célula seminífera (…). —Enrico Sertoli, 1865.[10] |
Microaquitectura
Con el microscopio óptico las SC se ven como células grandes, de varias decenas de micras, apoyadas en la basal y alcanzando la luz, en estrecho contacto con las células germinales.
Con la tinción habitual de H&E, el citoplasma de las SC se ve rosado (es acidófilo), abundante y granuloso, con pliegues y prolongaciones.
La célula de Sertoli presenta diferente forma, de acuerdo al grado de desarrollo que presente el epitelio seminífero y va cambiando su apariencia durante la maduración del testículo.
El núcleo es grande situado cerca de la membrana basal, con cromatina dispersa y nucléolo central; con la tinción habitual de H&E se ve en azul/violeta (es basófilo).
Mediante la citoquímica y la inmunohistoquímica se puede hacer visible un antígeno específico dentro de la SC y determinar así su localización intracelular ya sea nuclear o citoplasmática.[11]
Ultraestructura

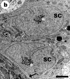
Con el microscopio electrónico, la célula de Sertoli (SC) muestra un núcleo celular con indentaciones y escotaduras en su membrana. La cromatina tiene gránulos dispersos y un nucléolo grande y central.
El citoplasma de la SC es abundante y con morfología cambiante, lo que hace difícil establecer las dimensiones mediante morfometría. En el ratón se ha estimado una longitud vertical (eje centrípeto) de 70-90 micrómetros (μm).[12]
Contiene numerosos orgánulos por lo que su aspecto es más oscuro (electrodenso). Es abundante en mitocondrias, lo cual indica el alto grado de actividad metabólica que posee la célula.
El citoplasma de la SC presenta prolongaciones y pliegues que rodean a las espermatogonias y sostienen a los espermatocitos. Los procesos laterales pueden ser de tres tipos: los cónicos que se extienden desde la superficie lateral cerca de su base; los de forma de copa y los procesos aplanados en forma de lámina, que se extienden entre las células germinales redondas.
Son notorios los complejos de unión intercelular (uniones estrechas), en el sector basal entre los procesos cónicos de las SC, que determinan la #Barrera hematotesticular con función de filtro.[13][11]
Función
Las células de Sertoli (SC) son asistentes activas en la transformación de las células germinales en espermatozoides, a través del contacto directo y del control del medio ambiente dentro de los túbulos.[14][15] Estas células descritas originariamente como de sostén, en realidad producen determinadas proteínas, factores de crecimiento, esteroides, citocinas y líquido tubular en diferentes etapas del desarrollo, por lo que son fundamentales en el desarrollo testicular y en la espermatogénesis.[16]
Las SC se encargan de regular tanto el desarrollo como la función temprana de las célula de Leydig, siendo estas últimas las que segregan testosterona.
Las funciones conocidas de las SC incluyen:
- el sustento físico del proceso de diferenciación celular,
- la formación de la barrera hematotesticular,
- el mantenimiento del microambiente tubular para la correcta proliferación y diferenciación de las espermatogonias primitivas y para la producción de espermatozoides,
- la fagocitosis de los restos celulares producidos durante la diferenciación de las células germinales (espermatogénesis).
Función secretora

Las células de Sertoli al formar la barrera hemato-testicular (BTB), impiden la difusión de nutrientes desde la sangre y determinan la dependencia de las células germinales para obtener nutrientes.
El lactato es la fuente de energía para las células germinales, además reciben nutrientes como aminoácidos, vitaminas e iones metálicos.[17]
Las células sustentaculares de Sertoli secretan, entre otras, las siguientes substancias:
- Hormona antimülleriana (HAM) - secretada durante las primeras etapas de la vida fetal.
- Inhibina y activina - secretadas después de la pubertad, cumplen una función conjunta que regula la secreción de FSH.
- Proteína ligadora de andrógenos (ABP) - incrementa la concentración de testosterona en los túbulos seminíferos para estimular la espermatogénesis. Ya que la ABP se une a la testosterona para aumentar su concentración.
- Estradiol - la aromatasa de las células de Sertoli convierten la testosterona a 17-β-estradiol para la espermatogénesis directa.
- Factor neurotrófico derivado de células gliales (GDNF) -se ha demostrado que funciona como un promotor de espermatogonias indiferenciadas, el cual asegura la autorenovación de células madre durante el periodo prenatal.
- El factor transcriptor de ERM (complejos ezrina, radixina y moesina) asociadas a la actina F, es requerido para el mantenimiento de las células madre espermatogoniales en el testículo del adulto.
- Transferrina - es una proteína plasmática que libera iones de hierro.[18]
Barrera hematotesticular
La barrera hematotesticular está formada por uniones ocluyentes (herméticas) de células de Sertoli que aíslan de forma inmunológica los compartimentos en los que tiene lugar la espermatogénesis. Esta barrera es dinámica, permite la migración de espermatocitos de la zona basal a la adluminal, e infranqueable por células pertenecientes al sistema inmunitario como son los linfocitos.
Los complejos de unión que forman parte de esta barrera aparecen en la pubertad, cuando las células de Sertoli han dejado de dividirse y ha comenzado la actividad meiótica, lo que incluye la aparición de los antígenos específicos de células meióticas y haploides que el sistema inmune puede reconocer, por lo que es necesario su aislamiento. Una rotura en la barrera hematotesticular puede provocar que el sistema inmunitario reconozca los espermatozoides como agentes extraños (debido a su condición de células haploídes) y cree anticuerpos contra ellos. La aparición de estos anticuerpos anti espermatozoides es una de las causas de esterilidad masculina.
El túbulo queda dividido en dos compartimentos: uno basal con las espermatogonias (y espermatocitos pre-leptotenos de la meiosis) y otro adluminal con las células germinales postmeióticas.
La barrera es dinámica, por lo que las células germinales pueden migrar. Además éstas van a depender únicamente de las células de Sertoli para su nutrición, debido al aislamiento.
El proceso de diferenciación de una espermatogonia en un espermatozoide tarda aproximadamente 64±7 días. Durante este tiempo las células de Sertoli vierten nutrientes y metabolitos al lumen de los que dependen las células germinales, ya que no tienen contacto ninguno con vasos sanguíneos e intersticio debido a su aislamiento por la barrera hematotesticular.
Envejecimiento
Desde la madurez existe una continua disminución del número absoluto de células de Sertoli.
En los humanos seniles se encuentra una disminución generalizada de células somáticas, con la consiguiente disminución radical en el número de células de Sertoli. Asociado a lo anterior, se encuentra un porcentaje reducido de espermátidas redondas y alargadas y de espermatozoides.[19]
Patología
Las células de Sertoli (SC) mueren con las alteraciones de las hormonas que les resultan esenciales, como con la deficiencia de FSH.
Las SC también se ven afectadas por la administración de toxinas o fármacos (como cimetidina), que conducen a la muerte celular mediante apoptosis.[20]
El síndrome de 'solo células de Sertoli' (SCO en inglés) es una forma grave de infertilidad humana. Está caracterizado por déficits en la expresión génica de las células de Sertoli, que expresan niveles anormalmente bajos de GDNF, FGF8 y BMP4, lo que parece desactivar la mayoría de los nichos de células madre, con la consiguiente falta de células espermatogénicas.[21]
Los tumores testiculares puros de células de Sertoli, son muy infrecuentes y representan cerca del 1% de los tumores testiculares. Considerados habitualmente benignos, son una entidad heterogénea. [22]
Referencias
- OMS,OPS,BIREME (ed.). «Células de Sertoli». Descriptores en Ciencias de la Salud, Biblioteca Virtual en Salud.
- Patriarca C.; Colecchia M.; Clerici C.A. (2019). «Enrico Sertoli and the supporting cells of the testis “Morphology is function”». Pathologica 111 (4): 375-381. Consultado el 8 de marzo de 2022.
- «Dell’esistenza di particolari cellule ramificate nei canalicoli seminiferi del testicolo umano». Morgagni 7: 31-40. 1865.
- «Sertoli, Enrique». Treccani, Enciclopedia.
- Carla Garbarino (2018). Dizionario Biografico degli Italiani 92.
- Anawalt B.D.; Braunstein G.D. 12: Testículos. En Gardner D.G.; Shoback D., eds. «Greenspan. Endocrinología básica y clínica». AccessMedicina (10a. edición).
- Pardo L. El testículo: estructura, función y patología asociada más frecuente (PDF) (Tesis). Universidad de Cantabria. pp. 8-10.
- «Célula de Sertoli». Universidad de Chile.
- Capoano Bevilacqua C.A. (2018). Estudio funcional del gen Spats1 y su rol en la espermatogénesis de los mamíferos. (PDF) (Tesis). Universidad de la República, Programa de Desarrollo de las Ciencias Básicas (PEDECIBA), Área biología -Subárea Biología Celular y Molecular. p. 6.
- Patriarca C.; Colecchia M.; Clerici C.A. (2019). «Enrico Sertoli and the supporting cells of the testis “Morphology is function”». Pathologica 111 (4): 375-381. Consultado el 8 de marzo de 2022.
- Souza Sadetzki E. (2018). Evaluación de un nuevo fluorocromo para la purificación en flujo de diversos estadios espermatogénicos y células somáticas, de testículo de ratón. (PDF) (Tesis). PEDECIBA. Area Biología. Subárea Biología Celular y Molecular.
- Wong V.; Russell L.D. (1983). «Three-dimensional reconstruction of a rat stage V Sertoli cell: I. Methods, basic configuration, and dimensiones». Am J Anat (en inglés) 167 (2): 143-161. PMID 6351582. doi:10.1002/aja.1001670202. Consultado el 8 de marzo de 2022.

- Hess R.A.; França L.R. (2005). «cap. 3: Structure of the Sertoli Cell». En Michael Skinner; Michael Griswold, eds. Sertoli Cell Biology (en inglés). p. 19.
- Griswold M.D. (1998). «The central role of Sertoli cells in Spermatogenesis». Semin Cell Dev Biol (REVISIÓN) 9 (4): 411-416. doi:10.1006/scdb.1998.0203. Consultado el 15 de agosto de 2023.
- Galardo, María (26 de mayo de 2020). «La célula de Sertoli, un actor importante en el escenario de la fertilidad masculina». CIDIE. Consultado el 27 de noviembre de 2022.
- Eyni H.; Ghorbani S.; Nazari H.; Hajialyani M.; Razavi Bazaz S.; Mohaqiq M.; Ebrahimi Warkiani M.; Sutherland D.S. (2021). «Advanced bioengineering of male germ stem cells to preserve Fertility». J Tissue Ing. 12: 20417314211060590. Consultado el 6 de marzo de 2022.
- Shah W.; Khan R.; Shah B.; Khan A.; Dil S.; Liu W.; Wen J.; Jiang X. (2021). «The Molecular Mechanism of Sex Hormones on Sertoli Cell Development and Proliferation». Frontiers in Endocrinology (REVISIÓN) (Frontiers (editorial)). Consultado el 23 de marzo de 2022.

- Xiong X, Wang A, Liu G, Liu H, Wang C, Xia T, Chen X, Yang K (2006). «Effects of p,p'-dichlorodiphenyldichloroethylene on the expressions of transferrin and androgen-binding protein in rat Sertoli cells». Environ Res 101 (3): 334-9. PMID 16380112. doi:10.1016/j.envres.2005.11.003.
- Rodríguez H.; Salazar P.; Schmidt N.; Torres P.; Ossandón E. «Histología testicular humana comparada, adulto joven y senil». Rev. chil. anat. (Temuco) 17 (2). Consultado el 2 de marzo de 2022.

- Seco-Rovira V.; Beltrán-Frutos E.; Ferrer C.; Sáez F.J.; Madrid J.F.; Pastor L.M. (2014). «The Death of Sertoli Cells and the Capacity to Phagocytize Elongated Spermatids During Testicular Regression due to Short Photoperiod in Syrian Hamster (Mesocricetus auratus).». Biology of Reproduction (Oxford academic) 90 (5): 1-10. Consultado el 23 de marzo de 2022.

- Paduch DA.; Hilz S.; Grimson A.; Schlegel PN.; Jedlicka AE.; Wright WW. (2019). «Aberrant gene expression by Sertoli cells in infertile men with Sertoli cell-only syndrome.». PLoS ONE 14 (5): e0216586. doi:10.1371/journal.pone.0216586. Consultado el 24 de marzo de 2022.

- C.J. Yánez Beníteza,; C. Valero Valdivieso,; J.I. Sanz Vélez; M. Marigil Gómez (2010). «Tumor de células de Sertoli esclerosante. Un subtipo infrecuente de neoplasia testicular». Actas Urol Esp 34 (8). Consultado el 2 de marzo de 2022.

