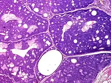
Sebaceoma
Sebaceous epithelioma
SpecialtyDermatology

Sebaceoma (also known as a "sebaceous epithelioma") is a cutaneous condition that appears as a yellow or orange papule.[1]:662

See also

References

  1. James, William D.; Berger, Timothy G.; et al. (2006). Andrews' Diseases of the Skin: Clinical Dermatology. Saunders Elsevier. ISBN 0-7216-2921-0.


This article is issued from Wikipedia. The text is licensed under Creative Commons - Attribution - Sharealike. Additional terms may apply for the media files.