| Pilar sheath acanthoma | |
|---|---|
![]() | |
| Pilar sheath acanthoma | |
| Specialty | Oncology |
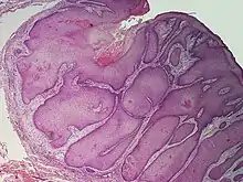
A pilar sheath acanthoma is a cutaneous condition most often found on the face, particularly above the upper lip in adults.[1]:โ675โ
See also
References
This article is issued from Wikipedia. The text is licensed under Creative Commons - Attribution - Sharealike. Additional terms may apply for the media files.
