Trabectedin

Trabectedin
Names
Trade namesYondelis
Other namesecteinascidin 743, ET-743
IUPAC name
  • (1'R,6R,6aR,7R,13S,14S,16R)-6',8,14-trihydroxy-7',9-dimethoxy-4,10,23-trimethyl-19-oxo-3',4',6,7,12,13,14,16-octahydrospiro[6,16-(epithiopropano-oxymethano)-7,13-imino-6aH-1,3-dioxolo[7,8]isoquino[3,2-b][3]benzazocine-20,1'(2'H)-isoquinolin]-5-yl acetate
Clinical data
Drug classAlkylating agent[1]
Main usesSoft-tissue sarcoma, ovarian cancer[2]
Side effectsLow neutrophils, nausea, liver problems, low red blood cells, tiredness, low platelets, diarrhea[2]
WHO AWaReUnlinkedWikibase error: ⧼unlinkedwikibase-error-statements-entity-not-set⧽
Pregnancy
category
  • US: N (Not classified yet)
    Routes of
    use
    Intravenous
    External links
    AHFS/Drugs.comMonograph
    MedlinePlusa615059
    Legal
    License data
    Legal status
    • UK: POM (Prescription only) [3]
    • US: ℞-only [4]
    • EU: Rx-only [5]
    • In general: ℞ (Prescription only)
    Pharmacokinetics
    BioavailabilityNot applicable (IV only)
    Protein binding94 to 98%
    MetabolismLiver (mostly CYP3A4-mediated)
    Elimination half-life180 hours (mean)
    ExcretionMostly fecal
    Chemical and physical data
    FormulaC39H43N3O11S
    Molar mass761.84 g·mol−1
    3D model (JSmol)
    SMILES
    • Cc1cc2c(c(c1OC)O)[C@@H]3[C@@H]4[C@H]5c6c(c7c(c(c6OC(=O)C)C)OCO7)[C@@H](N4[C@H]([C@H](C2)N3C)O)COC(=O)[C@@]8(CS5)c9cc(c(cc9CCN8)O)OC
    InChI
    • InChI=1S/C39H43N3O11S/c1-16-9-20-10-22-37(46)42-23-13-50-38(47)39(21-12-25(48-5)24(44)11-19(21)7-8-40-39)14-54-36(30(42)29(41(22)4)26(20)31(45)32(16)49-6)28-27(23)35-34(51-15-52-35)17(2)33(28)53-18(3)43/h9,11-12,22-23,29-30,36-37,40,44-46H,7-8,10,13-15H2,1-6H3/t22-,23-,29+,30+,36+,37-,39+/m0/s1 ☒N
    • Key:PKVRCIRHQMSYJX-AIFWHQITSA-N ☒N

    Trabectedin, sold under the brand name Yondelis, is a medication used to treat advanced soft-tissue sarcoma and ovarian cancer.[2] It is used when other treatments are no longer effective.[2] It is given by gradual injection into a vein.[2] Dexamethasone is used to decrease the risk of side effects.[1]

    Common side effects include low neutrophils, nausea, liver problems, low red blood cells, tiredness, low platelets, and diarrhea.[2] Other side effects may include muscle breakdown, heart failure, and decreased fertility.[1] Use during pregnancy may harm the baby.[1] Death occurs due to the medication in 1 to 2% of people.[2] It is an alkylating agent.[1]

    Trabectedin was approved for medical use in Europe in 2007 and the United States in 2015.[2][1] It was initially designated an orphan medicine in Europe in 2001.[2] In the United Kingdom 1 mg costs the NHS about £1,400 as of 2021.[6] In the United States this amount costs about 3,250 USD.[7] It was originally derived from a sea squirt.[2]

    Medical uses

    Soft tissue sarcoma

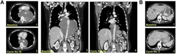
    a) Recurrent metastatic myxoid liposarcoma, axial 1,2 and coronal 3,4 cuts show a partial response after 16 cycles of trabectedin b) recurrent poorly differentiated leiomyosarcoma, paired axial 1,2 cuts show a partial response with 2 cycles of trabectedin

    In 2007, the European Commission gave authorization for the marketing of trabectedin, "for the treatment of patients with advanced soft tissue sarcoma, after failure of anthracyclines and ifosfamide, or who are unsuited to receive these agents".[8][5] The European Medicine Agency's evaluating committee, the Committee for Medicinal Products for Human Use (CHMP), observed that trabectedin had not been evaluated in an adequately designed and analyzed randomized controlled trial against current best care, and that the clinical efficacy data were mainly based on patients with liposarcoma and leiomyosarcoma. However, the pivotal study did show a significant difference between two different trabectedin treatment regimens, and due to the rarity of the disease, the CHMP considered that marketing authorization could be granted under exceptional circumstances.[9] As part of the approval PharmaMar agreed to conduct a further trial to identify whether any specific chromosomal translocations could be used to predict responsiveness to trabectedin.[10]

    Trabectedin is also approved in South Korea[11] and Russia.

    In 2015, (after a phase III study comparing trabectedin with dacarbazine[12]), the US FDA approved trabectedin (Yondelis) for the treatment of liposarcoma and leiomyosarcoma that is either unresectable or has metastasized. Patients must have received prior chemotherapy with an anthracycline.[13]

    Ovarian cancer

    In 2008, the submission was announced of a registration dossier to the European Medicines Agency and the FDA for Yondelis when administered in combination with pegylated liposomal doxorubicin for the treatment of women with relapsed ovarian cancer. In 2011, Johnson & Johnson voluntarily withdrew the submission in the United States following a request by the FDA for an additional phase III study to be done in support of the submission.[14]

    Dosage

    It is given at a dose of 1.1 to 1.5 mg/m2.[2]

    Mechanism of action

    Mechanisms of action and biological effects of trabectedin on cancer cells[15]

    Recently, it has been shown that trabectedin blocks DNA binding of the oncogenic transcription factor FUS-CHOP and reverses the transcriptional program in myxoid liposarcoma. By reversing the genetic program created by this transcription factor, trabectedin promotes differentiation and reverses the oncogenic phenotype in these cells.[16]

    Other than transcriptional interference, the mechanism of action of trabectedin is complex and not completely understood. The compound is known to bind and alkylate DNA at the N2 position of guanine. It is known from in vitro work that this binding occurs in the minor groove, spans approximately three to five bpbase pairs and is most efficient with CGG sequences. Additional favorable binding sequences are TGG, AGC, or GGC. Once bound, this reversible covalent adduct bends DNA toward the major groove, interferes directly with activated transcription, poisons the transcription-coupled nucleotide excision repair complex, promotes degradation of RNA polymerase II, and generates DNA double-strand breaks.[16]

    Chemistry

    Trabectedin is composed of three tetrahydroisoquinoline moieties, eight rings including one 10-membered heterocyclic ring containing a cysteine residue, and seven chiral centers.

    Biosynthesis

    Proposed scheme for the biosynthesis of trabecteden

    The biosynthesis of trabectedin in Candidatus Endoecteinascidia frumentensis starts with a fatty acid loading onto the acyl-ligase domain of the EtuA3 module. A cysteine and glycine are then loaded as canonical NRPS amino acids. A tyrosine residue is modified by the enzymes EtuH, EtuM1, and EtuM2 to add a hydroxyl at the meta position of the phenol, and adding two methyl groups at the para-hydroxyl and the meta carbon position. This modified tyrosine reacts with the original substrate via a Pictet-Spengler reaction, where the amine group is converted to an imine by deprotonation, then attacks the free aldehyde to form a carbocation that is quenched by electrons from the methyl-phenol ring. This is done in the EtuA2 T-domain. This reaction is done a second time to yeid a dimer of modified tyrosine residues that have been further cyclized via Pictet-Spengler reaction, yielding a bicyclic ring moiety. The EtuO and EtuF3 enzymes continue to post-translationally modify the molecule, adding several functional groups and making a sulfide bridge between the original cysteine residue and the beta-carbon of the first tyrosine to form ET-583, ET-597, ET-596, and ET-594 which have been previously isolated.[17] A third O-methylated tyrosine is added and cyclized via Pictet-Spangler to yield the final product.[17]

    Total synthesis

    The total synthesis by E.J. Corey [18] used this proposed biosynthesis to guide their synthetic strategy. The synthesis uses such reactions as the Mannich reaction, Pictet-Spengler reaction, the Curtius rearrangement, and chiral rhodium-based diphosphine-catalyzed enantioselective hydrogenation. A separate synthetic process also involved the Ugi reaction to assist in the formation of the pentacyclic core. This reaction was unprecedented for using such a one pot multicomponent reaction in the synthesis of such a complex molecule.

    History

    During the 1950s and 1960s, the National Cancer Institute carried out a wide-ranging program of screening plant and marine organism material. As part of that program, extract from the sea squirt Ecteinascidia turbinata was found to have anticancer activity in 1969.[19] Separation and characterization of the active molecules had to wait many years for the development of sufficiently sensitive techniques, and the structure of one of them, Ecteinascidin 743, was determined by KL Rinehart at the University of Illinois in 1984.[20] Rinehart had collected his sea squirts by scuba diving in the reefs of the West Indies.[21] Recently, the biosynthetic pathway responsible for producing the drug has been determined to come from Candidatus Endoecteinascidia frumentensis, a microbial symbiont of the tunicate.[17] The Spanish company PharmaMar licensed the compound from the University of Illinois before 1994 and attempted to farm the sea squirt with limited success.[21] Yields from the sea squirt are extremely low - 1 tonne of animals is needed to isolate 1 gram of trabectedin - and about 5 grams were believed to be needed for a clinical trial[22] so Rinehart asked the Harvard chemist E. J. Corey to search for a synthetic method of preparation. His group developed such a method and published it in 1996.[18] This was later followed by a simpler and more tractable method which was patented by Harvard and subsequently licensed to PharmaMar.[21] The current supply is based on a semisynthetic process developed by PharmaMar starting from safracin B, an antibiotic obtained by fermentation of the bacterium Pseudomonas fluorescens.[23] PharmaMar entered into an agreement with Johnson & Johnson to market the compound outside Europe.

    Trabectedin was first trialed in humans in 1996.

    Society and culture

    In September 2020, the European Medicines Agency recommended that the use of trabectedin in treating ovarian cancer remain unchanged.[24]

    References

    1. 1 2 3 4 5 6 "Trabectedin Monograph for Professionals". Drugs.com. Archived from the original on 25 February 2024. Retrieved 8 October 2021.
    2. 1 2 3 4 5 6 7 8 9 10 11 "Yondelis". Archived from the original on 22 October 2020. Retrieved 8 October 2021. {{cite web}}: More than one of |archivedate= and |archive-date= specified (help); More than one of |archiveurl= and |archive-url= specified (help)
    3. "Yondelis 1 mg powder for concentrate for solution for infusion - Summary of Product Characteristics (SmPC)". (emc). 21 September 2020. Archived from the original on 29 August 2021. Retrieved 30 September 2020. {{cite web}}: More than one of |archivedate= and |archive-date= specified (help); More than one of |archiveurl= and |archive-url= specified (help)
    4. "Yondelis- trabectedin injection, powder, lyophilized, for solution". DailyMed. 22 September 2020. Archived from the original on 25 October 2020. Retrieved 30 September 2020. {{cite web}}: More than one of |archivedate= and |archive-date= specified (help); More than one of |archiveurl= and |archive-url= specified (help)
    5. 1 2 "Yondelis EPAR". European Medicines Agency (EMA). Archived from the original on 22 October 2020. Retrieved 30 September 2020. {{cite web}}: More than one of |archivedate= and |archive-date= specified (help); More than one of |archiveurl= and |archive-url= specified (help)
    6. BNF (80 ed.). BMJ Group and the Pharmaceutical Press. September 2020 – March 2021. p. 972. ISBN 978-0-85711-369-6.{{cite book}}: CS1 maint: date format (link)
    7. "Yondelis Prices, Coupons & Patient Assistance Programs". Drugs.com. Archived from the original on 26 January 2021. Retrieved 8 October 2021. {{cite web}}: More than one of |archivedate= and |archive-date= specified (help); More than one of |archiveurl= and |archive-url= specified (help)
    8. "Post-Authorization Summary of Positive Opinion" (PDF). European Medicines Agency. Archived (PDF) from the original on 12 November 2019. Retrieved 12 November 2019. {{cite web}}: More than one of |archivedate= and |archive-date= specified (help); More than one of |archiveurl= and |archive-url= specified (help)
    9. "CHMP evaluation" (PDF).{{cite web}}: CS1 maint: url-status (link)
    10. "PharmaMar website". Archived from the original on September 18, 2008. Retrieved July 10, 2021. {{cite web}}: More than one of |archivedate= and |archive-date= specified (help); More than one of |archiveurl= and |archive-url= specified (help)
    11. "S.Korea approves Zeltia cancer drug Yondelis". Reuters. 8 May 2008. Archived from the original on 12 March 2016. Retrieved 30 September 2020. {{cite news}}: More than one of |archivedate= and |archive-date= specified (help); More than one of |archiveurl= and |archive-url= specified (help)
    12. "Trabectedin Superior to Dacarbazine for Leiomyosarcoma, Liposarcoma". Archived from the original on 2018-06-23. Retrieved 2021-07-10. {{cite web}}: More than one of |archivedate= and |archive-date= specified (help); More than one of |archiveurl= and |archive-url= specified (help)
    13. "FDA Approves Trabectedin (Yondelis) for Advanced Soft-Tissue Sarcoma". Archived from the original on 2018-06-23. Retrieved 2021-07-10. {{cite web}}: More than one of |archivedate= and |archive-date= specified (help); More than one of |archiveurl= and |archive-url= specified (help)
    14. Grogan, Kevin (3 May 2011). "J&J pulls submission for Zeltia's Yondelis". PharmaTimes Magazine. London, England. Online PharmaTimes. Archived from the original on 7 May 2011. Retrieved 7 May 2011. {{cite news}}: More than one of |archivedate= and |archive-date= specified (help); More than one of |archiveurl= and |archive-url= specified (help)
    15. López-Guerrero, José Antonio; Romero, Ignacio; Poveda, Andrés (January 2015). "Trabectedin therapy as an emerging treatment strategy for recurrent platinum-sensitive ovarian cancer". Chinese Journal of Cancer. 34 (1): 41–49. doi:10.5732/cjc.014.10278. ISSN 1000-467X. Retrieved 3 December 2023.
    16. 1 2 Grohar; et al. (2011). "Ecteinascidin 743 Interferes with the Activity of EWS-FLI1 in Ewing Sarcoma Cells". Neoplasia. 13 (2): 145–153. doi:10.1593/neo.101202. PMC 3033593. PMID 21403840. and works cited therein.
    17. 1 2 3 Rath CM, et al. (November 2011). "Meta-omic characterization of the marine invertebrate microbial consortium that produces the chemotherapeutic natural product ET-743". ACS Chemical Biology. 6 (11): 1244–56. doi:10.1021/cb200244t. PMC 3220770. PMID 21875091.
    18. 1 2 E. J. Corey; David Y. Gin & Robert S. Kania (1996). "Enantioselective Total Synthesis of Ecteinascidin 743". J. Am. Chem. Soc. 118 (38): 9202–9203. doi:10.1021/ja962480t.
    19. Lichter; et al. Worthen LW (ed.). "Food-drugs from the sea. Proc: Aug 20–23, 1972". 173. Marine Tech Soc: 117–127. {{cite journal}}: Cite journal requires |journal= (help)
    20. Rinehart KL (January 2000). "Antitumor compounds from tunicates". Med Res Rev. 20 (1): 1–27. doi:10.1002/(SICI)1098-1128(200001)20:1<1::AID-MED1>3.0.CO;2-A. PMID 10608919.
    21. 1 2 3 "Potent cancer drugs made -- Sea squirts provide recipe". Archived from the original on 2016-04-18. Retrieved 2021-07-10. {{cite web}}: More than one of |archivedate= and |archive-date= specified (help); More than one of |archiveurl= and |archive-url= specified (help)
    22. "New Scientist". Archived from the original on 2015-06-10. Retrieved 2021-07-10. {{cite web}}: More than one of |archivedate= and |archive-date= specified (help); More than one of |archiveurl= and |archive-url= specified (help)
    23. C. Cuevas; et al. (2000). "Synthesis of ecteinascidin ET-743 and phthalascidin PT-650 from cyanosafracin B". Org. Lett. 2 (16): 2545–2548. doi:10.1021/ol0062502. PMID 10956543.
    24. "Yondelis". European Medicines Agency (EMA). Archived from the original on 28 July 2020. Retrieved 30 September 2020. {{cite web}}: More than one of |archivedate= and |archive-date= specified (help); More than one of |archiveurl= and |archive-url= specified (help)
    Identifiers:
    This article is issued from Wmcloud. The text is licensed under Creative Commons - Attribution - Sharealike. Additional terms may apply for the media files.