Steatocystoma simplex

Steatocystoma simplex
Other names: Simple sebaceous duct cyst, solitary steatocystoma
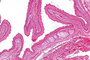
Micrograph of a steatocystoma showing the characteristic corrugated eosinophilic lining. H&E stain
SpecialtyDermatology

Steatocystoma simplex is a skin condition characterized by a skin lesion that occurs with equal frequency in adult women and men, and is typically found on the face, trunk, or extremities.[1]:679 It is related to Steatocystoma multiplex.[2]

Left) Steatocystoma Simplex of eyebrow ,Right) surgical specimen showing squamous epithelium lining the cyst wall
Relative incidence of cutaneous cysts. Steatocystoma is labeled at right.

References

  1. James, William D.; Berger, Timothy G.; et al. (2006). Andrews' Diseases of the Skin: Clinical Dermatology. Saunders Elsevier. ISBN 0-7216-2921-0.
  2. Davey, Mathew. "Steatocystoma Multiplex". Archived from the original on 12 April 2019. Retrieved 25 May 2011.

Template:Epidermal-growth-stub

This article is issued from Wmcloud. The text is licensed under Creative Commons - Attribution - Sharealike. Additional terms may apply for the media files.