Pulmonary hyalinizing granuloma
| Pulmonary hyalinizing granuloma | |
|---|---|
![]() | |
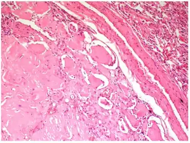
| Lesion with regular margins containing very hypocellular, keloid-type coarse collagen | |
| Frequency | Lua error in Module:PrevalenceData at line 5: attempt to index field 'wikibase' (a nil value). |
Pulmonary hyalinizing granuloma is a lesional pattern of pulmonary inflammatory pseudotumor.[1][2]
Pulmonary hyalinizing granuloma is characterized by localized changes in lung architecture determined by deposition of hyaline collagenous fibrosis accompanied by sparse lymphocytic infiltrate that compresses and distorts the remaining bronchioles. A higher magnification, the mass is composed by hypocellular collagen lamellae.[3]
Pulmonary hyalinizing granuloma is known to be associated with HIV/AIDS[4], Posterior uveitis[5] and Castleman's disease[6]
References
- ↑ Brandão, V; Marchiori, E; Zanetti, G; Abdalla, G; Ventura, N; Constantino, C. L.; Pereira, M. L.; Martins, P; Canellas, R; Muccillo, A; Varella De Oliveira, R (2010). "Hyalinizing granuloma: An unusual case of a pulmonary mass". Case Reports in Medicine. 2010: 984765. doi:10.1155/2010/984765. PMC 2892707. PMID 20592998.
- ↑ Arruda, G. D.; Carvalho, P. C.; Andrade, M. P.; Cusmanich, M. C.; Bandeira, G; Tozaki, F. S. (2010). "Recurrent pulmonary hyalinizing granuloma". Jornal Brasileiro de Pneumologia. 36 (5): 662–5. doi:10.1590/s1806-37132010000500019. PMID 21085833.
- ↑ Brandão, V; Marchiori, E; Zanetti, G; Abdalla, G; Ventura, N; Constantino, C. L.; Pereira, M. L.; Martins, P; Canellas, R; Muccillo, A; Varella De Oliveira, R (2010). "Hyalinizing granuloma: An unusual case of a pulmonary mass". Case Reports in Medicine. 2010: 984765. doi:10.1155/2010/984765. PMC 2892707. PMID 20592998.
- ↑ Liu, T; Kyrollos, M; Kravcik, S (2007). "Pulmonary hyalinizing granuloma in HIV/AIDS". The Canadian Journal of Infectious Diseases & Medical Microbiology. 18 (5): 305–7. doi:10.1155/2007/208140. PMC 2533561. PMID 18923729.
- ↑ Esme, H; Ermis, S. S.; Fidan, F; Unlu, M; Dilek, F. H. (2004). "A case of pulmonary hyalinizing granuloma associated with posterior uveitis". The Tohoku Journal of Experimental Medicine. 204 (1): 93–7. doi:10.1620/tjem.204.93. PMID 15329468.
- ↑ Atagi, S; Sakatani, M; Akira, M; Yamamoto, S; Ueda, E (1994). "Pulmonary hyalinizing granuloma with Castleman's disease". Internal Medicine. 33 (11): 689–91. doi:10.2169/internalmedicine.33.689. PMID 7849383.
This article is issued from Wmcloud. The text is licensed under Creative Commons - Attribution - Sharealike. Additional terms may apply for the media files.
