Powassan encephalitis
| Powassan encephalitis | |
|---|---|
![]() | |
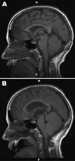
| a,b) Noncontrast, sagittal T1-weighted magnetic resonance image of brain with suspected Powassan virus encephalitis | |
Powassan encephalitis, caused by the Powassan virus (POWV), a flavivirus also known as the deer tick virus, is a form of arbovirus infection that results from tick bites. It can occur as a co-infection with Lyme disease since both are transmitted to humans by the same species of tick.[1] There has been a surge in the number of cases and geographic range in the last decade. In the United States, cases have been recorded in the northeast.[2] The disease was first isolated from the brain of a boy who died of encephalitis in Powassan, Ontario, in 1958.[3] The disease is a zoonosis, an animal disease, usually found in rodents and ticks, with spillover transmission to humans. The virus is antigenically related to the Far Eastern tick-borne encephalitis viruses.[4]
Signs and symptoms
Symptoms manifest within 7–10 days and include fever, headache, partial paralysis, confusion, nausea and even coma.
Diagnosis
The diagnosis of Powassan encephalitis is based on the following:[5]
- Clinical presentation
- Immunoassay
- PCR analysis
Treatment
There is currently no established treatment.[6]
Prognosis
Half of all cases results in permanent neurological damage and 10-15% result in death.
References
- ↑ Caulfield, AJ; Pritt, BS (December 2015). "Lyme Disease Coinfections in the United States". Clinics in Laboratory Medicine. 35 (4): 827–46. doi:10.1016/j.cll.2015.07.006. PMID 26593260.
- ↑ "Cumulative human disease cases reported to CDC ArboNET for 2015". United States Geological Survey. Archived from the original on 2016-12-15. Retrieved 2015-11-27.
- ↑ McLEAN, DM; DONOHUE, WL (1 May 1959). "Powassan virus: isolation of virus from a fatal case of encephalitis". Canadian Medical Association Journal. 80 (9): 708–11. PMC 1830849. PMID 13652010.
- ↑ CASALS, J (13 February 1960). "Antigenic relationship between Powassan and Russian spring-summer encephalitis viruses". Canadian Medical Association Journal. 82: 355–8. PMC 1937779. PMID 13808112.
- ↑ Kapoor, Andrew K.; Zash, Rebecca (2022). "Powassan Virus". StatPearls. StatPearls Publishing. Archived from the original on 27 January 2022. Retrieved 30 October 2022.
- ↑ Hinten SR, Beckett GA, Gensheimer KF, et al. (December 2008). "Increased recognition of Powassan encephalitis in the United States, 1999-2005". Vector Borne Zoonotic Dis. 8 (6): 733–40. doi:10.1089/vbz.2008.0022. PMID 18959500.
External links
| Classification |
|---|
