Osseointegration

Osseointegration (from Latin osseus "bony" and integrare "to make whole") is the direct structural and functional connection between living bone and the surface of a load-bearing artificial implant ("load-bearing" as defined by Albrektsson et al. in 1981). A more recent definition (by Schroeder et al.) defines osseointegration as "functional ankylosis (bone adherence)", where new bone is laid down directly on the implant surface and the implant exhibits mechanical stability (i.e., resistance to destabilization by mechanical agitation or shear forces). Osseointegration has enhanced the science of medical bone and joint replacement techniques as well as dental implants and improving prosthetics for amputees.

Definitions

Osseointegration is also defined as: "the formation of a direct interface between an implant and bone, without intervening soft tissue".[1]

An osseointegrated implant is a type of implant defined as "an endosteal implant containing pores into which osteoblasts and supporting connective tissue can migrate".[2] Applied to oral implantology, this refers to bone grown right up to the implant surface without interposed soft tissue layer. No scar tissue, cartilage or ligament fibers are present between the bone and implant surface. The direct contact of bone and implant surface can be verified microscopically.

Osseointegration may also be defined as:

  1. Osseous integration, the apparent direct attachment or connection of osseous tissue to an inert alloplastic material without intervening connective tissue.
  2. The process and resultant apparent direct connection of the endogenous material surface and the host bone tissues without intervening connective tissue.
  3. The interface between alloplastic material and bone.

History

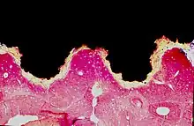
Titanium implant (black) integrated into bone (red): Histologic section

Osseointegration was first observed—albeit not explicitly stated—by Bothe, Beaton, and Davenport in 1940.[3][4] Bothe et al. were the first researchers to implant titanium in an animal and remarked how it tended to fuse with bone.[3][4] Bothe et al. reported that due to the elemental nature of the titanium, its strength, and its hardness, it had great potential to be used as future prosthesis material.[3][4] Gottlieb Leventhal later described osseointegration in 1951.[3][5] Leventhal placed titanium screws in rat femurs and said, "At the end of 6 weeks, the screws were slightly tighter than when originally put in; at 12 weeks, the screws were more difficult to remove; and at the end of 16 weeks, the screws were so tight that in one specimen the femur was fractured when an attempt was made to remove the screw. Microscopic examinations of the bone structure revealed no reaction to the implants, the trabeculation appeared to be perfectly normal."[3][5] The reactions described by Leventhal and Bothe et al. would later be coined into the term "osseointegration" by Per-Ingvar Brånemark of Sweden. In 1952, Brånemark did an experiment where he used a titanium implant chamber to study blood flow in rabbit bone. At the end of the experiment, when it became time to remove the titanium chambers from the bone, he discovered that the bone had integrated so completely with the implant that the chamber could not be removed. Brånemark called this "osseointegration", and, like Bothe et al. and Leventhal before him, saw the possibilities for human use.[3][4][5]

In dentistry the implementation of osseointegration started in the mid-1960s as a result of Brånemark's work.[6][7][8][9] In 1965 Brånemark, who was at the time Professor of Anatomy at University of Gothenburg, placed dental implants into the first human patient—Gösta Larsson. This patient had a cleft palate defect and needed implants to support a palatal obturator. Gösta Larsson died in 2005, with the original implants still in place after 40 years of function.[10]

In the mid-1970s Brånemark entered into a commercial partnership with the Swedish defense company Bofors to manufacture dental implants and the instrumentation required for their placement. Eventually an offshoot of Bofors, Nobel Pharma, was created to concentrate on this product line. Nobel Pharma subsequently became Nobel Biocare.[10]

Brånemark spent almost 30 years fighting the scientific community for acceptance of osseointegration as a viable treatment. In Sweden he was often openly ridiculed at science conferences. His university stopped funding for his research, forcing him to open a private clinic to continue treating patients. Eventually an emerging breed of young academics started to notice the work being done in Sweden. Toronto's George Zarb, a Maltese-born Canadian prosthodontist, was instrumental in bringing the concept of osseointegration to the wider world. The 1983 Toronto Conference is generally considered to be the turning point, when finally the worldwide scientific community accepted Brånemark's work. Osseointegration is now a highly predictable and common treatment modality.[10] Since 2010, Professor Munjed Al Muderis in Sydney, Australia, used a high tensile strength titanium implant with plasma sprayed surface as an intramedullary prosthesis that is inserted into the bone residuum of amputees and then connect through an opening in the skin to a robotic limb prosthesis. This lets amputees mobilize with more comfort and less energy consumption. Al Muderis also published the first series of combining osseointegration prosthesis with Joint replacement enabling below knee amputees with knee arthritis or short residual bone to walk without needing a socket prosthesis.[11]

On December 7, 2015, two Operation Iraqi Freedom/Operation Enduring Freedom veterans, Bryant Jacobs and Ed Salau, became the first in America to get a percutaneous osseointegrated prosthesis.[12] In the first stage, doctors at Salt Lake Veterans Affairs Hospital embedded a titanium stud in the femur of each patient. About six weeks later, they went back and attached the docking mechanism for the prosthesis.

In 2021 Professor Al Muderis published a thesis for the requirements for the Doctor of Medical Science discussing Osseointegration for Amputees: Past, Present and Future - Basic Science, Innovations in Surgical Technique, Implant Design and Rehabilitation Strategies.[13]

Mechanism

Osseointegration is a dynamic process in which characteristics of the implant (i.e. macrogeometry, surface properties, etc.) play a role in modulating molecular and cellular behavior.[14] While osseointegration has been observed using different materials, it is most often used to describe the reaction of bone tissues to titanium, or titanium coated with calcium phosphate derivatives.[15] It was previously thought that titanium implants were retained in bone through the action of mechanical stabilization or interfacial bonding. Alternatively, calcium phosphate coated implants were thought to be stabilized via chemical bonding. It is now known that both calcium phosphate coated implants and titanium implants are stabilized chemically with bone, either through direct contact between calcium and titanium atoms, or by the bonding to a cement line-like layer at the implant/bone interface.[16][17] While there are some differences (e.g. like the lack of chondrogenic progenitors), osseointegration occurs through the same mechanisms as bone fracture healing.[18][19]

Technique

For osseointegrated dental implants, metallic, ceramic, and polymeric materials have been used,[2] in particular titanium.[20] To be termed osseointegration the connection between the bone and the implant need not be 100%, and the essence of osseointegration derives more from the stability of the fixation than the degree of contact in histologic terms. In short it is a process where clinically asymptomatic rigid fixation of alloplastic materials is achieved, and maintained, in bone during functional loading.[21] Implant healing time and initial stability are a function of implant characteristics. For example, implants using a screw-root form design achieve high initial mechanical stability through the action of their screws against bone. Following placement of the implant, healing typically takes several weeks or months before the implant is fully integrated into the bone.[22][23][24] First evidence of integration occurs after a few weeks, while more robust connection is progressively effected over the next months or years.[25] Implants that have a screw-root form design result in bone resorption followed by interfacial bone remodeling and growth around the implant.[26]

Implants using a plateau-root form design (or screw-root form implants with a wide enough gap between the pitch of the screws) undergo a different mode of peri-implant ossification. Unlike the aforementioned screw-root form implants, plateau-root form implants exhibit de novo bone formation on the implant surface.[27] The type of bone healing exhibited by plateau-root form implants is known as intramembranous-like healing.[26]

Though the osseointegrated interface becomes resistant to external shocks over time, it may be damaged by prolonged adverse stimuli and overload, which may cause implant failure.[28][29] In studies done using "Mini dental implants," it was noted that the absence of micromotion at the bone-implant interface was needed to enable proper osseointegration.[30] It was also noted that there is a critical threshold of micromotion above which a fibrous encapsulation process occurs, rather than osseointegration.[31]

Other complications may arise even in the absence of external impact. One issue is growth of cement.[32] In normal cases, absence of cementum on the implant surface prevents attachment of collagen fibers. This is normally the case due to the absence of cementum progenitor cells in the area receiving the implant. However, when such cells are present, cement may form on or around the implant surface, and a functional collagen attachment may attach to it.[33]

Advances in materials engineering: metal foams

Since 2005, a number of orthopedic device makers have introduced products with porous metal construction.[34][35][36] Clinical studies on mammals have shown that porous metals, such as titanium foam, may allow formation of vascular systems within the porous area.[37] For orthopedic uses, metals such as tantalum or titanium are often used, as these metals have high tensile strength and corrosion resistance with excellent biocompatibility.

The process of osseointegration in metal foams is similar to that in bone grafts. The porous bone-like properties of the metal foam contribute to extensive bone infiltration, allowing osteoblast activity to take place. In addition, the porous structure allows for soft tissue adherence and vascularization within the implant. These materials are currently deployed in hip replacement, knee replacement and dental implant surgeries.

Testing procedures

There are a number of methods used to gauge the level of osseointegration and the subsequent stability of an implant. One widely used diagnostic procedure is percussion analysis, where a dental instrument is tapped against the implant carrier.[38] The nature of the ringing that results is used as a qualitative measure of the implant's stability. An integrated implant will elicit a higher pitched "crystal" sound, whereas a non-integrated implant will elicit a dull, low-pitched sound.[39]

Another method is a reverse torque test, in which the implant carrier is unscrewed. If it fails to unscrew under the reverse torque pressure, the implant is stable. If the implant rotates under the pressure it is deemed a failure and removed.[40] This method comes at the risk of fracturing bone that is mid-way in the process of osseointegration.[38] It is also unreliable in determining the osseointegration potential of a bone region, as tests have yielded that a rotating implant can go on to be successfully integrated.[41]

A non-invasive and increasingly implemented diagnostic method is resonance frequency analysis (RFA).[38] A resonance frequency analyzer device prompts vibrations in a small metal rod temporarily attached to the implant. As the rod vibrates, the probe reads its resonance frequency and translates it into an implant stability quotient (ISQ), which ranges from 1–100, with 100 indicating the highest stability state. Values ranging between 57 and 82 are generally considered stable, though each case must be considered independently.[38]

Osseoperception

One of the peculiarities of osseointegrated prostheses is that mechanical events at the prosthesis (e.g. touch) are transferred as vibrations through the bone.[42] This "osseoperception" means that the prosthesis user regains a more accurate sense of how the prosthesis is interacting with the world. Users of bone-anchored lower limb prostheses report, for example, that they can tell which type of soil they are walking on due to osseoperception.[43]

Recent research on users of bone-anchored upper and lower limb prostheses showed that this osseoperception is not only mediated by mechanoreceptors but also by auditory receptors.[44][45] This means that, rather than just feeling mechanical influences on the device, users also hear the movements of their prosthesis. This joint mechanical and auditory sensory perception is likely responsible for the improved environment perception of users of osseointegrated prostheses compared to traditional socket suspended devices. It is not clear, however, to what extent this implicit sensory feedback actually influences prosthesis users in everyday life.[46]

Applications

See also

References

  1. Miller, Benjamin F.; Keane, Claire B. (1992). Miller-Keane Encyclopedia & Dictionary of Medicine, Nursing, and Allied Health. Philadelphia: Saunders. ISBN 0-7216-3456-7.
  2. 1 2 Mosby's Medical, Nursing & Allied Health Dictionary. St. Louis: Mosby. 2002. p. 1240. ISBN 0-323-01430-5.
  3. 1 2 3 4 5 6 Rudy, Robert; Levi, Paul A; Bonacci, Fred J; Weisgold, Arnold S; Engler-Hamm, Daniel (2008). "Intraosseous anchorage of dental prostheses: an early 20th century contribution". Compend Contin Educ Dent. 29 (4): 220–229. PMID 18524206.
  4. 1 2 3 4 Bothe, RT; Beaton, KE; Davenport, HA (1940). "Reaction of bone to multiple metallic implants". Surg Gynecol Obstet. 71: 598–602.
  5. 1 2 3 Leventhal, Gottlieb (1951). "Titanium, a metal for surgery". J Bone Joint Surg Am. 33-A (2): 473–474. doi:10.2106/00004623-195133020-00021. PMID 14824196.
  6. Brånemark PI (September 1983). "Osseointegration and its experimental background". The Journal of Prosthetic Dentistry. 50 (3): 399–410. doi:10.1016/S0022-3913(83)80101-2. PMID 6352924.
  7. Brånemark, Per-Ingvar; Zarb, George Albert; Albrektsson, Tomas (1985). Tissue-integrated prostheses: osseointegration in clinical dentistry. Chicago: Quintessence. ISBN 978-0-86715-129-9.
  8. Albrektsson, Tomas; Zarb, George A. (1989). The Branemark osseointegrated implant. Chicago: Quintessence Pub. Co. ISBN 978-0-86715-208-1.
  9. Beumer, John; Lewis, Steven (1989). The Branemark implant system: clinical and laboratory procedures. St. Louis: Ishiyaku EuroAmerica. ISBN 0-912791-62-4.
  10. 1 2 3 Close to the Edge - Brånemark and the Development of Osseointegration, edited by Elaine McClarence, Quintessence 2003.
  11. Khemka A, Frossard L, Lord SJ, Bosley B, Al Muderis M (Jul 2015). "Osseointegrated total knee replacement connected to a lower limb prosthesis: 4 cases". Acta Orthop. 86 (6): 740–4. doi:10.3109/17453674.2015.1068635. PMC 4750776. PMID 26145721.
  12. "Veteran amputees to undergo first ever prosthetic implants | KSL.com". www.ksl.com. Retrieved 2015-12-04.
  13. "Osseointegration for Amputees: Past, Present and Future: Basic Science, Innovations in Surgical Technique, Implant Design and Rehabilitation Strategies". scholar.google.com. Retrieved 2023-04-27.
  14. Shah, Furqan A.; Thomsen, Peter; Palmquist, Anders (January 2019). "Osseointegration and current interpretations of the bone-implant interface". Acta Biomaterialia. 84: 1–15. doi:10.1016/j.actbio.2018.11.018. ISSN 1742-7061. PMID 30445157.
  15. Albrektsson, T; Johansson, C (2001). "Osteoinduction, osteoconduction and osseointegration". Eur Spine J. 10 (2): S96–S101. doi:10.1007/s005860100282. PMC 3611551. PMID 11716023.
  16. Davies, J (2003). "Understanding peri-implant endosseous healing". J Dent Educ. 67 (8): 932–949. doi:10.1002/j.0022-0337.2003.67.8.tb03681.x. PMID 12959168.
  17. Thuvander, M; Andersson, M (2014). "Atomically resolved tissue integration". Nano Lett. 14 (8): 4220–4223. Bibcode:2014NanoL..14.4220K. doi:10.1021/nl501564f. PMID 24989063.
  18. Colnot, C; Romero, DM; Huang, S; Rahman, J; Currey, JA; Nanci, A; Brunski, JB; Helms, JA (2007). "Molecular analysis of healing at a bone-implant interface". J Dent Res. 86 (9): 109–118. doi:10.1177/154405910708600911. PMID 17720856. S2CID 44989307.
  19. Albrektsson, T; Branemark, PI; Hansson, HA; Lindstrom, J (1981). "Osseointegrated titanium implants. Requirements for ensuring a long-lasting, direct bone-to- implant anchorage in man". Acta Orthop Scand. 52 (2): 155–170. doi:10.3109/17453678108991776. PMID 7246093.
  20. Natali, Arturo N., ed. (2003). Dental biomechanics. Washington, DC: Taylor & Francis. pp. 69–87. ISBN 978-0-415-30666-9.
  21. Zarb, George A.; Albrektsson, Tomas (1991). "Osseointegration: A requiem for the periodontal ligament?". International Journal of Periodontology and Restorative Dentistry (11): 88–91.
  22. Edge MJ. Surgical placement guide for use with osseointegrated implants. J Prosthet Dent. 1987;57:719–22.
  23. "Implant Surgical Guides: State of the Art". HammasOskari. Retrieved 2019-11-06.
  24. Engelman MJ, Sorensen JA, Moy P. Optimum placement of osseointegrated implants. J Prosthet Dent. 1988;59:467–73.
  25. Albrektsson, Tomas; Berglundh, Tord; Lindhe, Jan (2003). "Osseointegration: Historic Background and Current Concepts". In Lindhe, Jan; Karring, Thorkild; Lang, Niklaus P. (eds.). Clinical Periodontology and Implant Dentistry. Oxford: Blackwell Munksgaard. p. 815. ISBN 1-4051-0236-5.
  26. 1 2 Coelho, P; Jimbo, R (2014). "Osseointegration of metallic devices: current trends based on implant hardware design". Arch Biochem Biophys. 561: 99–108. doi:10.1016/j.abb.2014.06.033. PMID 25010447.
  27. Berglundh, T; Abrahamsson, I; Lang, N; Lindhe, J (2003). "De novo alveolar bone formation adjacent to endosseous implants". Clin. Oral Implants Res. 14 (3): 251–262. doi:10.1034/j.1600-0501.2003.00972.x. PMID 12755774. S2CID 28672423.
  28. Albrektsson, Tomas; Berglundh, Tord; Lindhe, Jan (2003). "Osseointegration: Historic Background and Current Concepts". In Lindhe, Jan; Karring, Thorkild; Lang, Niklaus P. (eds.). Clinical Periodontology and Implant Dentistry. Oxford: Blackwell Munksgaard. p. 816. ISBN 1-4051-0236-5.
  29. Isidor F (June 1996). "Loss of osseointegration caused by occlusal load of oral implants. A clinical and radiographic study in monkeys". Clinical Oral Implants Research. 7 (2): 143–52. doi:10.1034/j.1600-0501.1996.070208.x. PMID 9002833.
  30. Brunski JB (June 1999). "In vivo bone response to biomechanical loading at the bone/dental-implant interface". Advances in Dental Research. 13: 99–119. doi:10.1177/08959374990130012301. PMID 11276755. S2CID 19412277.
  31. Szmukler-Moncler S, Salama H, Reingewirtz Y, Dubruille JH (1998). "Timing of loading and effect of micromotion on bone-dental implant interface: review of experimental literature". Journal of Biomedical Materials Research. 43 (2): 192–203. doi:10.1002/(SICI)1097-4636(199822)43:2<192::AID-JBM14>3.0.CO;2-K. PMID 9619438.
  32. Pauletto N, Lahiffe BJ, Walton JN (1999). "Complications associated with excess cement around crowns on osseointegrated implants: a clinical report". The International Journal of Oral & Maxillofacial Implants. 14 (6): 865–8. PMID 10612925.
  33. Bernard, George W.; Carranza, Ferritin A.; Jovanovic, Sascha A. (1996). "Biologic Aspects of Dental Implants". In Carranza, Fermín A.; Newman, Michael G. (eds.). Clinical Periodontology. pp. 685–9. ISBN 978-0-7216-6728-7.
  34. Biomet Orthopedics, Regenerex® Porous Titanium Construct, http://www.biomet.com/orthopedics/productDetail.cfm?category=2&product=231
  35. Zimmer Orthopedics, Trabeluar Metal Technology, http://www.zimmer.com/ctl?template=CP&op=global&action=1&id=33 Archived 2011-07-18 at the Wayback Machine
  36. Zimmer Cancellous-Structured Titanium Porous Coating, http://www.zimmer.com/ctl?op=global&action=1&id=7876&template=MP Archived 2011-07-18 at the Wayback Machine
  37. Osseointegration with Titanium Foam in Rabbit Femur, YouTube: https://www.youtube.com/watch?v=hdscnna5r1Q
  38. 1 2 3 4 Implant Dentistry - A Rapidly Evolving Practice. 2011. pp. 111–126.
  39. Swami, Vasanthi; Vijayaraghavan, Vasantha; Swami, Vinit (2016). "Current trends to measure implant stability". Journal of Indian Prosthodontic Society. 16 (2): 124–130. doi:10.4103/0972-4052.176539. PMC 4837777. PMID 27141160.
  40. "Methods Used to Assess Implant Stability: Current Status" (PDF). International Journal of Oral and Maxillofacial Implants. 22: 742–754. 2007.
  41. Ivanoff, C. J.; Sennerby, L.; Lekholm, U. (1997-08-01). "Reintegration of mobilized titanium implants. An experimental study in rabbit tibia". International Journal of Oral and Maxillofacial Surgery. 26 (4): 310–315. doi:10.1016/s0901-5027(97)80878-8. ISSN 0901-5027. PMID 9258729.
  42. Brånemark, R.; Brånemark, PI. J.; Rydevik, B.; Myers, RR. (2001). "Osseointegration in skeletal reconstruction and rehabilitation: a review". Journal of Rehabilitation Research & Development. 38 (2): 175–181. PMID 11392650.
  43. Jacobs, R.; Van Steenberghe, D. (2006). "From osseoperception to implant-mediated sensory-motor interactions and related clinical implications*". Journal of Oral Rehabilitation. 33 (4): 282–292. doi:10.1111/j.1365-2842.2006.01621.x. ISSN 0305-182X. PMID 16629883.
  44. Clemente, Francesco; Håkansson, Bo; Cipriani, Christian; Wessberg, Johan; Kulbacka-Ortiz, Katarzyna; Brånemark, Rickard; Fredén Jansson, Karl-Johan; Ortiz-Catalan, Max (2017). "Touch and Hearing Mediate Osseoperception". Scientific Reports. 7 (1): 45363. Bibcode:2017NatSR...745363C. doi:10.1038/srep45363. ISSN 2045-2322. PMC 5368565. PMID 28349945.
  45. "Hearing and touch mediate sensations via osseointegrated prostheses". www.eurekalert.org. Retrieved 2019-04-10.
  46. Mishra, Sunil Kumar; Chowdhary, Ramesh; Chrcanovic, Bruno Ramos; Brånemark, Per-Ingvar (April 2016). "Osseoperception in Dental Implants: A Systematic Review". Journal of Prosthodontics. 25 (3): 185–195. doi:10.1111/jopr.12310. ISSN 1532-849X. PMID 26823228. S2CID 5781724.
  47. Hagberg K, Brånemark R (2009). "One hundred patients treated with osseointegrated transfemoral amputation prostheses--rehabilitation perspective". Journal of Rehabilitation Research and Development. 46 (3): 331–44. doi:10.1682/JRRD.2008.06.0080. PMID 19675986.

Further reading

  • Zarb GA, Schmitt A (July 1990). "The longitudinal clinical effectiveness of osseointegrated dental implants: the Toronto Study. Part II: The prosthetic results". The Journal of Prosthetic Dentistry. 64 (1): 53–61. doi:10.1016/0022-3913(90)90153-4. PMID 2200880.
  • Apse P, Zarb GA, Schmitt A, Lewis DW (1991). "The longitudinal effectiveness of osseointegrated dental implants. The Toronto Study: peri-implant mucosal response". The International Journal of Periodontics & Restorative Dentistry. 11 (2): 94–111. PMID 1718917.
  • Chaytor DV, Zarb GA, Schmitt A, Lewis DW (1991). "The longitudinal effectiveness of osseointegrated dental implants. The Toronto Study: bone level changes". The International Journal of Periodontics & Restorative Dentistry. 11 (2): 112–25. PMID 1938184.
  • Barber AJ, Butterworth CJ, Rogers SN (January 2010). "Systematic review of primary osseointegrated dental implants in head and neck oncology". The British Journal of Oral & Maxillofacial Surgery. 49 (1): 29–36. doi:10.1016/j.bjoms.2009.12.007. PMID 20079957.
  • Hultin M, Gustafsson A, Klinge B (February 2000). "Long-term evaluation of osseointegrated dental implants in the treatment of partly edentulous patients". Journal of Clinical Periodontology. 27 (2): 128–33. doi:10.1034/j.1600-051x.2000.027002128.x. PMID 10703659.
  • Olivé, Jordi; Aparicio, Carlos (1990). "The periotest implant as a measure of osseointegrated oral implant stability". The International Journal of Oral & Maxillofacial Implants. 5 (4): 390–400.
  • Holmgren EP, Seckinger RJ, Kilgren LM, Mante F (1998). "Evaluating parameters of osseointegrated dental implants using finite element analysis--a two-dimensional comparative study examining the effects of implant diameter, implant shape, and load direction". The Journal of Oral Implantology. 24 (2): 80–8. doi:10.1563/1548-1336(1998)024<0080:EPOODI>2.3.CO;2. PMID 9835834.
This article is issued from Wmcloud. The text is licensed under Creative Commons - Attribution - Sharealike. Additional terms may apply for the media files.