Osmotic demyelination syndrome
| Osmotic demyelination syndrome | |
|---|---|
| Other names: Central pontine demyelination, central pontine myelinolysis, extrapontine myelinolysis | |
![]() | |
| MRI image showing hyperintensity in the pons with sparing of the peripheral fibers, in a person with alcoholism and an initial serum Na of 101 who was treated with hypertonic saline, and developed quadriplegia, trouble talking, and altered mental status. | |
| Specialty | Neurology |
| Symptoms | Difficulty swallowing, difficulty speaking, movement disorders, decreased level of consciousness, paralysis[1] |
| Complications | Seizures, locked in syndrome[1] |
| Usual onset | One day to two weeks of a trigger[1] |
| Causes | Complication of rapid correction of low sodium[1] |
| Risk factors | Alcoholism, malnutrition, liver transplantation, kidney failure[1] |
| Diagnostic method | Suspected based on symptoms, confirmed by MRI[1] |
| Differential diagnosis | Hypertensive encephalopathy, multiple sclerosis, brainstem stroke, pontine neoplasms, CNS lymphoma, progressive multifocal leukoencephalopathy[2] |
| Prevention | Correct sodium at a rate of less than 0.5 mmol/L per hour[1] |
| Treatment | Supportive care |
| Frequency | Rare[1] |
Osmotic demyelination syndrome, previously known as central pontine myelinolysis, is damage to certain regions of the brain following rapid correction of electrolyte disorders.[2] Symptoms may include difficulty swallowing, difficulty speaking, movement disorders, decreased level of consciousness, and paralysis.[1] Other complications may include seizures and locked in syndrome.[1] Onset is within a day to two weeks of a trigger.[1]
It most commonly occurs as a complication of low sodium, particularly severely low sodium and its correction by more than 12 mmol/L in a day.[1] Other potential causes include low potassium, high sodium, low phosphate, liver transplantation, high blood sugar, and kidney failure.[1] Risk factors include alcoholism and malnutrition.[1] The underlying mechanism involves a rapid rise in serum tonicity leading to demyelination of white matter.[2] While the initial cases described the pons being affected, other areas of the brain have also found to be involved.[1] Diagnosis is suspected based on symptoms and confirmed by MRI.[1]
Prevention is by correcting low sodium at a rate of less than 0.5 mmol/L per hour.[1] Once the condition has developed there is no specific treatment, though immunotherapy and vaptans may be tried.[1] Poor outcomes occur in a third to half of those effected.[1] The risk of death is 10 to 60%.[1]
Osmotic demyelination syndrome is rare in the general population, though may affect up to 30% of at risk groups.[1] It most commonly occurs in those between the age of 30 and 50.[1] Males are more commonly affected than females.[1] It was first described by Adams in 1959.[1][3]
Signs and symptoms
Symptoms depend on the regions of the brain involved. Prior to its onset, patients may present with the neurological signs and symptoms of hyponatraemic encephalopathy such as nausea and vomiting, confusion, headache and seizures. These symptoms may resolve with normalisation of the serum sodium concentration. Three to five days later, a second phase of neurological manifestations occurs correlating with the onset of myelinolysis. Observable immediate precursors may include seizures, disturbed consciousness, gait changes, and decrease or cessation of respiratory function.[4][5]
The classical clinical presentation is the progressive development of spastic quadriparesis, pseudobulbar palsy, and emotional lability (pseudobulbar affect), with other more variable neurological features associated with brainstem damage. These result from a rapid myelinolysis of the corticobulbar and corticospinal tracts in the brainstem.[6]
In about ten per cent of people with central pontine myelinolysis, extrapontine myelinolysis is also found. In these cases symptoms of Parkinson's disease may be generated.[7]
Causes

The most common cause is overly-rapid correction of low blood sodium levels (hyponatremia).[8] Apart from rapid correction of hyponatraemia, there are case reports of central pontine myelinolysis in association with hypokalaemia, anorexia nervosa when feeding is started, patients undergoing dialysis and burn victims. There is a case report of central pontine myelinolysis occurring in the context of refeeding syndrome, in the absence of hyponatremia.[9]
It has also been known to occur in patients suffering withdrawal symptoms of chronic alcoholism.[7] In these instances, occurrence may be entirely unrelated to hyponatremia or rapid correction of hyponatremia. It could affect patients who take some prescription medicines that are able to cross the blood-brain barrier and cause abnormal thirst reception - in this scenario the central pontine myelinolysis is caused by polydipsia leading to low blood sodium levels (hyponatremia).
In people with schizophrenia and psychogenic polydipsia, inadequate thirst reception leads to excessive water intake, severely diluting serum sodium.[10] With this excessive thirst combined with psychotic symptoms, brain damage such as central pontine myelinolysis[11] may result from hyperosmolarity caused by excess intake of fluids, (primary polydipsia) although this is difficult to determine because such patients are often institutionalised and have a long history of mental health conditions.[12]
It has been observed following hematopoietic stem cell transplantation.[13]
Those prone to hyponatremia include:
- Severe liver disease (e.g., cirrhosis)
- Liver transplant[14][15][16]
- Alcoholism
- Hypokalemia
- People with serum sodium <105 mEq/L
- Severe burns[17][18]
- Malnutrition
- Anorexia nervosa[19][20][21]
- Severe electrolyte disorders
- HIV/AIDS
- hyperemesis gravidarum[22][23]
- Hyponatremia due to peritoneal dialysis
- Wernicke encephalopathy[24]
Pathophysiology
The currently accepted theory states that the brain cells adjust their osmolarities by changing levels of certain osmolytes like inositol, betaine, and glutamine in response to varying serum osmolality. In the context of chronic low plasma sodium (hyponatremia), the brain compensates by decreasing the levels of these osmolytes within the cells, so that they can remain relatively isotonic with their surroundings and not absorb too much fluid. The reverse is true in hypernatremia, in which the cells increase their intracellular osmolytes so as not to lose too much fluid to the extracellular space.
With correction of the hyponatremia with intravenous fluids, the extracellular tonicity increases, followed by an increase in intracellular tonicity. When the correction is too rapid, not enough time is allowed for the brain's cells to adjust to the new tonicity, namely by increasing the intracellular osmoles mentioned earlier. If the serum sodium levels rise too rapidly, the increased extracellular tonicity will continue to drive water out of the brain's cells. This can lead to cellular dysfunction and central pontine myelinolysis.[25][26]
Diagnosis
It can be diagnosed clinically in the appropriate context, but may be difficult to confirm radiologically using conventional imaging techniques. Changes are more prominent on MRI than on CT, but often take days or weeks after acute symptom onset to develop. Imaging by MRI typically demonstrates areas of hyperintensity on T2-weighted images.[27]
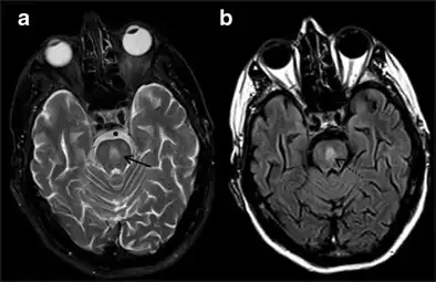
Central Pontine Myelinolysis -a & b) axial T2W and FLAIR images at the level of pons show central pontine hyperintensity
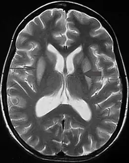
T2 weighted magnetic resonance scan image showing bilaterally symmetrical hyperintensities in caudate nucleus (small, thin arrow), putamen (long arrow), with sparing of globus pallidus (broad arrow), suggestive of extrapontine myelinolysis (osmotic demyelination syndrome)
Differential diagnosis
There is no inflammation present, which separates this condition from multiple sclerosis and acute disseminated encephalomyelitis.[28]
Treatment
To minimise the risk of this condition developing from its most common cause, overly rapid reversal of hyponatremia, the hyponatremia should be corrected at a rate not exceeding 10 mmol/L/24 h or 0.5 mEq/L/h; or 18 mEq/L/48hrs; thus avoiding demyelination.[26] No large clinical trials have been performed to examine the efficacy of therapeutic re-lowering of serum sodium, or other interventions sometimes advocated such as steroids or plasma exchange.[26] Alcoholic patients should receive vitamin supplementation and a formal evaluation of their nutritional status.[29][30]
Once osmotic demyelination has begun, there is no cure or specific treatment. Care is mainly supportive. Alcoholics are usually given vitamins to correct for other deficiencies. The favourable factors contributing to the good outcome in central pontine myelinolysis without hyponatremia were: concurrent treatment of all electrolyte disturbances, early intensive care unit involvement at the advent of respiratory complications, early introduction of feeding including thiamine supplements with close monitoring of the electrolyte changes and input.[9]
Research has led to improved outcomes.[31] Animal studies suggest that inositol reduces the severity of osmotic demyelination syndrome if given before attempting to correct chronic hyponatraemia.[32] Further study is required before using inositol in humans for this purpose.[33]
Prognosis
Though traditionally the prognosis is considered poor, a good functional recovery is possible. All patients at risk of developing refeeding syndrome should have their electrolytes closely monitored, including sodium, potassium, magnesium, glucose and phosphate.[9] Recent data indicate that the prognosis of critically ill patients may even be better than what is generally considered,[34] despite severe initial clinical manifestations and a tendency by the intensivists to underestimate a possible favorable evolution.[35] While some patients die, most survive and of the survivors, approximately one-third recover; one-third are disabled but are able to live independently; one-third are severely disabled.[36] Permanent disabilities range from minor tremors and ataxia to signs of severe brain damage, such as spastic quadriparesis and locked-in syndrome.[37] Some improvements may be seen over the course of the first several months after the condition stabilizes.
The degree of recovery depends on the extent of the original axonal damage.[25]
Terminology
Originally the term ‘demyelination’ was avoided, to differentiate this condition from multiple sclerosis and other neuroinflammatory disorders.[9] Since this original description, demyelination in other areas of the central nervous system associated with osmotic stress has been described outside the pons (extrapontine).[38] Osmotic demyelination syndrome is the term used for both central pontine myelinolysis and extrapontine myelinolysis.[39]
References
- 1 2 3 4 5 6 7 8 9 10 11 12 13 14 15 16 17 18 19 20 21 22 23 24 Lambeck, J; Hieber, M; Dreßing, A; Niesen, WD (2 September 2019). "Central Pontine Myelinosis and Osmotic Demyelination Syndrome". Deutsches Arzteblatt international. 116 (35–36): 600–606. doi:10.3238/arztebl.2019.0600. PMID 31587708.
- 1 2 3 Danyalian, A; Heller, D (January 2022). "Central Pontine Myelinolysis". PMID 31869161.
{{cite journal}}: Cite journal requires|journal=(help) - ↑ Adams, Raymond D. (1 February 1959). "Central Pontine Myelinolysis: A Hitherto Undescribed Disease Occurring in Alcoholic and Malnourished Patients". A.M.A. Archives of Neurology & Psychiatry. 81 (2): 154. doi:10.1001/archneurpsyc.1959.02340140020004.
- ↑ Musana AK, Yale SH (August 2005). "Central pontine myelinolysis: case series and review". WMJ. 104 (6): 56–60. PMID 16218318.
- ↑ Odier C, Nguyen DK, Panisset M (July 2010). "Central pontine and extrapontine myelinolysis: from epileptic and other manifestations to cognitive prognosis". Journal of Neurology. 257 (7): 1176–1180. doi:10.1007/s00415-010-5486-7. PMID 20148334. S2CID 25301314.
- ↑ Karp BI, Laureno R (November 1993). "Pontine and extrapontine myelinolysis: a neurologic disorder following rapid correction of hyponatremia". Medicine. 72 (6): 359–373. doi:10.1097/00005792-199311000-00001. PMID 8231786. S2CID 24829955.
- 1 2 Yoon B, Shim YS, Chung SW (2008). "Central pontine and extrapontine myelinolysis after alcohol withdrawal". Alcohol and Alcoholism. 43 (6): 647–649. doi:10.1093/alcalc/agn050. PMID 18678596.
- ↑ Bernsen HJ, Prick MJ (September 1999). "Improvement of central pontine myelinolysis as demonstrated by repeated magnetic resonance imaging in a patient without evidence of hyponatremia". Acta Neurologica Belgica. 99 (3): 189–193. PMID 10544728.
- 1 2 3 4 Bose P, Kunnacherry A, Maliakal P (September 2011). "Central pontine myelinolysis without hyponatraemia". The Journal of the Royal College of Physicians of Edinburgh. 41 (3): 211–214. doi:10.4997/JRCPE.2011.305. PMID 21949915.
- ↑ Donald H. "Psychogenic Polydipsia (Excessive Fluid seeking Behaviour)" (PDF). American Psychological Society Divisions. Archived (PDF) from the original on 2022-03-01. Retrieved 2022-04-09.
- ↑ Lim L, Krystal A (June 2007). "Psychotic disorder in a patient with central and extrapontine myelinolysis". Psychiatry and Clinical Neurosciences. 61 (3): 320–322. doi:10.1111/j.1440-1819.2007.01648.x. PMID 17472602.
- ↑ Gill M, McCauley M (2015-01-21). "Psychogenic polydipsia: the result, or cause of, deteriorating psychotic symptoms? A case report of the consequences of water intoxication". Case Reports in Psychiatry. 2015: 846459. doi:10.1155/2015/846459. PMC 4320790. PMID 25688318.
- ↑ Lim KH, Kim S, Lee YS, Kim KH, Kim J, Rhee J, et al. (April 2008). "Central pontine myelinolysis in a patient with acute lymphoblastic leukemia after hematopoietic stem cell transplantation: a case report". Journal of Korean Medical Science. 23 (2): 324–327. doi:10.3346/jkms.2008.23.2.324. PMC 2526450. PMID 18437020. Archived from the original on 2009-02-27.
- ↑ Singh N, Yu VL, Gayowski T (March 1994). "Central nervous system lesions in adult liver transplant recipients: clinical review with implications for management". Medicine. 73 (2): 110–118. doi:10.1097/00005792-199403000-00004. PMID 8152365. S2CID 37808180.
- ↑ Kato T, Hattori H, Nagato M, Kiuchi T, Uemoto S, Nakahata T, Tanaka K (April 2002). "Subclinical central pontine myelinolysis following liver transplantation". Brain & Development. 24 (3): 179–182. doi:10.1016/S0387-7604(02)00013-X. PMID 11934516. S2CID 22140717.
- ↑ Martinez AJ, Estol C, Faris AA (May 1988). "Neurologic complications of liver transplantation". Neurologic Clinics. 6 (2): 327–348. doi:10.1016/S0733-8619(18)30873-9. PMID 3047544.
- ↑ McKee AC, Winkelman MD, Banker BQ (August 1988). "Central pontine myelinolysis in severely burned patients: relationship to serum hyperosmolality". Neurology. 38 (8): 1211–1217. doi:10.1212/wnl.38.8.1211. PMID 3399069. S2CID 42068902.
- ↑ Winkelman MD, Galloway PG (September 1992). "Central nervous system complications of thermal burns. A postmortem study of 139 patients". Medicine. 71 (5): 271–283. doi:10.1097/00005792-199209000-00002. PMID 1522803. S2CID 12872586.
- ↑ Sugimoto T, Murata T, Omori M, Wada Y (March 2003). "Central pontine myelinolysis associated with hypokalaemia in anorexia nervosa". Journal of Neurology, Neurosurgery, and Psychiatry. 74 (3): 353–355. doi:10.1136/jnnp.74.3.353. PMC 1738317. PMID 12588925.
- ↑ Keswani SC (April 2004). "Central pontine myelinolysis associated with hypokalaemia in anorexia nervosa". Journal of Neurology, Neurosurgery, and Psychiatry. 75 (4): 663, author reply 663. PMC 1739009. PMID 15026526.
- ↑ Leroy S, Gout A, Husson B, de Tournemire R, Tardieu M (June 2012). "Centropontine myelinolysis related to refeeding syndrome in an adolescent suffering from anorexia nervosa". Neuropediatrics. 43 (3): 152–154. doi:10.1055/s-0032-1307458. PMID 22473289.
- ↑ Bergin PS, Harvey P (August 1992). "Wernicke's encephalopathy and central pontine myelinolysis associated with hyperemesis gravidarum". BMJ. 305 (6852): 517–518. doi:10.1136/bmj.305.6852.517. PMC 1882865. PMID 1393001.
- ↑ Sutamnartpong P, Muengtaweepongsa S, Kulkantrakorn K (January 2013). "Wernicke's encephalopathy and central pontine myelinolysis in hyperemesis gravidarum". Journal of Neurosciences in Rural Practice. 4 (1): 39–41. doi:10.4103/0976-3147.105608. PMC 3579041. PMID 23546346.
- ↑ Kishimoto Y, Ikeda K, Murata K, Kawabe K, Hirayama T, Iwasaki Y (2012). "Rapid development of central pontine myelinolysis after recovery from Wernicke encephalopathy: a non-alcoholic case without hyponatremia". Internal Medicine. 51 (12): 1599–1603. doi:10.2169/internalmedicine.51.7498. PMID 22728498.
- 1 2 Medana IM, Esiri MM (March 2003). "Axonal damage: a key predictor of outcome in human CNS diseases". Brain. 126 (Pt 3): 515–530. doi:10.1093/brain/awg061. PMID 12566274.
- 1 2 3 Spasovski G, Vanholder R, Allolio B, Annane D, Ball S, Bichet D, et al. (March 2014). "Clinical practice guideline on diagnosis and treatment of hyponatraemia". European Journal of Endocrinology. 170 (3): G1-47. doi:10.1530/eje-13-1020. PMID 24569125.
- ↑ Zimny A, Neska-Matuszewska M, Bladowska J, Sąsiadek MJ (2015). "Intracranial Lesions with Low Signal Intensity on T2-weighted MR Images - Review of Pathologies". Polish Journal of Radiology. 80: 40–50. doi:10.12659/PJR.892146. PMC 4307690. PMID 25628772.
- ↑ Saba, Luca (8 January 2015). Imaging in Neurodegenerative Disorders. OUP Oxford. p. 414. ISBN 978-0-19-165139-7. Archived from the original on 4 December 2022. Retrieved 4 December 2022.
- ↑ Kleinschmidt-DeMasters BK, Norenberg MD (March 1981). "Rapid correction of hyponatremia causes demyelination: relation to central pontine myelinolysis". Science. 211 (4486): 1068–1070. Bibcode:1981Sci...211.1068K. doi:10.1126/science.7466381. PMID 7466381.
- ↑ Laureno R (1980). "Experimental pontine and extrapontine myelinolysis". Transactions of the American Neurological Association. 105: 354–358. PMID 7348981.
- ↑ Brown WD (December 2000). "Osmotic demyelination disorders: central pontine and extrapontine myelinolysis". Current Opinion in Neurology. 13 (6): 691–697. doi:10.1097/00019052-200012000-00014. PMID 11148672. S2CID 36063964.
- ↑ Silver SM, Schroeder BM, Sterns RH, Rojiani AM (January 2006). "Myoinositol administration improves survival and reduces myelinolysis after rapid correction of chronic hyponatremia in rats". Journal of Neuropathology and Experimental Neurology. 65 (1): 37–44. doi:10.1097/01.jnen.0000195938.02292.39. PMID 16410747.
- ↑ "INOSITOL: Overview, Uses, Side Effects, Precautions, Interactions, Dosing and Reviews". www.webmd.com. Archived from the original on 2021-10-27. Retrieved 2021-10-14.
- ↑ Louis G, Megarbane B, Lavoué S, Lassalle V, Argaud L, Poussel JF, et al. (March 2012). "Long-term outcome of patients hospitalized in intensive care units with central or extrapontine myelinolysis*". Critical Care Medicine. 40 (3): 970–972. doi:10.1097/CCM.0b013e318236f152. PMID 22036854. S2CID 205542487.
- ↑ Young GB (March 2012). "Central pontine myelinolysis: a lesson in humility*". Critical Care Medicine. 40 (3): 1026–1027. doi:10.1097/CCM.0b013e31823b8e0b. PMID 22343870.
- ↑ Abbott R, Silber E, Felber J, Ekpo E (October 2005). "Osmotic demyelination syndrome". BMJ. 331 (7520): 829–830. doi:10.1136/bmj.331.7520.829. PMC 1246086. PMID 16210283.
- ↑ Luzzio C (17 November 2015). "Central Pontine Myelinolysis". Medscape. Archived from the original on 21 April 2017. Retrieved 14 March 2017.
- ↑ Gocht A, Colmant HJ (1987). "Central pontine and extrapontine myelinolysis: a report of 58 cases". Clinical Neuropathology. 6 (6): 262–270. PMID 3322623.
- ↑ Lampl C, Yazdi K (2002). "Central pontine myelinolysis". European Neurology. 47 (1): 3–10. doi:10.1159/000047939. PMID 11803185. S2CID 46885398. Archived from the original on 2012-03-06.
External links
| Classification |
|---|
