Neurocytoma
| Neurocytoma | |
|---|---|
| Other names: Neuroepithelioma | |
![]() | |
| Specialty | Neuro-oncology |
| Frequency | Lua error in Module:PrevalenceData at line 5: attempt to index field 'wikibase' (a nil value). |
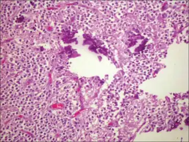
Neurocytoma is a type of nervous system benign tumor which is primarily derived from nervous tissue.[1]

H and E staining showing histological features of neurocytoma
See also
References
External links
| Classification |
|---|
This article is issued from Wmcloud. The text is licensed under Creative Commons - Attribution - Sharealike. Additional terms may apply for the media files.
