Nephromegaly
| Nephromegaly | |
|---|---|
![]() | |
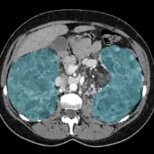
| Showing both enlarged kidneys in blue. | |
| Specialty | Nephrology |
Nephromegaly is the process whereby a kidney or both kidneys become enlarged.[1] Both autosomal dominant and autosomal recessive polycystic kidney disease can cause nephromegaly.
References
- ↑ "Nephromegaly". Medcyclopaedia. Retrieved 2008-05-08.
Further reading
- Pickering, S. P.; Fletcher, B. D.; Bryan, P. J.; Abramowsky, C. R. (1984). "Renal lymphangioma: A cause of neonatal nephromegaly". Pediatric Radiology. 14 (6): 445–448. doi:10.1007/BF02343441. ISSN 0301-0449.
- DeBaun, Michael R.; Siegel, Marilyn J.; Choyke, Peter L. (1998). "Nephromegaly in infancy and early childhood: A risk factor for Wilms tumor in Beckwith-Wiedemann syndrome". The Journal of Pediatrics. 132 (3). Elsevier BV: 401–404. doi:10.1016/s0022-3476(98)70009-5. ISSN 0022-3476.
External links
This article is issued from Wmcloud. The text is licensed under Creative Commons - Attribution - Sharealike. Additional terms may apply for the media files.
