Nasal septum deviation
| Nasal septum deviation | |
|---|---|
| Other names: Deviated septum, deviated nasal septum (DNS), nasal septal deformity | |
![]() | |
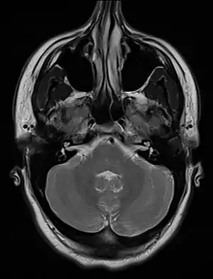
| An MRI image showing a congenitally deviated nasal septum | |
| Specialty | Otorhinolaryngology |
| Symptoms | None, nasal congestion[1] |
| Complications | Sinusitis, nosebleeds[2] |
| Causes | Present at birth, result of injury[2] |
| Diagnostic method | Examination[2] |
| Differential diagnosis | Nasal polyps, adenoid enlargement[3] |
| Treatment | None, surgery[2] |
| Frequency | Common[2] |
Nasal septum deviation is a disorder of the nose in which the nasal septum is bent.[2] Symptoms may include nasal congestion on one side; though many have no symptoms.[2][1] Complications may include sinusitis or nosebleeds.[2]
This may be present at birth or occur as a result of injury.[2] In most cases there is no history of injury, though some cases may result from issues early in life.[4] Diagnosis is based on examination.[2]
Often no treatment is required; however, in severe cases surgery in the form of septoplasty may be an option.[2] Despite septoplasty being common, evidence of benefit is lacking.[5] Though in people with obstructive sleep apnea it may improve the effectiveness of CPAP.[1] A minor degree of deviation is present in most people.[2]
Signs and symptoms
Only more severe cases of a deviated septum will cause symptoms of difficulty breathing and require treatment.[6] Symptoms of a deviated septum include infections of the sinus and sleep apnea, snoring, repetitive sneezing, facial pain, nosebleeds, mouth breathing, difficulty with breathing and mild to severe loss of the ability to smell.[6][7]
The nasal septum is the bone and cartilage in the nose that separates the nasal cavity into the two nostrils. The cartilage is called the quadrangular cartilage and the bones comprising the septum include the maxillary crest, vomer and the perpendicular plate of the ethmoid. Normally, the septum lies centrally, and thus the nasal passages are symmetrical.[8] A deviated septum is an abnormal condition in which the top of the cartilaginous ridge leans to the left or the right, causing obstruction of the affected nasal passage. The condition can result in poor drainage of the sinuses. People can also complain of difficulty breathing, headaches, bloody noses, or of sleeping disorders such as snoring or sleep apnea.[8]
It is common for nasal septa to depart from the exact centerline; the septum is only considered deviated if the shift is substantial or causes problems.[9] Many people with a deviation are unaware they have it until some pain is produced. By itself, a deviated septum can go undetected for years and thus be without any need for correction.[9]
Causes
It is most frequently caused by impact trauma, such as by a blow to the face.[9] It can also be a congenital disorder, caused by compression of the nose during childbirth.[9] Deviated septum is associated with genetic connective tissue disorders such as Marfan syndrome, Homocystinuria and Ehlers–Danlos syndrome.[10]
Diagnosis
Nasal septum deviation is the most common cause of nasal obstruction.[11] A history of trauma to the nose is often present including trauma from the process of birth or microfractures.[11] A medical professional, such as an otorhinolaryngologist (ears, nose, and throat doctor), typically makes the diagnosis after taking a thorough history from the affected person and performing a physical examination.[11] Imaging of the nose is sometimes used to aid in making the diagnosis as well.[11]
Treatment

Medical therapy with nasal sprays including decongestants, antihistamines, or nasal corticosteroid sprays is typically tried first before considering a surgical approach to correct nasal septum deviation.[11] Medication temporarily relieves symptoms, but does not correct the underlying condition. Non-medical relief can also be obtained using nasal strips.
Surgery
A surgical procedure known as septoplasty can cure symptoms related to septal deviations. The surgery lasts roughly one hour and does not result in any cosmetic alteration or external scars. Nasal congestion, pain,[12] drainage, or swelling may occur within the first few days after the surgery.[13] Recovery from the procedure may take anywhere from 2 days to 4 weeks to heal completely. Septal bones never regrow. If symptoms reappear they are not related to deviations. Reappearance of symptoms may be due to mucosal metaplasia of the nose.
Complications of surgery
- Nasal septum perforation[11] due to bilateral trauma of the mucoperichondrial flaps opposite each other.
- Incomplete correction with persistent nasal symptoms[11]
- External nasal deformity[11]
- Septal hematoma[11] and septal abscess.
- Scarring inside the nose and nose bleeding[11]
- Adhesions and synechiae between septal mucosa and lateral nasal wall
- Saddle nose due to over-resection of the dorsal wall of the septal cartilage
- Dropped nasal tip due to resection of the caudal margin
References
- 1 2 3 "Septal Deviation and Perforation - Ear, Nose, and Throat Disorders". Merck Manuals Professional Edition. Archived from the original on 28 December 2021. Retrieved 5 February 2022.
- 1 2 3 4 5 6 7 8 9 10 11 12 "Deviated Septum - Ear, Nose, and Throat Disorders". Merck Manuals Consumer Version. Archived from the original on 30 October 2021. Retrieved 5 February 2022.
- ↑ Schuman, TA; Senior, BA (October 2018). "Treatment Paradigm for Nasal Airway Obstruction". Otolaryngologic clinics of North America. 51 (5): 873–882. doi:10.1016/j.otc.2018.05.003. PMID 29941181.
- ↑ Hsu, DW; Suh, JD (October 2018). "Anatomy and Physiology of Nasal Obstruction". Otolaryngologic clinics of North America. 51 (5): 853–865. doi:10.1016/j.otc.2018.05.001. PMID 29941182.
- ↑ van Egmond, MMHT; Rovers, MM; Tillema, AHJ; van Neerbeek, N (1 September 2018). "Septoplasty for nasal obstruction due to a deviated nasal septum in adults: a systematic review". Rhinology. 56 (3): 195–208. doi:10.4193/Rhin18.016. PMID 29656301.
- 1 2 Robinson, Jennifer (December 11, 2016). "What Is a Deviated Septum?". WebMD. Archived from the original on April 22, 2021. Retrieved October 10, 2021.
- ↑ "Disorders of Smell & Taste". American Rhinologic Society. 17 February 2015. Archived from the original on 26 December 2017. Retrieved 19 May 2012.
- 1 2 American Academy of Otolaryngology, Fact Sheet: Deviated Septum, archived from the original on 2014-04-06, retrieved 2009-02-04
- 1 2 3 4 Metson, Ralph; Mardon, Steven (2005-04-05), The Harvard Medical School Guide to Healing Your Sinuses, McGraw-Hill Professional, pp. 159–161, ISBN 978-0-07-144469-9
- ↑ Child, AH (November 2017). "Non-cardiac manifestations of Marfan syndrome". Annals of Cardiothoracic Surgery (Review). 6 (6): 599–609. doi:10.21037/acs.2017.10.02. PMC 5721104. PMID 29270372.
- 1 2 3 4 5 6 7 8 9 10 Fettman, N; Sanford, T; Sindwani, R (April 2009). "Surgical management of the deviated septum: techniques in septoplasty". Otolaryngologic Clinics of North America. 42 (2): 241–52. doi:10.1016/j.otc.2009.01.005. PMID 19328889.
- ↑ Fujiwara, Takashi; Kuriyama, Akira; Kato, Yumi; Fukuoka, Toshio; Ota, Erika (2018-08-23). Cochrane ENT Group (ed.). "Perioperative local anaesthesia for reducing pain following septal surgery". Cochrane Database of Systematic Reviews. 8: CD012047. doi:10.1002/14651858.CD012047.pub2. PMC 6513247. PMID 30136717.
- ↑ "Septoplasty: Recovery and Outlook". my.clevelandclinic.org. Cleveland Clinic. Archived from the original on 2020-08-04. Retrieved 2021-10-10.
External links
| Classification |
|---|
