Mantle zone
| Mantle zone | |
|---|---|
![]() Histology of a normal secondary lymphoid follicle, with yellow arrows pointing at the mantle zone. | |
| Anatomical terminology |

Image labeled in German, but "Mantel-zone" visible near center
The mantle zone (or just mantle) of a lymphatic nodule (or lymphatic follicle) is an outer ring of small lymphocytes surrounding a germinal center.[1]
It is also known as the "corona".[2]
It contains transient lymphocytes.[3]
It is the location of the lymphoma in mantle cell lymphoma.
Pathology

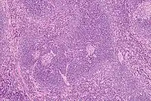
Intermediate magnification micrograph of Castleman disease showing the characteristic expansion of the mantle zone. H&E stain
Mantle zone expansion may be seen in benign, such as Castleman disease, and malignancy, i.e., Mantle cell lymphoma. Tcl-1 is expressed in the mantle zone.
References
- ↑ "University of Cambridge: Department of Pathology". Archived from the original on 2008-06-03. Retrieved 2008-07-29.
- ↑ "Lymph Nodes". Archived from the original on 2008-03-17. Retrieved 2008-07-29.
- ↑ "Pathology of lymph nodes – Dr. Levy". www.dartmouth.edu. Archived from the original on 1999-11-05.
External links
- https://web.archive.org/web/20080813003821/http://erl.pathology.iupui.edu/HISTO/LABE109.HTM
- Histology image: 07102loa – Histology Learning System at Boston University — "Lymphoid Tissues and Organs: lymph node, cortex and medulla"
This article is issued from Wmcloud. The text is licensed under Creative Commons - Attribution - Sharealike. Additional terms may apply for the media files.
