Liver abscess
| Liver abscess | |
|---|---|
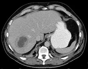
![]() | |
| Liver abscess on axial CT image: a hypodense lesion in the liver with peripherally enhancement. | |
A liver abscess is a mass filled with pus inside the liver.[1] Common causes are abdominal conditions such as appendicitis or diverticulitis due to haematogenous spread through the portal vein.[2] It can also develop as a complication of a liver injury.
Signs and symptoms
The clinical presentation for a liver abscess is consistent with:[3]
- Fever
- Night sweats
- Malaise
- Vomiting
Causes
Risk factors for developing liver abscess can be due to infection, post-procedural infection and metastasis such as primary liver tumours, liver metastasis, biliary procedures, biliary injuries, biliary tract disease, appendicitis, and diverticulitis.
Major bacterial causes of liver abscess include the following:[4]
- Streptococcus species (including Enterococcus)
- Escherichia species
- Staphylococcus species
- Klebsiella species (Higher rates in the Far East)
- Anaerobes (including Bacteroides species)
- Pseudomonas species
- Proteus species
- Entamoeba Histolytica
However, as noted above, many cases are polymicrobial.
Diagnosis
Types
There are several major forms of liver abscess, classified by cause:
- Pyogenic liver abscess, which is most often polymicrobial, accounts for 80% of hepatic abscess cases in the United States.
- Amoebic liver abscess due to Entamoeba histolytica accounts for 10% of cases. The incidence is much higher in developing countries.
- Fungal abscess, most often due to Candida species, accounts for less than 10% of cases.
- Iatrogenic abscess, caused by medical interventions
a) Fluoroscopic view shows contrast in collapsed liver abscess red arrow b) fluoroscopic view shows contrast tracking from the liver abscess red arrow
A large pyogenic liver abscess presumed to be the result of appendicitis
Management
Antibiotics: IV metronidazole and third generation cephalosporin/quinolones, β-lactam antibiotics, and aminoglycosides are effective.
Prognosis
The prognosis has improved for liver abscesses. The mortality rate in-hospital is about 2.5-19%. The elderly, ICU admissions, shock, cancer, fungal infections, cirrhosis, chronic kidney disease, acute respiratory failure, severe disease, or disease of biliary origin have a worse prognosis.[3]
References
- ↑ "Liver Abscess Definition in Medical Conditions Dictionary". medconditions.net. 11 April 2018. Archived from the original on 5 April 2012. Retrieved 11 April 2018.
- ↑ MedlinePlus Encyclopedia: Pyogenic liver abscess
- 1 2 Akhondi H, Sabih DE (2019). "Liver Abscess". StatPearls. StatPearls Publishing. PMID 30855818. Archived from the original on 2021-05-03. Retrieved 2019-07-28.
- ↑ Webb GJ, Chapman TP, Cadman PJ, Gorard DA (January 2014). "Pyogenic liver abscess". Frontline Gastroenterology. 5 (1): 60–67. doi:10.1136/flgastro-2013-100371. PMC 5369710. PMID 28839753.
External links
| Classification | |
|---|---|
| External resources |
- Liver Abscess CT Images Archived 2016-03-04 at the Wayback Machine CTCases Liver Abscess CT Scan.
