List of eponymous fractures

Eponymous fractures
Other names:
From top left to right: Abraham Colles, Albert Hoffa, Percivall Pott, Guillaume Dupuytren, Léon Athanese Gosselin, Jacques Lisfranc, Paul Jules Tillaux, William H. Harris, Paul Segond, Giambattista Monteggia
SpecialtyOrthopedics

Eponymous fractures and fracture-dislocations are most commonly named after the doctor who first described them. They may also be named after an activity with which they are associated.[1][2]

Some of these terms are historic.[2]

FractureNamed afterDescriptionMechanism of injuryReferenceImage
Bankart's fractureArthur BankartFracture of anterior glenoid associated with anterior shoulder dislocationExternal rotation and abduction of shoulder[2][3]
Barton's fractureJohn Rhea Bartondistal radius fracture involving the articular surface with dislocation of the radiocarpal jointfall on outstretched handBarton's fracture at Who Named It?
Bennett's fractureEdward Hallaran Bennettintra-articular fracture of base of Thumb metacarpalaxial load along metacarpal in a partially flexed thumbBennett's fracture at Who Named It?
Bosworth fractureDavid M. Bosworthfracture of distal fibula with posterior dislocation of the proximal fibula behind the tibiasevere external rotation of the foot"Bosworth fracture dislocation". Medcyclopaedia. GE. Archived from the original on 2013-01-29. Retrieved 2023-03-25.
Boxer's fractureBoxersfracture at the neck of the fifth metacarpalpunching solid objectBoxer's fracture Archived 2007-07-15 at the Wayback Machine at Wheeless' Textbook of Orthopaedics online
Bumper fractureCar bumpercompression fracture of lateral tibial plateauforced valgus of knee when struck from side by car bumperBumper fracture Archived 2022-01-21 at the Wayback Machine at TheFreeDictionary.com
Busch fracture
Chance fractureGeorge Quentin Chancehorizontal fracture of vertebral bodyhyperflexion of spine, seen in car accidents when lap belts were usedChance fracture Archived 2018-07-06 at the Wayback Machine at Wheeless' Textbook of Orthopaedics online
Chauffeur's fracture[4]Chauffeursintra-articular fracture of radial styloidforced ulnar deviation of the wrist causing avulsion of the radial styloidChauffeur's fracture Archived 2020-09-18 at the Wayback Machine at Wheeless' Textbook of Orthopaedics online
Chopart's fracture-dislocationFrançois Chopartfoot dislocation through talonavicular and calcaneocuboid joints with associated fractures, usually after ankle twisting.treated in a non weight bearing cast for 6–8 weeksChopart's fracture dislocation at Who Named It?
Clay shoveller's fractureClay shovellersspinous process fracture of C6, C7 or T1forced hyperflexion of neck"Clay shovellers fracture". Medcyclopaedia. GE. Archived from the original on 2011-05-26. Retrieved 2023-03-25.
Colles' fractureAbraham Collesdistal radius fracture with dorsal angulation, impaction and radial driftfall on outstretched handColles' fracture at Who Named It?
Cotton fracture
Duverney fractureJoseph Guichard Duverneyisolated fracture of the iliac wingdirect trauma"Duverney fracture". Medcyclopaedia. GE. Archived from the original on 2012-09-06. Retrieved 2023-03-25.
Essex-Lopresti fracturePeter Essex-Lopresticomminuted radial head fracture with interosseous membrane disruption and distal radioulnar joint subluxationfall from heightEssex Lopresti fracture Archived 2009-10-01 at the Wayback Machine at Wheeless' Textbook of Orthopaedics online
Galeazzi fractureRicardo Galeazziradius shaft fracture with dislocation of distal radioulnar jointblow to forearmGaleazzi fracture Archived 2017-12-01 at the Wayback Machine at eMedicine
Gosselin fractureLeon Athanese GosselinV-shaped distal tibia fracture extending into the tibial plafondGosselin's fracture Archived 2017-09-08 at the Wayback Machine at TheFreeDictionary.com
Hangman's fractureHangmanfracture of both pedicles of C2distraction and extension of neckHangman's fracture Archived 2020-09-18 at the Wayback Machine at Wheeless' Textbook of Orthopaedics online
Hill–Sachs fractureHarold Arthur Hill
Maurice David Sachs
impacted posterior humeral head fracture occurring during anterior shoulder dislocationHill Sachs Lesion Archived 2020-09-20 at the Wayback Machine at Wheeless' Textbook of Orthopaedics online
Hoffa fractureAlbert Hoffa
Holstein–Lewis fractureArthur Holstein
Gwylim Lewis
fracture of the distal third of the humerus resulting in entrapment of the radial nerveHolstein-Lewis fracture Archived 2022-01-29 at the Wayback Machine at Orthopedic Weblinks
Holdsworth fractureSir Frank Wild Holdsworthunstable spinal fracture-dislocation at the thoracolumbar junctionThoracic Spine Fractures and Dislocations Archived 2023-02-03 at the Wayback Machine at eMedicine
Hume fractureA.C. Humeolecranon fracture with anterior dislocation of radial headRonald McRae, Maxx Esser. Practical Fracture Treatment 5th edition, page 187. Elsevier Health Sciences, 2008. ISBN 978-0-443-06876-8.
Jefferson fractureSir Geoffrey Jeffersonfracture of first cervical vertebracompression of neckJefferson fracture at Who Named It?
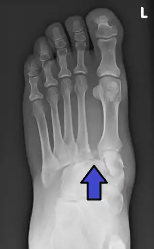
Jones fractureSir Robert Jonesfracture of base of 5th metatarsal extending into intermetatarsal jointinversion of ankleJones fracture Archived 2006-07-02 at the Wayback Machine at Wheeless' Textbook of Orthopaedics online
Le Fort fracturesRené Le Fortseries of facial fracturesdirect trauma to faceLeFort I at Who Named It?
LeFort II at Who Named It?
LeFort III at Who Named It?
Le Fort's fracture of the ankleLéon Clément Le Fortvertical fracture of distal fibula with avulsion of medial malleolusLeFort's fracture of the ankle at Who Named It?
Lisfranc fractureJacques Lisfranc de St. Martinfracture dislocation of midfootforced plantar flexion of foot or dropping heavy weight on footLisfranc fracture at Who Named It?
Maisonneuve fractureJules Germain François Maisonneuvespiral fracture of proximal fibulaexternal rotation of ankleMaisonneuve fracture Archived 2020-09-22 at the Wayback Machine at Wheeless' Textbook of Orthopaedics online
Malgaigne's fractureJoseph-François Malgaignevertical pelvic fracture through both pubic rami and the ilium or sacroiliac joint with vertical displacementhigh energy impact to pelvis (front to back)Malgaigne's fracture Archived 2017-11-02 at the Wayback Machine at TheFreeDictionary.com
March fractureMarchingstress fracture of a metatarsal shaftheavy or unaccustomed exerciseMetatarsal Stress Fracture Archived 2022-12-08 at the Wayback Machine at eMedicine
Monteggia fractureGiovanni Battista Monteggiaproximal ulna fracture with dislocation of radial headblow to forearmMonteggia fracture at Who Named It?
Moore's fractureEdward Mott Mooredistal radius fracture with ulnar dislocation and entrapment of styloid process under annular ligamentMoore's fracture Archived 2016-03-03 at the Wayback Machine at TheFreeDictionary.com
Pipkin fracture-dislocationG. Pipkinposterior dislocation of hip with avulsion fracture of fragment of femoral head by the ligamentum teresimpact to the knee with the hip flexed (dashboard injury)Type II-V: Posterior Fracture Dislocations Archived 2020-09-18 at the Wayback Machine at Wheeless' Textbook of Orthopaedics online
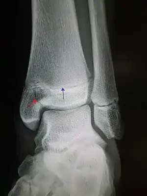
Pott's fracture[5]Percival Pottbimalleolar fracture of the ankleeversion of anklePott's fracture at Who Named It?
Rolando fractureSilvio Rolandointra articular comminuted fracture of base of first metacarpalaxial load along the metacarpal causing splitting of the proximal articular surfaceRolando's fracture Archived 2020-09-18 at the Wayback Machine at Wheeless' Textbook of Orthopaedics online
Runner's fractureRunningstress fracture of distal fibula 3–8 cm above the lateral malleolusrepeated axial stress on fibulaGoogle books result Archived 2023-07-01 at the Wayback Machine Marko Pećina, Ivan Bojanić. Overuse injuries of the Musculoskeletal System, page 331. Informa Health Care, 2004. ISBN 978-0-8493-1428-5.
Salter–Harris fractureR.B. Salter, W.R. Harris[6]fractures involving a growth platevariousSalter–Harris fractures Archived 2019-03-29 at the Wayback Machine at Medscape
Segond fracturePaul Segondlateral tibial plateau avulsion fracture with anterior cruciate ligament tearSegond fracture at Who Named It?
Shepherd's fractureFrancis J. Shepherdfracture of the lateral tubercle of the posterior process of the talusShepherd's fracture Archived 2016-03-03 at the Wayback Machine at Mondofacto online medical dictionary
Smith's fractureRobert William Smithdistal radius fracture with volar displacementfall on outstretched hand with wrist in flexed positionSmith's fracture at Who Named It?
Stieda fractureAlfred Stiedaavulsion fracture of the medial femoral condyle at the origin of the medial collateral ligamentStieda's fracture Archived 2022-05-17 at the Wayback Machine at TheFreeDictionary.com
Tillaux fracturePaul Jules TillauxSalter–Harris III fracture of the tibiaforced lateral rotation of footTillaux fracture at Who Named It?
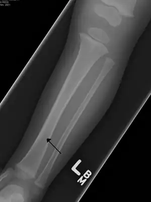
Toddler's fractureToddlersundisplaced spiral fracture of distal tibia in children under 8 years oldlow-energy trauma, often rotationalThe toddler's fracture revisited Archived 2016-03-03 at the Wayback Machine at Wheeless' Textbook of Orthopaedics online
Wagstaffe–Le Fort avulsion fractureLéon Clément Le Fort

Notes

  1. Martel, José; Bueno, Angel (2008). "Appendix A. Fractures with names". In Pope, Thomas; Bloem, Hans L.; Beltran, Javier; Morrison, William B.; John, David (eds.). Musculoskeletal Imaging (2nd ed.). Philadelphia: Elsevier. pp. 1232–1231. ISBN 978-1-4557-0813-0. Archived from the original on 2023-07-01. Retrieved 2023-06-04.
  2. 1 2 3 Hunter, Tim B.; Peltier, Leonard F.; Lund, Pamela J. (1 May 2000). "Radiologic History Exhibit". RadioGraphics. pp. 819–836. doi:10.1148/radiographics.20.3.g00ma20819. Archived from the original on 16 September 2022. Retrieved 16 September 2022.
  3. Major, Nancy M.; Anderson, Mark W. (2020). "10. Shoulder". Musculoskeletal MRI. Philadelphia: Elsevier. pp. 218–219. ISBN 978-0-323-415606. Archived from the original on 2023-07-01. Retrieved 2023-03-25.
  4. also known as Hutchinson's fracture
  5. also known as Dupuytren's fracture
  6. Injuries involving the epiphyseal plate. RB Salter, WR Harris. JBJS (1963) 45: 587–632.
This article is issued from Wmcloud. The text is licensed under Creative Commons - Attribution - Sharealike. Additional terms may apply for the media files.