Leukoencephalopathy

Leukoencephalopathy
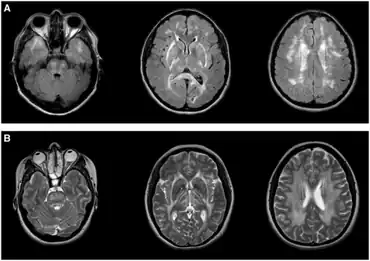
Leukoencephalopathies in adults-a) Typical imaging appearance of CADASIL b) CARASAL
FrequencyLua error in Module:PrevalenceData at line 5: attempt to index field 'wikibase' (a nil value).

Leukoencephalopathy (leukodystrophy-like diseases) is a term that describes all of the brain white matter diseases, whether their molecular cause is known or unknown.[1] It can refer specifically to any of these diseases:

The classification of leukoencephalopathies is a matter of debate. Some authors divide leukoencephalopathies into hereditary disorders and acquired disorders. The hereditary demyelinating disorders are then classified according to the localization of the underlying metabolic defect, and they include the leukodystrophies when myelin growth is the underlying problem.

The acquired demyelinating diseases are classified according to their underlying causes into five groups: noninfectious–inflammatory, infectious–inflammatory, toxic–metabolic, hypoxic–ischemic (vascular problems like Binswanger's disease), and traumatic.[2]

This classification is diffuse sometimes. For example CADASIL syndrome is at the same time hereditary and hypoxic.

References

  1. Lyon, G.; Fattal-Valevski, A.; Kolodny, E. H. (2006). "Leukodystrophies". Topics in Magnetic Resonance Imaging. 17 (4): 219–242. doi:10.1097/RMR.0b013e31804c99d4. PMID 17414998.
  2. Marjo S. van der Knaap and Jaap Valk, eds. New York: Springer; 2005, Magnetic Resonance of Myelination and Myelin Disorders, 3rd ed.
This article is issued from Wmcloud. The text is licensed under Creative Commons - Attribution - Sharealike. Additional terms may apply for the media files.