Hydropneumothorax
| Hydropneumothorax | |
|---|---|
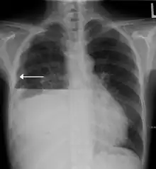
![]() | |
| A hydropneumothorax with a white arrow pointing to the lung's pleura | |
| Specialty | Emergency medicine |
Hydropneumothorax is defined as the presence of both air and fluid within the pleural space.[1] An upright chest x-ray will show air fluid levels. The horizontal fluid level is usually well defined and extends across the whole length of one of the hemithorax.
Signs and symptoms
This can be remembered by the 4 'S': straight line dullness, shifting dullness, splash, sound of coin.
Causes
- Iatrogenic: Introduction of air during pleural fluid aspiration in effusion
- Presence of a gas-forming organism
- Thoracic trauma
Diagnosis
Diagnosis can be via CXR. CT is better to outline borders of air fluid levels, however, CT has a greater radiation exposure.
Treatment
Treatment includes ICD (intercostal drainage) of fluid and air and treatment of underlying conditions.
References
- ↑ Clarke, Christopher; Dux, Anthony (2017). Chest X-rays for Medical Students. John Wiley & Sons. p. 82. ISBN 9781119426721. Retrieved 6 November 2017.
External links
This article is issued from Wmcloud. The text is licensed under Creative Commons - Attribution - Sharealike. Additional terms may apply for the media files.
