Histiocytoma
| Histiocytoma | |
|---|---|
| Specialty | Oncology |
A histiocytoma is a tumour consisting of histiocytes.[1] Histiocytes are cells that are a part of the mononuclear phagocytic system, a part of the body's immune system that consists of phagocytic cells, which are responsible for engulfing solid particles by the cell membrane to form an internal phagosome by phagocytes and protists.
Types include:
- myxofibrosarcoma
- benign fibrous histiocytoma
- malignant fibrous histiocytoma
- histiocytoma (dog)
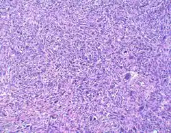
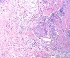
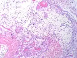
Myxofibrosarcoma-pathology
Myxofibrosarcoma-pathology
Myxofibrosarcoma-pathology
Myxofibrosarcoma-pathology
Myxofibrosarcoma-pathology
Myxofibrosarcoma-pathology
Myxofibrosarcoma-pathology
Myxofibrosarcoma-pathology
References
External links
| Classification |
|
|---|
This article is issued from Wmcloud. The text is licensed under Creative Commons - Attribution - Sharealike. Additional terms may apply for the media files.