Farmyard pox
| Farmyard pox | |
|---|---|
![]() | |
| Specialty | Infectious disease |
| Types | Bovine papular stomatitis, orf, milker's nodule[1] |
| Causes | Parapoxviruses |
Farmyard pox is a group of closely related Parapoxviruses of sheep and cattle that can cause bovine papular stomatitis, orf and milker's nodule in humans.[1]
Types
Types include bovine papular stomatitis, orf and milker's nodule.[1]
Orf
Pseudocowpox
Diagnosis
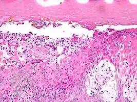
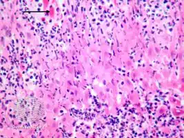
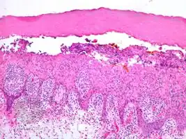
Infected keratocytes in skin swell and die.[2] The stain Lendrum’s phloxine tartazine, may be used to identify farmyard pox inclusion bodies.[2] Other tests include culture, fluorescent antibody test and electron microscopy.[2]
Diferential diagnosis
Cowpox, horsepox and smallpox may look similar and the histology may appear the same.[2]
See also
References
- 1 2 3 James, William D.; Elston, Dirk; Treat, James R.; Rosenbach, Misha A.; Neuhaus, Isaac (2020). "19. Viral diseases". Andrews' Diseases of the Skin: Clinical Dermatology (13th ed.). Edinburgh: Elsevier. p. 389. ISBN 978-0-323-54753-6. Archived from the original on 2022-05-11. Retrieved 2022-05-11.
- 1 2 3 4 Emanuel, Patrick. "Farmyard pox pathology". dermnetnz.org. Archived from the original on 12 August 2021. Retrieved 13 May 2022.
This article is issued from Wmcloud. The text is licensed under Creative Commons - Attribution - Sharealike. Additional terms may apply for the media files.

.jpg.webp)
.jpg.webp)
.jpg.webp)