Extraskeletal chondroma
| Extraskeletal chondroma | |
|---|---|
| Other names: Chondroma of soft parts | |
![]() | |
| Chondroma of the soft parts located in the little toe. | |
| Specialty | Dermatology |
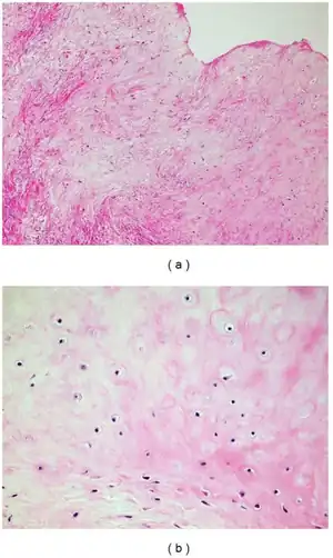
Extraskeletal chondroma is a cutaneous condition, a rare benign tumor of mature cartilage.[1]

a)Tumor consists of hyaline cartilage b) hyaline cartilaginous tissue contains homogeneous chondrocytes
See also
References
- ↑ Rapini, Ronald P.; Bolognia, Jean L.; Jorizzo, Joseph L. (2007). Dermatology: 2-Volume Set. St. Louis: Mosby. ISBN 978-1-4160-2999-1.
This article is issued from Wmcloud. The text is licensed under Creative Commons - Attribution - Sharealike. Additional terms may apply for the media files.
