Cutaneous ciliated cyst
| Cutaneous ciliated cyst | |
|---|---|
| Specialty | Dermatology |
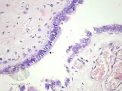
Cutaneous ciliated cysts are a cutaneous condition characterized by solitary cysts located on the legs of females.[1]: 682
pathology-Cutaneous ciliated cyst
pathology-Cutaneous ciliated cyst
pathology-Cutaneous ciliated cyst
pathology-Cutaneous ciliated cyst
See also
References
- ↑ James, William D.; Berger, Timothy G.; et al. (2006). Andrews' Diseases of the Skin: Clinical Dermatology. Saunders Elsevier. ISBN 0-7216-2921-0.
Template:Epidermal-growth-stub
This article is issued from Wmcloud. The text is licensed under Creative Commons - Attribution - Sharealike. Additional terms may apply for the media files.