Clostridioides difficile

Clostridioides difficile
C. difficile colonies on a blood agar plate
Electron micrograph of the bacterium
Scientific classification edit
Domain: Bacteria
Phylum: Bacillota
Class: Clostridia
Order: Eubacteriales
Family: Peptostreptococcaceae
Genus: Clostridioides
Species:
C. difficile
Binomial name
Clostridioides difficile
(Hall & O'Toole, 1935) Lawson & Rainey, 2016
Synonyms
  • Bacillus difficilis Hall & O'Toole, 1935[1]
  • Clostridium difficile (Hall & O'Toole, 1935) Prévot, 1938[2]
  • Peptoclostridium difficile [3]

Clostridioides difficile (syn. Clostridium difficile) is a bacterium that is well known for causing serious diarrheal infections, and may also cause colon cancer.[4][5] Also known as C. difficile, or C. diff (/s dɪf/), is Gram-positive species of spore-forming bacteria.[6][7] Clostridioides spp. are anaerobic, motile bacteria, ubiquitous in nature and especially prevalent in soil. Its vegetative cells are rod-shaped, pleomorphic, and occur in pairs or short chains. Under the microscope, they appear as long, irregular (often drumstick- or spindle-shaped) cells with a bulge at their terminal ends (forms subterminal spores). Under Gram staining, C. difficile cells are Gram-positive and show optimum growth on blood agar at human body temperatures in the absence of oxygen. C. difficile is catalase- and superoxide dismutase-negative, and produces up to three types of toxins: enterotoxin A, cytotoxin B and Clostridioides difficile transferase (CDT).[8] Under stress conditions, the bacteria produce spores that are able to tolerate extreme conditions that the active bacteria cannot tolerate.[9]

Clostridioides difficile is an important emerging human pathogen; according to the CDC, in 2017 there were 223,900 cases in hospitalized patients and 12,800 deaths in the United States.[10] Although C. difficile is commonly known as a hospital and antibiotic associated pathogen, at most one third of infections can be traced to transmission from an infected person in hospitals,[11] and only a small number of antibiotics are directly associated with an elevated risk of developing a C. difficile infection (CDI), namely clindamycin, fluoroquinolones and cephalosporins.[12][13] The majority of infections are acquired outside of hospitals, and most antibiotics have similar elevated risk of infection on par with many non-antibiotic risk factors, such as using stool softeners and receiving an enema.[14]

Clostridioides difficile can also become established in the human colon without causing disease.[15] Although early estimates indicated that C. difficile was present in 2–5% of the adult population,[9] more recent research indicates colonization is closely associated with a history of unrelated diarrheal illnesses, such as food poisoning or laxative abuse.[16] Individuals with no history of gastrointestinal disturbances appear unlikely to become asymptomatic carriers. These carriers are thought to be a major reservoir of infection.[17]

Genome

Complete genome sequence of the Clostridium difficile (LCL126)[18]/In Clostridium difficile LCL126 exist virulence-related gene including 22 increased virulence genes

The first complete genome sequence of a C. difficile strain was published in 2005 by Sanger Institute in the UK. This was of the strain 630, a virulent and multiple drug-resistant strain isolated in Switzerland in 1982. Scientists at Sanger Institute have sequenced genomes of about 30 C. difficile isolates using next-generation sequencing technologies from 454 Life Sciences and Illumina.[19]

Researchers at McGill University in Montreal sequenced the genome of the highly virulent Quebec strain of C. difficile in 2005 using ultra-high throughput sequencing technology. The tests involved doing 400,000 DNA parallel-sequencing reactions of the bacterium's genome, which had been fragmented for sequencing. These sequences were assembled computationally to form a complete genome sequence.[20][21]

In 2012, scientists at University of Oxford sequenced C. difficile genomes from 486 cases arising over four years in Oxfordshire using next-generation sequencing technologies from Illumina.[22]

Epigenome

Clostridioides difficile has a highly diverse epigenome, with 17 high-quality methylation motifs reported so far, the majority pertaining to the 6mA type. Methylation at one of these motifs - CAAAAA, was shown to impact sporulation, a key step in C. difficile disease transmission, as well as cell length, biofilm formation, and host colonization.[23]

Taxonomy

The species was transferred from the genus Clostridium to Clostridioides in 2016, thus giving it the binomial Clostridioides difficile.[24][25][26] This new name reflects the taxonomic differences between this species and members of the genus Clostridium, while maintaining the common name as C. diff.[27] As of 2018, the only other species in this new genus is Clostridioides mangenotii (formerly known as Clostridium mangenotii).[28]

Human pathogen

Structure of C. difficile glucosyl transferase Toxin B showing UDP and glusose (from PDB entry 2BVM).[29]

Pathogenic C. difficile strains produce multiple toxins.[30] The best-characterized are enterotoxin (C. difficile toxin A) and cytotoxin (C. difficile toxin B), both of which may produce diarrhea and inflammation in infected patients (C. difficile colitis), although their relative contributions have been debated. The diarrhea may range from a few days of intestinal fluid loss to life-threatening pseudomembranous colitis, which is associated with intense inflammation of the colon and formation of pseudomembranes on the intestinal mucosal surface.[9] Toxins A and B are glucosyltransferases that target and inactivate the Rho family of GTPases. Toxin B (cytotoxin) induces actin depolymerization by a mechanism correlated with a decrease in the ADP-ribosylation of the low molecular mass GTP-binding Rho proteins.[31] There is also a binary toxin (AB toxin), but its role in disease is not fully understood.[32]

Additional virulence factors include an adhesion factor that mediates the binding to human colonic cells and a hyaluronidase.[33] The bacterium also produces the chemical para-cresol, which inhibits the growth of other microbes in its vicinity and allows it to outcompete normal human gut flora.[34]

Antibiotic treatment of C. diff infections may be difficult, due both to antibiotic resistance and physiological factors of the bacterium (spore formation, protective effects of the pseudomembrane).[9] The emergence of a new, highly toxic strain of C. difficile, resistant to fluoroquinolone antibiotics, such as ciprofloxacin and levofloxacin, said to be causing geographically dispersed outbreaks in North America, was reported in 2005.[20] The U.S. Centers for Disease Control in Atlanta warned of the emergence of an epidemic strain with increased virulence, antibiotic resistance, or both.[35] Resistance to other antibiotics such as metronidazole, the first choice of antimicrobial drug when treating CDI, has been observed in up to 12% of clinical isolates, so as treatment with various antibiotics continues, more diverse and stronger resistances will continue to evolve in C. difficile populations, further complicating attempts at effective treatment.[36]

Strains

In 2005, molecular analysis led to the identification of the C. difficile strain type characterized as group BI by restriction endonuclease analysis, as North American pulse-field-type NAP1 by pulsed-field gel electrophoresis and as ribotype 027; the differing terminology reflects the predominant techniques used for epidemiological typing. This strain is referred to as C. difficile BI/NAP1/027.[37]

As of 2016, the NAP1 strain has been replaced by novel strains in some areas of British Columbia. These novel strains include NAP2 and NAP4, and some strains that do not have a NAP designation. The frequency of these novel strains increased from 2008 to 2013 in one studied region, displacing the originally more common and recognizable NAP1 bacteria.[38]

Two strains, ribotypes RT078 and RT027, can live on low concentrations of the sugar trehalose; both strains became more common after trehalose was introduced as a food additive in the early 2000s, thus increasing dietary trehalose intake.[39]

Bacteriophage

At least eight mainly temperate bacteriophages have been isolated from C. difficile, ranging in genome size from about 30 to about 60 kbp.[40] Both environmentally and clinically derived C. difficile strains carry a diverse and prevalent set of prophages.[40]

Transmission

Fecal-oral route of spread

Clostridioides difficile is transmitted from person or animal to person by the fecal-oral route, shed in faeces. The organism forms heat-resistant spores that are not killed by alcohol-based hand cleansers or routine surface cleaning, thus, these spores survive in clinical environments for long periods. Any surface, device, or material (e.g., toilets, bathing tubs, and electronic rectal thermometers) that becomes contaminated with faeces may serve as a reservoir for the C. difficile spores, and C. difficile spores can live for long periods of time on surfaces.[41] Because of this, the bacterium may be cultured from almost any surface. Once spores are ingested, their acid resistance allows them to pass through the stomach unscathed. They germinate and multiply into vegetative cells in the colon upon exposure to bile acids. Consequently, the World Health Organization advocates the use of soap in addition to alcohol solutions to limit the spread of the spores.[42] Sporulation was shown to be significantly reduced after inactivation of C. diffiicile's DNA methyltransferase CamA, raising the prospect of developing a drug that may inhibit this bacterium in a specific manner.[23]

Susceptibility to colonization appears to be triggered by diarrheal illnesses, such as food poisoning or laxative abuse; people without a history of diarrheal illnesses who are exposed to C. difficile spores will not necessarily become carriers.[16] Once people are colonized by C. difficile, they remain carriers for year-long time scales, but the day-to-day abundance of C. difficile fluctuates considerably - fluctuating from being below the limit of detection to high levels of shedding from one day to the next. GI disturbances in carriers appear to trigger periods of increased shedding which may be an important factor for transmission.[16]

Host range

Clostridioides difficile infects pigs, calves, and humans, and inhabits a natural reservoir of soil, faeces of domestic animals and humans, sewage, the human intestinal tract, and retail meat.[43]

A 2015 CDC study estimated that C. diff afflicted almost half a million Americans and caused 29,000 deaths in 2011. The study estimated that 40% of cases began in nursing homes or community health-care settings, while 24% occurred in hospitals.[44]

Clostridioides difficile is common in the human digestive system. However, it is a poor competitor, and is often outcompeted for nutrients by other bacteria in the digestive system. As a result, C. difficile is kept to a manageable number. If the sudden introduction of antibiotic disrupts the microbiome, C. difficile may be able to grow as a result of many of its competitors being killed off. The incubation period is 5–10 days, with a range of 1 day to weeks following antibiotic treatment for antibiotic associated diarrhea. Additionally, carriage of C. difficile with high levels of toxins is common in young children, while disease is rare. The production of one or even both toxins is not always sufficient for producing symptoms.[45]

Infection

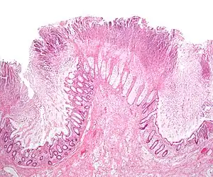
Low magnification micrograph of colonic pseudomembranes in Clostridium difficile colitis

Signs and symptoms

Symptoms of C. difficile infection include: diarrhea (at least three loose bowel movements a day), dehydration, abdominal pain that can be severe, loss of appetite, and nausea.[46]

Mechanism

The C. difficile secreted toxins A (TcdA) and B (TcdB), contain immunogenic antigens that are recognised by antibodies and T cells. However, the levels of anti-TcdA and -TcdB IgG antibodies have not been able to discriminate healthy individuals from patients with C. difficile infection, meaning they have limited clinical use.[47][48]

Recent work has shown these toxins are also recognised by helper CD4+ T cells, predominantly by the Th17 helper cells, which are important in maintaining a healthy gut environment, although in patients with severe infection these cells are impaired.[49]

Interestingly, individuals with severe C. difficile infection had significantly more toxin-specific T cells compared to those with mild infection, indicating T cells are playing a key role in fighting this infection. This is further evidenced by the recovery of the toxin-specific Th17 cells following Fecal microbiota transplant of patients with severe disease.[50]

Diagnosis

C. difficile toxins have a cytopathic effect in cell culture, and neutralization of any effect observed with specific antisera is the practical gold standard for studies investigating new CDI diagnostic techniques.[9] Toxigenic culture, in which organisms are cultured on selective media and tested for toxin production, remains the gold standard and is the most sensitive and specific test, although it is slow and labor-intensive.[51]

Treatment

C. difficile infection and recurrence cycle[52]

Patients being treated with antibiotics when symptoms begin should stop taking them, if possible. This break in antibiotic therapy can sometimes lead to spontaneous resolution of symptoms. Patients who do not respond to the cessation of broad-spectrum antibiotics will need to be treated with antibiotics capable of killing C. difficile spores. Primary infections are typically treated with vancomycin, with a usual dosage of 125 mg every 6 hours.[53] The vancomycin regimen has replaced the traditional use of metronidazole due to its greater efficacy, safety profile, and lower recurrence rates. In patients who cannot tolerate vancomycin, fidaxomicin is an acceptable option with similar efficacy and even lower recurrence rates than vancomycin.[54] In cases of fulminant CDI, adjuvant therapy with parenteral metronidazole plus oral vancomycin or fidaxomicin is suggested.[55]

Patients who do not respond to traditional antibiotic therapy may be eligible for a fecal microbiota transplant (FMT). Healthcare providers can transfer stool from a healthy person to the colon of a patient with repeated CDI. This process is the most successful treatment for severe CDI with a cure rate around 93%. Recurrence rates of CDI in patients treated with a FMT are generally low, around 19%, which makes it very effective at treating chronic CDI cases. However, in some cases, flares of inflammatory bowel disease are a possible side effect of the treatment.[56] Long-term effects of FMT are unknown, as the procedure has only been FDA-approved since 2011 and relatively few procedures have been performed. If transplantation is not an option, removal of the infected part of the colon can cure CDI.[57][46]

Prognosis

About 20% of patients who successfully complete therapy of primary infection with metronidazole or vancomycin will experience a relapse. A fraction of those patients will experience continuous reoccurrences of the infection. The first relapse of C. difficile is usually treated with the same antibiotic used to treat the primary infection. Any subsequent infections should not be treated with metronidazole. Occasionally, a standard 10-day course of oral vancomycin will not work. In these cases, a vancomycin taper is the preferred treatment. Patients take decreasing doses of vancomycin over a period of up to 3 months, depending on the severity of the infection.[46]

Each subsequent relapse of C. difficile tends to be more severe than previous infections. Long-term treatment with a vancomycin taper supplemented with probiotics, especially Saccharomyces boulardii, is associated with a higher rate of success.[58]After three relapses, individuals may be treated with oral fidaxomicin, a narrow-spectrum antibiotic. The usual dosage is 200 mg twice a day orally for 10 days. Fidaxomicin is considered to be superior to vancomycin for severe CDI,[57][59] the major downside of treatment with fidaxomicin is the cost of medication as a 10-day course may cost up to US$3500.

Etymology

The genus name is from the Greek klōstēr (κλωστήρ), "spindle" and the specific name is from Latin difficile, "difficult, obstinate", chosen in reference to fastidiousness upon culturing.Regarding the pronunciation of the current and former genus assignments, Clostridioides is /klɒˌstrɪdiˈɔɪdis/ and Clostridium is /klɒˈstrɪdiəm/. Both genera still have species assigned to them, but this species is now classified in the former; via the norms of binomial nomenclature, it is understood that the former binomial name of this species is now an alias.[60][61][62]

Regarding the specific name, /dɪˈfɪsɪli/[63] is the traditional norm, reflecting how medical English usually pronounces naturalized New Latin words , although a restored pronunciation of /dɪˈfɪkɪl/ is also sometimes used . The specific name is also commonly pronounced /ˌdfiˈsl/, as though it were French, which from a prescriptive viewpoint is a "mispronunciation"[63] but from a linguistically descriptive viewpoint cannot be described as erroneous because it is so widely used among health care professionals.

References

  1. Hall, Ivan C.; O'Toole, Elizabeth (1935). "Intestinal flora in new-born infants: with a description of a new pathogenic anaerobe, Bacillus difficilis". American Journal of Diseases of Children. 49 (2): 390–402. doi:10.1001/archpedi.1935.01970020105010.
  2. Prévot, A.-R. (1938). "Études de systématique bactérienne. IV. Critique de la conception actuelle du genre Clostridium". Annales de l'Institut Pasteur. 61 (1): 84. Archived from the original on 2020-07-28. Retrieved 2023-04-27.
  3. Page Species: Clostridioides difficile on "LPSN - List of Prokaryotic names with Standing in Nomenclature". Deutsche Sammlung von Mikroorganismen und Zellkulturen. Archived from the original on 2022-11-08. Retrieved 2022-11-08.
  4. Drewes, Julia L.; et al. (5 August 2022). "Human Colon Cancer-Derived Clostridioides difficile Strains Drive Colonic Tumorigenesis in Mice". Cancer Discovery. 12 (8): 1873–1885. doi:10.1158/2159-8290.CD-21-1273. PMC 9357196. PMID 35678528.
  5. "Johns Hopkins Doctors Discover That a Common Infection May Cause Cancer". 24 August 2022. Archived from the original on 26 May 2023. Retrieved 27 April 2023.
  6. "Most cases of C. diff occur while taking antibiotics or soon after". Centers for Disease Control and Prevention. 2 August 2022. Archived from the original on 11 May 2023. Retrieved 15 July 2023.
  7. Moreno MA, Furtner F, Rivara FP (June 2013). "Clostridium difficile: A Cause of Diarrhea in Children". JAMA Pediatrics. 167 (6): 592. doi:10.1001/jamapediatrics.2013.2551. PMID 23733223.
  8. Kordus, Shannon L.; Thomas, Audrey K.; Lacy, D. Borden (2021-11-26). "Clostridioides difficile toxins: mechanisms of action and antitoxin therapeutics". Nature Reviews Microbiology. 20 (5): 285–298. doi:10.1038/s41579-021-00660-2. ISSN 1740-1534. PMC 9018519. PMID 34837014.
  9. 1 2 3 4 5 Ryan KJ, Ray CG, eds. (2004). Sherris Medical Microbiology (4th ed.). McGraw Hill. pp. 322–4. ISBN 978-0-8385-8529-0.
  10. "Clostridioides difficile Infection | HAI | CDC". www.cdc.gov. 2020-01-02. Archived from the original on 2020-03-08. Retrieved 2020-03-10.
  11. Eyre, David W.; Cule, Madeleine L.; Wilson, Daniel J.; Griffiths, David; Vaughan, Alison; O'Connor, Lily; Ip, Camilla L.C.; Golubchik, Tanya; Batty, Elizabeth M.; Finney, John M.; Wyllie, David H. (2013-09-26). "Diverse Sources of C. difficile Infection Identified on Whole-Genome Sequencing". New England Journal of Medicine. 369 (13): 1195–1205. doi:10.1056/NEJMoa1216064. ISSN 0028-4793. PMC 3868928. PMID 24066741.
  12. Guh, Alice Y.; Adkins, Susan Hocevar; Li, Qunna; Bulens, Sandra N.; Farley, Monica M.; Smith, Zirka; Holzbauer, Stacy M.; Whitten, Tory; Phipps, Erin C.; Hancock, Emily B.; Dumyati, Ghinwa (2017-10-01). "Risk Factors for Community-Associated Clostridium difficile Infection in Adults: A Case-Control Study". Open Forum Infectious Diseases. 4 (4): ofx171. doi:10.1093/ofid/ofx171. PMC 5903408. PMID 29732377.
  13. Brown, Kevin A.; Khanafer, Nagham; Daneman, Nick; Fisman, David N. (2013). "Meta-Analysis of Antibiotics and the Risk of Community-Associated Clostridium difficile Infection". Antimicrobial Agents and Chemotherapy. 57 (5): 2326–2332. doi:10.1128/AAC.02176-12. ISSN 0066-4804. PMC 3632900. PMID 23478961.
  14. McFarland, Lynne V.; Surawicz, Christina M.; Stamm, Walter E. (1990-09-01). "Risk Factors for Clostridium difficile Carriage and C. difficile-Associated Diarrhea in a Cohort of Hospitalized Patients". The Journal of Infectious Diseases. 162 (3): 678–684. doi:10.1093/infdis/162.3.678. ISSN 0022-1899. PMID 2387993. Archived from the original on 2023-01-23. Retrieved 2023-04-27.
  15. McFarland, Lynne V.; Mulligan, Maury E.; Kwok, Richard Y.Y.; Stamm, Walter E. (1989-01-26). "Nosocomial Acquisition of Clostridium difficile Infection". New England Journal of Medicine. 320 (4): 204–210. doi:10.1056/NEJM198901263200402. ISSN 0028-4793. PMID 2911306.
  16. 1 2 3 VanInsberghe, David; Elsherbini, Joseph A.; Varian, Bernard; Poutahidis, Theofilos; Erdman, Susan; Polz, Martin F. (2020-02-10). "Diarrhoeal events can trigger long-term Clostridium difficile colonization with recurrent blooms". Nature Microbiology. 5 (4): 642–650. doi:10.1038/s41564-020-0668-2. ISSN 2058-5276. PMID 32042128. S2CID 211074075. Archived from the original on 2023-01-31. Retrieved 2023-04-27.
  17. Eyre, David W.; Griffiths, David; Vaughan, Alison; Golubchik, Tanya; Acharya, Milind; O’Connor, Lily; Crook, Derrick W.; Walker, A. Sarah; Peto, Tim E. A. (2013-11-12). Chang, Yung-Fu (ed.). "Asymptomatic Clostridium difficile Colonisation and Onward Transmission". PLOS ONE. 8 (11): e78445. Bibcode:2013PLoSO...878445E. doi:10.1371/journal.pone.0078445. ISSN 1932-6203. PMC 3827041. PMID 24265690.
  18. Wang, Jianfeng; Yang, Chu; Zhang, Chao; Mao, Xiaoyan; Lizhe, An (December 2021). "Complete genome sequence of the Clostridium difficile LCL126". Bioengineered. 12 (1): 745–754. doi:10.1080/21655979.2021.1894798. ISSN 2165-5987. PMC 8806205. PMID 33896381.
  19. He M, Sebaihia M, Lawley TD, Stabler RA, Dawson LF, Martin MJ, Holt KE, Seth-Smith HM, Quail MA, Rance R, Brooks K, Churcher C, Harris D, Bentley SD, Burrows C, Clark L, Corton C, Murray V, Rose G, Thurston S, van Tonder A, Walker D, Wren BW, Dougan G, Parkhill J (April 2010). "Evolutionary dynamics of Clostridium difficile over short and long time scales". Proceedings of the National Academy of Sciences of the United States of America. 107 (16): 7527–32. Bibcode:2010PNAS..107.7527H. doi:10.1073/pnas.0914322107. PMC 2867753. PMID 20368420.
  20. 1 2 Loo VG, Poirier L, Miller MA, Oughton M, Libman MD, Michaud S, Bourgault AM, Nguyen T, Frenette C, Kelly M, Vibien A, Brassard P, Fenn S, Dewar K, Hudson TJ, Horn R, René P, Monczak Y, Dascal A (December 2005). "A predominantly clonal multi-institutional outbreak of Clostridium difficile-associated diarrhea with high morbidity and mortality". The New England Journal of Medicine. 353 (23): 2442–9. doi:10.1056/NEJMoa051639. PMID 16322602. S2CID 14818750.
  21. Scientists map C. difficile strain Archived 2022-05-22 at the Wayback Machine – Institute of Public Affairs, Montreal
  22. Didelot X, Eyre DW, Cule M, Ip CL, Ansari MA, Griffiths D, Vaughan A, O'Connor L, Golubchik T, Batty EM, Piazza P, Wilson DJ, Bowden R, Donnelly PJ, Dingle KE, Wilcox M, Walker AS, Crook DW, A Peto TE, Harding RM (December 2012). "Microevolutionary analysis of Clostridium difficile genomes to investigate transmission" (PDF). Genome Biology. 13 (12): R118. doi:10.1186/gb-2012-13-12-r118. PMC 4056369. PMID 23259504. Archived from the original (PDF) on 2013-09-21. Retrieved 2014-08-30.
  23. 1 2 Oliveira, Pedro H.; Ribis, John W.; Garrett, Elizabeth M.; Trzilova, Dominika; Kim, Alex; Sekulovic, Ognjen; Mead, Edward A.; Pak, Theodore; Zhu, Shijia; Deikus, Gintaras; Touchon, Marie (2020). "Epigenomic characterization of Clostridioides difficile finds a conserved DNA methyltransferase that mediates sporulation and pathogenesis". Nature Microbiology. 5 (1): 166–180. doi:10.1038/s41564-019-0613-4. ISSN 2058-5276. PMC 6925328. PMID 31768029.
  24. Oren, Aharon; Garrity, George M. (2017). "List of new names and new combinations previously effectively, but not validly, published". International Journal of Systematic and Evolutionary Microbiology. 67 (9): 3140–3143. doi:10.1099/ijsem.0.002278. PMC 5817221. PMID 28891789.
  25. Lawson, Paul A.; Citron, Diane M.; Tyrrell, Kerin L.; Finegold, Sydney M. (August 2016). "Reclassification of Clostridium difficile as Clostridioides difficile (Hall and O'Toole 1935) Prévot 1938". Anaerobe. 40: 95–99. doi:10.1016/j.anaerobe.2016.06.008. ISSN 1095-8274. PMID 27370902.
  26. Zhu, Duolong; Sorg, Joseph A.; Sun, Xingmin (2018). "Clostridioides difficile Biology: Sporulation, Germination, and Corresponding Therapies for C. difficile Infection". Frontiers in Cellular and Infection Microbiology. 8: 29. doi:10.3389/fcimb.2018.00029. ISSN 2235-2988. PMC 5809512. PMID 29473021.
  27. Lawson, Paul A.; Citron, Diane M.; Tyrrell, Kerin L.; Finegold, Sydney M. (August 2016). "Reclassification of Clostridium difficile as Clostridioides difficile (Hall and O'Toole 1935) Prévot 1938". Anaerobe. 40: 95–99. doi:10.1016/j.anaerobe.2016.06.008. ISSN 1075-9964. PMID 27370902.
  28. Galperin, Michael Y.; Brover, Vyacheslav; Tolstoy, Igor; Yutin, Natalya (2016). "Phylogenomic analysis of the family Peptostreptococcaceae (Clostridium cluster XI) and proposal for reclassification of Clostridium litorale (Fendrich et al. 1991) and Eubacterium acidaminophilum (Zindel et al. 1989) as Peptoclostridium litorale gen. nov. comb. nov. and Peptoclostridium acidaminophilum comb. nov". International Journal of Systematic and Evolutionary Microbiology. 66 (12): 5506–5513. doi:10.1099/ijsem.0.001548. PMC 5244501. PMID 27902180.
  29. Reinert DJ, Jank T, Aktories K, Schulz GE (September 2005). "Structural basis for the function of Clostridium difficile toxin B". Journal of Molecular Biology. 351 (5): 973–81. doi:10.1016/j.jmb.2005.06.071. PMID 16054646.
  30. Di Bella, Stefano; Ascenzi, Paolo; Siarakas, Steven; Petrosillo, Nicola; di Masi, Alessandra (2016-01-01). "Clostridium difficile Toxins A and B: Insights into Pathogenic Properties and Extraintestinal Effects". Toxins. 8 (5): 134. doi:10.3390/toxins8050134. ISSN 2072-6651. PMC 4885049. PMID 27153087.
  31. Just I, Selzer J, von Eichel-Streiber C, Aktories K (1995). "The low molecular mass GTP-binding protein Rh is affected by toxin a from Clostridium difficile". The Journal of Clinical Investigation. 95 (3): 1026–31. doi:10.1172/JCI117747. PMC 441436. PMID 7883950.
  32. Barth H, Aktories K, Popoff MR, Stiles BG (2004). "Binary Bacterial Toxins: Biochemistry, Biology, and Applications of Common Clostridium and Bacillus Proteins". Microbiology and Molecular Biology Reviews. 68 (3): 373–402, table of contents. doi:10.1128/MMBR.68.3.373-402.2004. PMC 515256. PMID 15353562.
  33. [Medical Micriobiology, Fifth Edition, Patrick Murray, Elsevier Mosby, 2005, page 412]
  34. "The chemical weapon that helps bacterium wreak havoc in the gut". Nature. 561 (7723): 288. 14 September 2018. Bibcode:2018Natur.561S.288.. doi:10.1038/d41586-018-06650-4. S2CID 52297840. Archived from the original on 28 July 2020. Retrieved 8 October 2018.
  35. McDonald LC (August 2005). "Clostridium difficile: responding to a new threat from an old enemy" (PDF). Infection Control and Hospital Epidemiology. 26 (8): 672–5. doi:10.1086/502600. PMID 16156321. Archived (PDF) from the original on 2011-06-04. Retrieved 2023-04-27.
  36. Saeed S. Banawas (21 February 2018). "Clostridium difficile Infections: A Global Overview of Drug Sensitivity and Resistance Mechanisms". BioMed Research International. 2018: 8414257. doi:10.1155/2018/8414257. PMC 5841113. PMID 29682562.
  37. Rupnik M, Wilcox MH, Gerding DN (July 2009). "Clostridium difficile infection: New developments in epidemiology and pathogenesis". Nature Reviews. Microbiology. 7 (7): 526–36. doi:10.1038/nrmicro2164. PMID 19528959. S2CID 23376891.
  38. Jassem, Agatha; Prystajecky, Natalie; Marra, Fawziah; Kibsey, Pamela; Tan, Kennard; Umlandt, Patricia; Janz, Loretta; Champagne, Sylvie; Gamage, Bruce; Golding, George; Mulvey, Michael; Henry, Bonnie; Hoang, Linda (29 Mar 2016). "Characterization of Clostridium difficile Strains in British Columbia, Canada: A Shift from NAP1 Majority (2008) to Novel Strain Types (2013) in One Region". Canadian Journal of Infectious Diseases and Medical Microbiology. 2016: 8207418. doi:10.1155/2016/8207418. PMC 4904575. PMID 27366181.
  39. Collins, J.; Robinson, C.; Danhof, H.; Knetsch, C. W.; van Leeuwen, H. C.; Lawley, T. D.; Auchtung, J. M.; Britton, R. A. (2018). "Dietary trehalose enhances virulence of epidemic Clostridium difficile". Nature. 553 (7688): 291–294. Bibcode:2018Natur.553..291C. doi:10.1038/nature25178. ISSN 0028-0836. PMC 5984069. PMID 29310122.
  40. 1 2 Hargreaves KR, Clokie MR (2014). "Clostridium difficile phages: Still difficult?". Frontiers in Microbiology. 5: 184. doi:10.3389/fmicb.2014.00184. PMC 4009436. PMID 24808893.
  41. "Clostridium difficile Infection Information for Patients | HAI | CDC". www.cdc.gov. Archived from the original on 16 December 2016. Retrieved 22 May 2017.
  42. "WHO Guidelines on Hand Hygiene in Health Care: a Summary" (PDF). World Health Organization. 2009. p. 31. Archived (PDF) from the original on May 9, 2020. Retrieved June 18, 2018.
  43. Gould, L. Hannah; Limbago, Brandi (2010). "Clostridium difficile in Food and Domestic Animals: A New Foodborne Pathogen?". Clinical Infectious Diseases. 51 (5): 577–82. doi:10.1086/655692. PMID 20642351.
  44. Belluck, Pam (February 25, 2015). "Death Toll From C. Difficile Is Raised". The New York Times. Archived from the original on 29 September 2017. Retrieved 25 February 2015.
  45. [Medical Microbiology, Fifth Edition, Patrick Murray, Elsevier Mosby, 2005, page 412]
  46. 1 2 3 "Could you have deadly diarrhea (C. Diff)?". 2019-01-04. Archived from the original on 2016-12-16. Retrieved 2023-04-27.
  47. Monaghan, Tanya M; Negm, Ola H; MacKenzie, Brendon; Hamed, Mohamed R; Shone, Clifford C; Humphreys, David P; Acharya, K Ravi; Wilcox, Mark H (July 2017). "High prevalence of subclass-specific binding and neutralizing antibodies against Clostridium difficile toxins in adult cystic fibrosis sera: possible mode of immunoprotection against symptomatic C. difficile infection". Clinical and Experimental Gastroenterology. 10: 169–175. doi:10.2147/CEG.S133939. PMC 5525456. PMID 28765714.
  48. Wullt, M.; Norén, T.; Ljungh, Å.; Åkerlund, T. (September 2012). "IgG Antibody Response to Toxins A and B in Patients with Clostridium difficile Infection". Clinical and Vaccine Immunology. 19 (9): 1552–1554. doi:10.1128/CVI.00210-12. PMC 3428380. PMID 22787196.
  49. Cook, Laura; Rees, William D.; Wong, May Q.; Kwok, William W.; Levings, Megan K.; Steiner, Theodore S. (March 2021). "Recurrent Clostridioides difficile Infection Is Associated With Impaired T Helper Type 17 Immunity to C difficile Toxin B". Gastroenterology. 160 (4): 1410–1413.e4. doi:10.1053/J.GASTRO.2020.11.043. PMID 33253683.
  50. Cook, Laura; Rees, William D.; Wong, May Q.; Peters, Hannah; Levings, Megan K.; Steiner, Theodore S. (May 2021). "Fecal Microbiota Transplantation for Recurrent Clostridioides difficile Infection Enhances Adaptive Immunity to C difficile Toxin B". Gastroenterology. 160 (6): 2155–2158.e4. doi:10.1053/J.GASTRO.2021.01.009. hdl:11343/289863. PMID 33444574. S2CID 231611318.
  51. Murray PR, Baron EJ, Pfaller EA, Tenover F, Yolken RH, eds. (2003). Manual of Clinical Microbiology (8th ed.). Washington DC: ASM Press. ISBN 978-1-55581-255-3.
  52. Normington, Charmaine; Chilton, Caroline H.; Buckley, Anthony M. (1 January 2024). "Clostridioides difficile infections; new treatments and future perspectives". Current Opinion in Gastroenterology. 40 (1): 7–13. doi:10.1097/MOG.0000000000000989. ISSN 1531-7056.
  53. "Clinical Practice Guidelines for Clostridium difficile Infection in Adults and Children: 2017 Update by the Infectious Diseases Society of America (IDSA) and Society for Healthcare Epidemiology of America (SHEA)". Clinical Infectious Diseases. 66 (7): e1–e48. 2018-03-19. doi:10.1093/cid/cix1085. ISSN 1537-6591. PMC 6018983. PMID 29462280.
  54. Mullane, Kathleen M.; Miller, Mark A.; Weiss, Karl; Lentnek, Arnold; Golan, Yoav; Sears, Pamela S.; Shue, Youe-Kong; Louie, Thomas J.; Gorbach, Sherwood L. (September 2011). "Efficacy of fidaxomicin versus vancomycin as therapy for Clostridium difficile infection in individuals taking concomitant antibiotics for other concurrent infections". Clinical Infectious Diseases. 53 (5): 440–447. doi:10.1093/cid/cir404. ISSN 1537-6591. PMC 3156139. PMID 21844027.
  55. Shane, Andi L.; Mody, Rajal K.; Crump, John A.; Tarr, Phillip I.; Steiner, Theodore S.; Kotloff, Karen; Langley, Joanne M.; Wanke, Christine; Warren, Cirle Alcantara (2017-11-29). "2017 Infectious Diseases Society of America Clinical Practice Guidelines for the Diagnosis and Management of Infectious Diarrhea". Clinical Infectious Diseases. 65 (12): e45–e80. doi:10.1093/cid/cix669. ISSN 1537-6591. PMC 5850553. PMID 29053792.
  56. Chen, Yu-Gen; Zheng, Xiao; Zhou, Jin-Yong; Wu, Jing; Jiang, Feng; Zhang, Dan; Zhou, Qun; Chen, Tuo (2018-05-25). "Effect of Faecal Microbiota Transplantation for Treatment of Clostridium difficile Infection in Patients With Inflammatory Bowel Disease: A Systematic Review and Meta-Analysis of Cohort Studies". Journal of Crohn's and Colitis. 12 (6): 710–717. doi:10.1093/ecco-jcc/jjy031. ISSN 1873-9946. PMID 29528385. S2CID 3841585.
  57. 1 2 Surawicz, Christina M; Brandt, Lawrence J; Binion, David G; Ananthakrishnan, Ashwin N; Curry, Scott R; Gilligan, Peter H; McFarland, Lynne V; Mellow, Mark; Zuckerbraun, Brian S (2013-02-26). "Guidelines for Diagnosis, Treatment and Prevention of Clostridium difficile Infections". The American Journal of Gastroenterology. 108 (4): 478–498. doi:10.1038/ajg.2013.4. ISSN 0002-9270. PMID 23439232. S2CID 54629762.
  58. "Treatment of Recurrent Clostridium difficile Colitis with Vancomycin and Saccharomyces boulardii" (PDF). The American Journal of Gastroenterology. Archived (PDF) from the original on 2017-08-09. Retrieved 2023-04-27.
  59. BNF 81: March-September 2021. BMJ Group and the Pharmaceutical Press. 2021. p. 607. ISBN 978-0857114105.
  60. "Genus: Clostridioides". lpsn.dsmz.de. Archived from the original on 8 November 2022. Retrieved 18 July 2023.
  61. Liddell-Scott. "κλωστήρ". Greek-English Lexicon.
  62. Cawley, Kevin. "Difficilis". Latin Dictionary and Grammar Aid. Archived from the original on 13 December 2019. Retrieved 2013-03-16.
  63. 1 2 Wolters-Kluwer, Stedman's Medical Dictionary, archived from the original on 28 July 2020, retrieved 2019-04-11.
This article is issued from Wmcloud. The text is licensed under Creative Commons - Attribution - Sharealike. Additional terms may apply for the media files.