Alternating hemiplegia

Alternating hemiplegia
SpecialtyNeurology

Alternating hemiplegia (also known as crossed hemiplegia) is a form of hemiplegia that has an ipsilateral cranial nerve palsies and contralateral hemiplegia or hemiparesis of extremities of the body. The disorder is characterized by recurrent episodes of paralysis on one side of the body.[1] There are multiple forms of alternating hemiplegia, Weber's syndrome, middle alternating hemiplegia, and inferior alternating hemiplegia. This type of syndrome can result from a unilateral lesion in the brainstem affecting both upper motor neurons and lower motor neurons. The muscles that would receive signals from these damaged upper motor neurons result in spastic paralysis. With a lesion in the brainstem, this affects the majority of limb and trunk muscles on the contralateral side due to the upper motor neurons decussation after the brainstem. The cranial nerves and cranial nerve nuclei are also located in the brainstem making them susceptible to damage from a brainstem lesion. Cranial nerves III (Oculomotor), VI (Abducens), and XII (Hypoglossal) are most often associated with this syndrome given their close proximity with the pyramidal tract, the location which upper motor neurons are in on their way to the spinal cord. Damages to these structures produce the ipsilateral presentation of paralysis or palsy due to the lack of cranial nerve decussation (aside from the trochlear nerve) before innervating their target muscles. The paralysis may be brief or it may last for several days, many times the episodes will resolve after sleep. Some common symptoms of alternating hemiplegia are mental impairment, gait and balance difficulties, excessive sweating and changes in body temperature.[1]

Symptoms and signs

Superior alternating hemiplegia

Superior alternating hemiplegia (also known as Weber syndrome) has a few distinct symptoms: contralateral hemiparesis of limb and facial muscle accompanied by weakness in one or more muscles that control eye movement on the same side.[2] Another symptom that appears is the loss of eye movement due to damage to the oculomotor nerve fibers. The upper and lower extremities have increased weakness.[3]

Middle alternating hemiplegia

Middle alternating hemiplegia (also known as Foville Syndrome) typically constitutes weakness of the extremities accompanied by paralysis of the extraocular muscle specifically lateral rectus, on the opposite side of the affected extremities, which indicates a lesion in the caudal and medial pons involving the abducens nerve root (controls movement of the eye) and corticospinal fibers (carries motor commands from the brain to the spinal cord).[3]

Inferior alternating hemiplegia

Inferior alternating hemiplegia (also known as medial medullary syndrome) typically involves a "weakness of the extremities accompanied by paralysis of muscles on the ipsilateral side of the tongue (seen as a deviation of the tongue on that side on protrusion). These symptoms indicate a lesion in the medulla involving the corticospinal fibers in the pyramid and the exiting hypoglossal nerve roots.[3]

Causes

Note that this description is focused on alternating hemiplegia of childhood. Similar syndromes may develop following a brainstem infarction. The cause of alternating hemiplegia of childhood is the mutation of ATP1A3 gene. In a study of fifteen female and nine male patients with alternating hemiplegia, a mutation in ATP1A3 gene was present. Three patients showed heterozygous de-novo missense mutation. Six patients were found with de-novo missense mutation and one patient was identified with de-novo splice site mutation.[4] De novo mutation is a mutation that occurs in the germ cell of one parent. Neither parent has the mutation, but it is passed to the child through the sperm or egg.[5]

Diagnosis

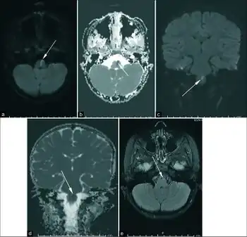
a-e)Axial diffusion-weighted imaging (DWI)- these findings support the clinical diagnosis of medial medullary syndrome aka Dejerine syndrome

There is no diagnostic test for alternating hemiplegia, which makes it very difficult to diagnose. Also, because alternating hemiplegia is extremely rare, it is frequently missed and the patient is often misdiagnosed. Proper diagnosis, however, is critical for early treatment of the disorder. There are many criteria that can help in the proper general diagnosis of alternating hemiplegia.

Criteria for diagnosis

First, the symptoms must be observed before the patient is 18 months of age. Second, there must be frequent episodes of hemiplegia, involving either side of the body. Third, other paroxysmal disorders including tonic attacks, dystonia, nystagmus, strabismus, dyspnoea, and other uncontrollable disorders are noticed to occur. Although common, the paroxysmal disorders involving the eye, nystagmus and strabismus, may not be apparent in older children and may not have been remembered in childhood so a lack of these symptoms does not rule out alternating hemiplegia. Fourth, all symptoms clear up directly after falling asleep and usually come back after waking during an attack. This occurrence is very indicative of alternating hemiplegia and as such those who display this are usually diagnosed with probable alternating hemiplegia. Fifth, indications of developmental delays, learning disability, or neurological irregularities are present. These issues may not be obvious in very young patients; however, it appears in almost all older patients.[6]:777 The final criteria before a diagnosis of alternating hemiplegia can be made is that all of these symptoms must not be due to another disorder. If the symptoms can be attributed to another disease or disorder, then a definitive diagnosis is difficult to make.[6]:778

Diagnosis of Weber's syndrome

Weber's syndrome is the only form of alternating hemiplegia that is somewhat easy to diagnose beyond the general criteria. Although Weber's syndrome is rare, a child born with the disorder typically has a port-wine stain on the face around the eye. While the port-wine stain does not necessarily mean the child has Weber's syndrome, if the port-wine stain involves the ophthalmic division of the trigeminal nerve than the likelihood of it being weber's syndrome greatly increases. If a port-wine stain around the eye is found, the patient should be screened for intracranial leptomeningeal angiomatosis. Magnetic resonance imaging (MRI) can be used to determine the presence and severity while computed cranial tomography can be used to determine the effect. MRI is the preferred diagnostic test on children presenting with port-wine stain. Other imaging techniques can be used in addition to further determine the severity of the disorder. The initial diagnosis is made based on the presence of neurologic and ophthalmic disease but the disease progresses differently in each patient so after initial diagnosis the patient should be monitored frequently in order to handle further complications resulting from the syndrome.[7]

Treatment

Medical treatment of hemiplegia can be separate into several different categories:[6]:779

  • prophylactic treatment by avoiding triggers and long-term drug treatment
  • acute management of the episodes
  • management of the epilepsy
  • sleep as a management technique.


Seizure trigger include exposure to cold, emotional stress, fatigue, bathing, hyperthermia/hypothermia, and upper respiratory infection. A drug called flunarizine, which is a calcium channel blocker can help to reduce the severity and the length of attacks of the paralysis.[1]

Flunarizine

Many children affected by alternating hemiplegia also have epilepsy. Seizures may occur during an attack but more often occur between attacks. Anti-epilepsy drugs are given to prevent or lessen the seizures, but the drugs often don't work and have severe side effects that require the patient to discontinue use. Flunarizine, which blocks calcium channels, is an antiepilepsy drugs used in 50% of patients, and has been shown to shorten the duration of attacks as well as reducing the severity of the attacks. While Flunarizine does not stop the attacks, it is most common drug prescribed to treat those with alternating hemiplegia.[6]:779

Sleep and diet

Sleep is also used as a management technique. An early indication of an episode is tiredness so medication such as melatonin or Buccal midazolam can be administered to induce sleep and avoid the episode. People with alternating hemiplegia are often underweight and with the help of dietitians, a meal plan should be developed for times of attack when consumption of food may be difficult.[6]:779–780

See also

References

  1. 1 2 3 "Alternating Hemiplegia Information Page". National Institute of Neurological Disorders and Stroke (NINDS). Archived from the original on 2011-05-14.
  2. Pritchard, Thomas C (1999). Medical Neuroscience (1st ed.). Baltimore, MD: Port City Press.
  3. 1 2 3 Haines, Duane E. (2004). Neuroanatomy: An Atlas of Structures, Sections, and Systems. RR Donnelley-Willard. ISBN 9780781746779. Archived from the original on 2023-02-14. Retrieved 2022-07-07.
  4. Heinzen, Erin L.; Swoboda, Kathryn J; Hitomi, Yuki; Gurrieri, Fiorella; et al. (September 2012). "De novo mutations in ATP1A3 cause alternating hemiplegia of childhood". Nature Genetics. 44 (9): 1030–1034. doi:10.1038/ng.2358. PMC 3442240. PMID 22842232.
  5. "Cause of Alternating Hemiplegia Identified". UCL News. 2012-08-13. Archived from the original on 2017-02-13. Retrieved 18 March 2013.
  6. 1 2 3 4 5 Neville, B.; M. Ninan (2007). "The treatment and management of alternating hemiplegia of childhood". Developmental Medicine & Child Neurology. 49 (10): 777–80. doi:10.1111/j.1469-8749.2007.00777.x. PMID 17880649.
  7. Thomas-Sohl, Kristina A.; Vaslow, Dale F.; Maria, Bernard L. (2004). "Sturge-Weber syndrome: A review". Pediatric Neurology. 30 (5): 303–310. doi:10.1016/j.pediatrneurol.2003.12.015. PMID 15165630.
Classification
This article is issued from Wmcloud. The text is licensed under Creative Commons - Attribution - Sharealike. Additional terms may apply for the media files.