Aggressive digital papillary adenocarcinoma
| Aggressive digital papillary adenocarcinoma | |
|---|---|
| Other names: Digital papillary adenocarcinoma[1] and Papillary adenoma[2] | |
| Specialty | Dermatology/oncology |
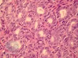
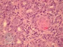
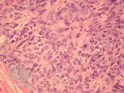
Aggressive digital papillary adenocarcinoma is a cutaneous condition characterized by an aggressive malignancy involving the digit between the nailbed and the distal interphalangeal joint spaces.[1]:โ670โ
Aggressive digital papillary adenocarcinoma-pathology
Aggressive digital papillary adenocarcinoma-pathology
Aggressive digital papillary adenocarcinoma-pathology
Aggressive digital papillary adenocarcinoma-pathology
Aggressive digital papillary adenocarcinoma-pathology
Aggressive digital papillary adenocarcinoma-pathology
See also
References
Template:Epidermal-growth-stub
This article is issued from Wmcloud. The text is licensed under Creative Commons - Attribution - Sharealike. Additional terms may apply for the media files.