What keeps the cerebrospinal fluid circulating? Is it pumped by something?
This picture from wikipedia seems to indicate that it pulsates as though it is pumped:

What keeps the cerebrospinal fluid circulating? Is it pumped by something?
This picture from wikipedia seems to indicate that it pulsates as though it is pumped:

There is no evidence that the CSF has a pump. A link to a Chiropract Medicine page (a good one, from my reading) tells us that:
It is something of a misnomer to speak of CSF “circulation,” particularly in the spinal canal, as there is no continuous loop circulation of CSF as in the cardiovascular system. [CEREBROSPINAL FLUID STASIS AND ITS CLINICAL SIGNIFICANCE Whedon et. al., Altern Ther Health Med. 2009 May–Jun; 15(3): 54–60.]
This is in keeping with the findings of decades of research in western medicine (M.D., Ph.D., D.O., etc.)
For quite some time, it has been known that CSF movement results from the formation of new CSF and motion of cilia on the surface of the choroid plexus and ependyma lining the ventricles. - Fluids and Barriers of the CNS
The "circulation" of the CSF, as already mentioned, is something of a misnomer. CSF is not known to "circulate" in the manner of blood. It does get agitated by pressure differentials, and it is 'circulated' in terms of being reabsorbed and replaced every 6-7 hours. Other than that, no circulation occurs.
Blood circulation is not generated only by the heart. Pressure differentials throughout the body affect the circulation of blood as well. One that is easily demonstrated (first documented in 1733) is the effect of intrathoracic (chest) pressure on circulation. The blood pressure of healthy people falls during spontaneous inspiration. When someone takes a deep breath, the blood return to the heart via the vena cava decreases, and pressure is exerted on the right atrium. Both cause decreased filling, which will drop blood pressure. Although this is best demonstrated with a blood pressure cuff, it can be demonstrated without. An unrecommended method is exemplified in a childhood game of passing out. A Valsalva maneuver (deep breath and glottal closure) decreases blood flow to the heart. Squeezing the chest further decreases return, resulting in fainting.
The same pressure differentials agitate the CSF. Additionally, smaller movements were seen with pressure differentials caused by the beating of the heart.
By employing this respiration-induced spin labeling bSSFP cine method, we were able to visualize CSF movement induced by respiratory excursions. CSF moved cephalad (16.4 ± 7.7 mm) during deep inhalation and caudad (11.6 ± 3.0 mm) during deep exhalation in the prepontine cisternal area. Small but rapid cephalad (3.0 ± 0.4 mm) and caudad (3.0 ± 0.5 mm) movement was observed in the same region during breath holding and is thought to reflect cardiac pulsations.
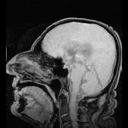
The image in the OP's question is of a patient with normal pressure hydrocephalus (NPH) showing pulsations of CSF with heartbeat, nothing more.
There are other factors that cause movement of CSF, but they are intermittent and variable.
Influence of respiration on cerebrospinal fluid movement using magnetic resonance spin labeling, Yamada et. al., Fluids and Barriers of the CNS 2013, 10:36
MRI showing pulsation of CSF
When from what I've viewed first hand through my formal study working with NANOG, SOX2, & OCT4 Trinity Factor mediation of a Non Canonical Wnt pathway in lineage regression morphology of simple columnar enterocyte to migratory Mesenchymal pluripotent transitory state, has shown me how incredibly novice & crude each our methods, modes of understanding are, as well as the utter bred naivety amounting in those who truncate "truths" of an already ineptly defined material in the first place.
Greater science forever uproots the lies within our yet "greatest" truths, & does so as an auraborus inevitability.
Brinker, T., Stopa, E., Morrison, J., & Klinge, P. (2014). [A new look at cerebrospinal fluid circulation.][1] Fluids and Barriers of the CNS, 11(1), 10.Would like to disagree with anongoodnurse's answer when it states that "there are no indications of a CSF fluid pump".
CSF fluid is affected by cardiovascular pulse wave in the rhythmic brain motion during the systolic expansion. But the respiratory rhythm plays the most significant role in the CSF movement and was shown to be diminished in flexor dominant individuals (respiratory muscle memory abnormal contraction-sympathetic tone). Couple this with occlusion of the central canal associated with subluxation of the vertebrae, diminished Vasomotor waves (THM) associated with autonomic nervous system weakness, and you get CSF stasis, which lead to abnormal degenerative disease.
The clinical assessment of CSF stasis is associated with vertebral subluxation and can be corrected thru chiropractic adjustments, lymphatic drainage techniques, 12 seconds breathing technique and yoga.
Whedon, J. M., & Glassey, D. (2009). Cerebrospinal fluid stasis and its clinical significance. Alternative therapies in health and medicine, 15(3), 54.