>Brain Imaging>Neurosociety Media Centre

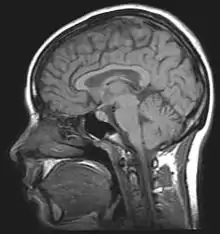
Magnetic Resonance Imaging creates images from the magnetic behaviour of hydrogen protons in brain tissue, and so can show more detail (down to around 1mm) than Computed Tomography. These imaging methods are mainly used to investigate anatomical structures and the processes associated with disease, not the dynamic functioning of the brain.

Functional Magnetic Resonance Imaging (fMRI), on the other hand, is a brain research method which scientists use to deduce how the brain operates. Because oxygenated haemoglobin and deoxygenated haemoglobin have different magnetic properties, they look very different in this type of scan. Using this method, scientists can therefore see when and where there is increased blood flow to different parts of the brain. Most scientists believe this increased blood flow is a sign of increased brain activity. The debate about what this means is just one of the interesting aspects of fMRI.