CHAPTER XXXII
SPRUE (PSILOSIS)
Definition.— By the term " sprue " is understood a peculiar and very dangerous form of chronic catarrhal inflammation of the whole or part of the mucous membrane of the alimentary canal, generally associated with disturbance of the chologenic function of the liver and, probably, of the functions of the other glandular organs subserving digestion. Although a disease of warm climates it may develop for the first time in temperate climates ; only, however, in individuals who have previously resided in the tropics or sub-tropics.
Sprue is characterized by irregularly alternating periods of exacerbation and of comparative quiescence; by an inflamed, bare, and eroded condition of the mucous membrane of the tongue and mouth; by flatulent dyspepsia; by pale, phenomenally copious, and generally loose, frothy, fermenting stools; by wasting and anæmia; and by a tendency to relapse. It may occur as a primary disease, or it may supervene on other affections of the bowels. It is very slow in its progress; and, unless properly treated, tends to terminate in atrophy of the intestinal mucosa, which usually, sooner or later, proves fatal.
Nomenclature.— Sprue has been more or less recognized by writers on tropical medicine for many years. It has been called " tropical diarrhœa," " diarrhœa alba," " aphthæ tropicæ," " Ceylon sore mouth," " psilosis linguæ " (Thin), besides a variety of other names. The term " sprue " is an adaptation from the Dutch word spruw in use in Java, where the disease is very common.
Geographical distribution.— It is probable that sprue, although more common in certain warm countries than in others, is found throughout the greater part of the tropical and many parts of the sub- tropical world. It is especially common in South China, Manila, Cochin China, Java, the Straits Settlements, Ceylon, India, tropical Africa, the West Indies*[1] (Hillary), and Porto Rico (Ashworth). Apparently it is most prevalent in those tropical countries in which prolonged high temperature is combined with a moist atmosphere. It is common, however, in certain sub-tropical countries, as North China and even in Japan— countries where, although the summer is hot and damp, the winter is dry and bracing.
Etiology.— Prolonged residence in the endemic area is, perhaps, the most potent predisposing influence; cases, however, do occur in which the disease shows itself after a residence of one or two years only. Exhausting diseases, particularly those involving the alimentary canal, as dysentery, hill diarrhœa, morning diarrhœa, hæmorrhoids and fistula, are apt to terminate in sprue. Frequent childbearing, miscarriages, uterine hæmorrhages, exhausting discharges, and prolonged lactation also predispose to the disease; so may syphilis, courses of mercury or of iodide of potassium, bad food, bad water, anxiety, chills, and so forth in fact, any depressing influence, particularly if it is combined with intestinal irritation. Malaria does not seem to be specially responsible. At one time Strongyloides intestinalis (Anguillula intestinalis) , a parasite very common in the stools of cases of chronic intestinal flux, particularly in Cochin China, was put forward as the cause of the chronic entero-colitis (for the most part sprue) of that country. Subsequent investigations have disproved this. Like the anguillula, Amœba coli or Bacillus dysenteriœ may be present in the stools in these cases; but, similarly, they are in no way responsible for the disease. Neither has any bacterium, or fungus, or other micro-organism which can be regarded with any degree of certainty as special to sprue been separated from the characteristic stools.
Formerly sprue was supposed to be peculiar to the European in the tropics; but Bahr has recently shown that it is by no means rare in the descendants of the early Dutch settlers in Ceylon, and in the native Cingalese and the immigrant Tamils. He has also brought forward evidence tending to show that it is an infective disease.
In searching for the fundamental cause of this affection, the latency which the disease occasionally exhibits, and the fact that the first symptoms may not appear until months or even years have elapsed since the patient quitted the tropics, must be kept in view.
Symptoms. Variability.— There is infinite variety in the combination and in the severity of the various symptoms of sprue, as well as in the rate of progress of the disease. In some instances it may be almost a subacute process running its course in a year or two; in others, again, it may drag on intermittingly for ten or fifteen years. Much depends in this respect on the circumstances, the character, the care, the treatment, the age, and the intelligence of the patient.
General symptoms in a typical case.— In an ordinary fully developed case the patient— who is generally dark or muddy in complexion and much emaciated— complains of three principal symptoms: soreness of the mouth, dyspeptic distension of the abdomen, looseness of the bowels ; the last being particularly urgent during the early morning and part of the forenoon. The patient may also complain of feeling physically weak, of loss of memory, and of inability to take exercise or to apply his mind. His friends will probably volunteer the information that he is irritable and unreasonable.
Mouth lesions.— If the mouth is examined, the soreness will be found to depend on a variety of lesions of the mucous membrane, which, though painful, seem to be of a very superficial character. These lesions vary considerably in intensity from day to day. During an exacerbation the tongue looks red and angry; superficial erosions, patches of congestion, and perhaps minute vesicles appear on its surface, particularly about the edges and tip. Sometimes, from the folding consequent on swelling of the mucous membrane, the sides of the organ have the appearance of being fissured. The filiform papilla cannot be made out, although here and there the fungiform papillæ may stand up, pink and swollen. (Plate IX.) If the patient be made to turn up the tip of the tongue, very likely red patches of superficial erosion, sometimes covered with an aphthous-looking pellicle, may be seen on either side of the frsenum. On everting the lips, similar patches and erosions are visible; and if the cheek be separated from the teeth the same may be seen on the buccal mucous membrane. Occasionally the palate is similarly affected; very often in this situation the mucous follicles are enlarged, shotty, and prominent. The gullet and uvula may also be congested and, in places, raw and sore.
In consequence of the irritation caused by these superficial and exceedingly sensitive lesions, the mouth tends to fill with a watery saliva which may dribble from the corners. If the patient attempts to take any sapid food, strong wine, or anything except the very blandest diet, the pain and burning in the mouth are intolerable; so much so that, although perhaps ravenously hungry, he shirks eating. Not infrequently swallowing is accompanied and followed by a feeling of soreness and burning under the sternum; suggesting that the gullet, like the tongue, is also in an irritated, raw, and tender condition. During exacerbations of the disease the condition of the mouth becomes greatly aggravated. Although during the temporary and occasional improvements it becomes much less painful, even then salt, spices! strong wines, and all kinds of sapid foods sting unpleasantly; and the tongue, particularly along its centre, is seen to be bare and polished as if brushed
over with a coating of varnish. At all times the tongue is abnormally clean and devoid of fur; during the ex
Acute stage. (After Thin.) Chronic stage. (After a painting by P. H. Bahr.)
Sprue tongue.
Plate IX.
Dyspepsia.— Dyspepsia is usually much complained of, the feelings of weight, oppression, and gaseous distension after eating being sometimes excessive. Very likely the abdomen swells out like a drum, and unpleasant borborygmi roll through the bowel. Occasionally, though not often, there may be vomiting, sometimes coming on suddenly and not always accompanied by feelings of nausea.
Diarrhœa.— The diarrhœa associated with sprue is of two kinds one chronic and habitual, the other more acute and, in the early stages, evanescent. The former is characterized by one or more daily discharges of a copious, pale, greyish, pasty, fermenting, acid, mawkish, evil-smelling material. The latter is of a watery character, also pale and fermenting, the dejecta containing undigested food and, usually, an abnormally large amount of oil and fatty acids. In these latter circumstances the diarrhœa usually brings with it considerable relief to the dyspeptic distension, at all events for a time. When the mouth is inflamed the diarrhœa is usually more active. The stools during periods of quiescence may be confined to one or two in the early morning or forenoon; during the later part of the day the patient is not disturbed. The stools, however, even in this quiescent phase, are always extraordinarily copious, the excessive bulk being attributable in great measure to the aforementioned excess of fat and the innumerable microscopic gas bubbles; patients remark their phenomenal abundance. They are passed almost, or altogether, without pain. Not infrequently during exacerbations there may be a tender, excoriated condition of the anus, and sometimes, in women, a similar condition of the vagina.
Types, history, course, and termination. Proto- pathic sprue.— There is a striking uniformity in the history of most cases of sprue. On inquiry, we shall probably learn that the patient has been suffering for months, or perhaps years, from irregularity of the bowels. This, we may be told, began soon after arrival in the tropics as a bilious morning diarrhœa. For a long time this morning diarrhœa went on, without interfering in any way with the general health. Later the mouth, now and again, became tender, little blisters or excoriations appearing for a day or two at a time about the tip of the tongue or inside the lips. These sore spots would come and go. Perhaps, from time to time, exacerbations of the mouth symptoms would be associated with a little increase of diarrhœa. Gradually the stools lost their bilious character and became pale and frothy; dyspeptic symptoms, particularly distension after meals, now appeared. As time went on, these symptoms would recur more frequently and in a more pronounced form, following, almost inevitably, any little imprudence as regards food or exposure. The general condition now began to deteriorate; emaciation, languor, lassitude, and inability to get through the day's work satisfactorily becoming more pronounced each summer until, finally, a condition of permanent invalidism was established. Should the disease continue to progress, the emaciation advances slowly but surely. Diarrhœa may be almost constant, and now no longer confined to the morning hours; the complexion becomes dark, sometimes very dark the appetite, sometimes in abeyance, is more frequently ravenous, unusual indulgence in food being followed by increased discomfort, temporarily relieved by smart diarrhœa. At length the patient is confined to the house, perhaps to bed. The feet become cedematous, and the integuments hang like an ill-fitting garment, the details of the bony anatomy showing distinctly through the dry, scurfy, earthy skin. Finally, the patient dies in a semi-choleraic attack; or from inanition; or from some intercurrent disease. Such is the history of an ordinary, mismanaged case of sprue. Sprue secondary to dysentery.— When the disease has supervened on dysentery, we learn that the motions characteristic of the original dysenteric attack had gradually changed in character; from being scanty, mucoid, bloody, and accompanied with pain and tenesmus, they became diarrhœic, pale, frothy, their discharge being followed by a feeling of relief rather than of pain. The mouth at the same time became sore, exhibiting the characters already described. Gradually a condition of confirmed sprue was established, which ultimately, unless properly treated, will almost certainly prove fatal.
Sprue secondary to acute entero-colitis.— Another type of case commences as an acute entero-colitis with sudden and profuse colicky diarrhœa, vomiting perhaps, and a certain amount of fever. The acute symptoms do not subside completely, but gradually have the typical symptoms of sprue grafted on to those of an acute intestinal catarrh.
Incomplete sprue, (a) Gastric cases.— Occasionally we meet with cases of confirmed sprue in which, at first, the morbid process, judging from the existing clinical symptoms and subsequent history, is confined to a limited part of the alimentary canal. Thus we sometimes get sprue without diarrhœa, the principal symptoms being sore mouth, dyspeptic distension, pale copious but solid stools, and wasting.
(b) Intestinal cases.— On the other hand, we may get cases in which the mouth is not eroded, and in which there is little or no distension or dyspepsia, but in which the stools are liquid, copious, pale, and frothy. Sometimes a patient who may have suffered at an earlier period or on a former occasion from the first type of the disease, later acquires the diarrhœic form; and vice versa.
(c) Sprue without diarrhœa.— It sometimes happens that under treatment the sore mouth, the dyspepsia, and the diarrhœa completely subside; nevertheless the wasting continues, the stools remaining phenomenally copious— so much so that the patient may declare that more is passed than has been eaten. In this case wasting is progressive, and the patient gradually dies of inanition.
Intestinal atrophy consequent on sprue.— In certain instances, under treatment the symptoms proper to sprue subside; but the patient's digestive and assimilative faculties are permanently impaired. Slight irregularities either in the quality or the amount of food, chill, fatigue, depressing emotions, and other trifling causes suffice to bring on dyspepsia accompanied by flatulence and diarrhœa. These cases may linger for years. Usually they improve during the summer in England, getting worse during the winter and spring, or during cold, damp weather. Ultimately they die from general atrophy, diarrhœa, or some intercurrent disease.
Morbid anatomy.— Post mortem the tissues in sprue are abnormally dry; fat is almost completely absent; the muscles and the thoracic and abdominal viscera are anæmic and wasted. With these exceptions and certain important changes in the alimentary tract, so far as known there are no special lesions which are invariably associated with this disease. According to Bertrand and Fontan, occasionally certain changes are present in the pancreas— namely, fatty or granular degeneration of the cells, with softening of isolated acini and slight inflammatory infiltration of the connective tissue. These, however, are not more constant than are certain other and similar changes occasionally found in the liver and kidneys. Sections of the tongue show desquamation of the epithelium, especially from the surface of the fungiform papillæ; an invasion of the epithelial cells by yeast fungi has been shown by Kohlbrügge to take place and is possibly a terminal infection.
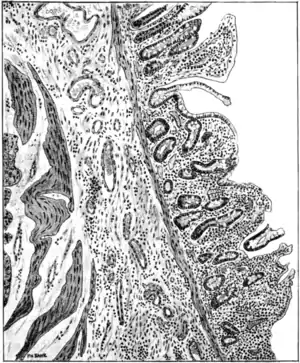
Lesions of the alimentary tract.— The principal and characteristic lesions are found in the alimentary tract. The bowel is thinned to such an extent as to be almost diaphanous. The serous coat is generally healthy, the muscular coat atrophied. The submucosa in places has undergone hypertrophic fibrous changes; and the mucous membrane from mouth to anus, either in patches or universally, is superficially eroded and interstitially atrophied. The internal surface of the bowel is coated with a thick layer of dirty grey, tenacious mucus containing numerous yeast

cells and branching mycelium (Bahr), which conceals patches of congestion, of erosion, or even of ulceration, besides such evidences of similar antecedent disease as pigmented areas and thin-scarred, cicatricial patches. The villi and glands are eroded and in many places completely destroyed. Here and there minute spherical indurations, about the size of a pin's head and surrounded by a dark pigmented or congested areola, can be felt in the mucous membrane. On cutting into these, they are found to be minute cystlike dilatations of the follicles filled with a gummy, muco-purulent material. Sections of the diseased bowel (Fig. 83) show under the microscope corresponding changes, such as varying degrees of erosion or ulceration of the surface of the mucous membrane; degeneration of villi, glands, and; follicles; the small mucous cysts referred to; sometimes small abscesses; and, also, infiltration by leucocytes of the basement membrane and submucous layer; and, in the latter, fibro-cirrhotic changes. The mesenteric glands are generally large and pigmented, perhaps fibrotic. The erosion lesions are usually most marked towards the end of the ileum and in the colon; but they may be present in greater or lesser degree universally, or in patches throughout the entire alimentary tract from mouth to anus.
Pathology.— In attempting an explanation of the phenomena of sprue, two features of the disease have to be considered— the catarrhal condition of the alimentary canal, and the absence of the normal colouring matter of the fæces. Possibly one of these is the consequence of the other; possibly the two conditions are concurrent but independent consequences of the same cause. What that cause may be is quite unknown. Whether the first pathological step originates in physiological exhaustion of the digestive functions, brought about by tropical conditions; or whether the disease depends upon a specific organism; or whether there is a combination of these, has still to be settled. In view of the occurrence of morning diarrhœa of dark bilious stools as a frequent first step in the development of sprue, hyperactivity of the liver might be assumed to be a first step in the development of the disease, an activity which in time ends in exhaustion of the chologenic functions of the gland. It might be further suggested that concurrently with this hepatic disturbance there is a similar initial hyperactivity of all the other glands appertaining to digestion, a hyperactivity which also ends in a corresponding exhaustion. Chemical changes in the ingested food would then follow on the establishment of these apeptic conditions, and ultimately, from the formation of acrid chemical bodies, lead to the chronic catarrhal changes found post mortem.
Analyses of the stools in sprue by Wynter Blyth, Hunter, v. der Scheer, Harley, and others resulted in ascertaining the presence of the ordinary elements of bile, notwithstanding their apparent absence so far as lack of colour would indicate. Bile is secreted, but the colouring matter, bilirubin, is not formed, or is changed in the intestine into a colourless substance, leuco-urobilin (Nencki). The excess of fat in the stools would indicate pancreatic disease or destruction of the lacteal capillaries.
Of course, micro-organisms, and especially yeast fungi, abound in the fermenting stools; but hitherto no bacterium or protozoon which could be regarded as specific has been found in association with the disease.
Personally, I incline to regard sprue as the result of a specific infection falling upon structures subserving digestion, exhausted from over-stimulation by certain meteorological conditions. The remarkable effect of physiological rest, as supplied by "the milk treatment," in curing sprue, the relative rarity of the disease in the natives of the endemic area, the occasional latency of the disease, and the tendency to relapse seem to support this hypothesis.
Diagnosis.— The condition of the tongue, the character of the stools, and the history are sufficiently distinctive, one would suppose, to render diagnosis an easy matter. Nevertheless, I have known of cases in which the disease has been diagnosed and treated as syphilis, the condition of the mouth being attributed to this disease, the character of the stools and other symptoms being ignored. Care must be exercised in interpreting the significance of the small area of liver dullness usually found in well -marked cases of sprue. This is not due to cirrhosis of the liver, but to the wasting this organ undergoes in common with the rest of the soft tissues of the entire body. The absence of skin lesions and mental symptoms differentiates sprue from pellagra.
Prognosis is good for recent cases, provided proper treatment is carried out. It is bad for patients over 50, for long-standing cases, for careless and injudicious patients, and for those who cannot or will not take a purely milk diet.
Treatment.— Importance of early and thorough treatment. If treatment be undertaken sufficiently early in sprue, and be thoroughly and intelligently carried out, it is generally marvellously successful. Should, however, it be undertaken at too late a period, when the glands and the absorbing surface of the alimentary canal have been hopelessly destroyed, do what we will the case is sure to end fatally. When prescribing treatment, therefore, the first thing for the physician to do is to get his patient thoroughly convinced of the deadly nature of his complaint; for, unless he receives the hearty and complete co-operation of his patient, the physician must not expect to cure a well-established case. To be successful, treatment must be thorough, sustained, and prolonged. All predisposing causes, as uterine or other discharges, syphilis, scurvy, and the like, must of course be dealt with and, so far as possible, removed.
The milk cure.— By far the most successful treatment is what is known as the " milk cure." In carrying this out it is well to commence with a dose of some aperient— castor oil or pulvis rhei compositus. Pending the action of the drug, all food, including milk, should be withheld. The patient should be sent to bed in order to economize strength and maintain an equable warm temperature of the skin. He should also be directed to clothe warmly, to encircle the abdomen with a broad flannel binder, to cover his arms and shoulders with a warm jacket, and to live in a large, sunny, warmToom. When the purgative has acted the milk is begun. At first 60 oz. at most are allowed in the twenty-four hours, small quantities being given every hour or every two hours. When the patient is very weak the feeding must be continued during the night. The milk should not be drunk, but sipped with a teaspoon, or taken through a straw or fine glass tube, or from a child's feeding-bottle. As a rule, on this regimen, in the course of two or three days, the patient's condition is very much improved. The stools have increased in consistency— are solid perhaps, the distension of the abdomen has subsided, dyspeptic symptoms have vanished, and the mouth is much less tender and less inflamed. The quantity of milk should now be increased at the rate of half a pint a day or every second day, until 100 oz., or thereabouts, are taken in the twenty-four hours. It is well to keep at this quantity for ten days at least, when, everything going well, a gradual increase to 6 or 7 pints may be sanctioned. Up to this point the patient should keep in bed; but when he has reached this quantity he may get up and, if he feels strong enough and the weather is mild, go out of doors. For six weeks, dating from the time the stools become solid and the mouth free from irritation, no other food or drink whatever should be permitted. A raw egg, if it is found to agree, may now be added to the milk; later, some artificial malted food; next, small quantities of well-boiled arrowroot, rusks, pulled bread, thin bread (stale) and butter, or other digestible form of starchy food; later still, chicken broth, a little fruit; and, by and by, fish and chicken may be gradually introduced.
Importance of prompt treatment of threatened relapses.— Should, however, the slightest sign of dyspepsia or flatulence, especially of diarrhœa, or of sore mouth show itself, then the extra food must be discontinued immediately, a dose of compound rhubarb powder or castor oil administered, and the patient be sent back to bed and placed once more at absolute rest and on a pure milk diet. In convalescents, no matter how long the acute symptoms have been in abeyance, this prompt recognition and treatment of threatened relapse should be rigorously observed. This is a rule of the utmost value and importance. Procrastination in treatment, under these conditions, is exceedingly dangerous. Promptitude in recognizing and treating relapse not only saves time, but it may avert hopeless intestinal atrophy.
Symptoms persisting.— In commencing this treatment, if the patient after two or three days be found unable to digest and assimilate so much as 3 pints of milk in the twenty-four hours, the daily allowance must be reduced by half a pint a day until 30 oz. or thereabouts only are taken. If now the motions become solid, the quantity of milk must be gradually increased by 5 or 10 oz. a day, so that in the course of a few weeks the full allowance— 6 or 7 pints— is consumed.
How to meet inadequate assimilation.— It sometimes happens that the quantity of milk can be raised to 70 or 80 oz. per diem, but no higher, further increase bringing on sore mouth, distension, and diarrhœa. In some of these cases the difficulty appears to depend not so much on digestion as on inability to absorb a large quantity of fluid. Occasionally, in such cases, one may succeed in getting the necessary amount of nutriment introduced by thickening the milk with condensed milk; or by slowly evaporating fresh cow's milk so as to reduce its bulk without diminishing the solids (Thin). The evaporation is best done in a vessel like a glue-pot, in which the milk is not boiled, but is surrounded by a jacket of boiling water; the milk during the process must be constantly stirred to prevent the formation of a scum. Or the milk diet may be supplemented by an adequate allowance of raw or underdone meat.
Other forms of giving milk.— Digestion is sometimes aided by peptonizing the milk; or by mixing it with lime-water or a little salt; or by aerating it in a soda-water siphon. Koumiss sometimes agrees for a time when ordinary milk fails, and, if necessary, should be tried. Similarly, white wine whey is occasionally digested when milk is not; it is often of great service, especially when an alcoholic stimulant is indicated.
Fruit treatment.— The value of fruit in the treatment of sprue and other forms of intestinal disease has long been recognized by a limited number of practitioners, particularly abroad. It is only lately that it has obtained any hold on medical opinion in England. I have long been in the habit of prescribing bananas and apples, tentatively of course, in these cases, and often with marked success. Of late repeated trials of the strawberry in sprue have confirmed me in my belief in the value of the fruit treatment, and in the strawberry treatment in particular. The plan I follow is to give one or two strawberries with each feed of milk, and, if found to agree, to increase the number gradually until 2 to 3 lb. are taken daily. Preserved fruits, particularly peaches and pears, make suitable substitutes if strawberries or bananas are not obtainable. The bael fruit or Bengal quince (Ægle marmelos), introduced by Fayrer in the treatment of this disease, seems to exert a very beneficial effect in the countries (Ceylon and India) where it can be procured in a fresh state. Extracts, such as those sold in this country, appear to be inert. The ripe fruit should be scraped out of the hard exterior shell, and eaten raw with sugar and cream. Two or three fruits, depending on their size, may be given every day.
Treatment with meat juice and underdone meat.— Occasionally symptoms persist or become aggravated under this system of treatment, and one is forced to conclude that milk does not suit the patient. In such cases raw-meat juice will often prove an efficient substitute. The juice of 4 or 5 lb. of fresh lean meat, and a little water to allay thirst, may be taken in small quantities at short intervals daily. After a time, when the stools are reduced in number and quantity, although perhaps not quite solid, scraped meat, or very much underdone meat, and by and by a little charred toast, a plain rusk or biscuit, and so forth, may be gradually added to the diet. Meat and warm water diet.— Not infrequently, after the stools have become solid under a carefully regulated pure milk diet, it is found that any attempt to return to ordinary food, or to take anything beyond the most simple farinaceous dishes, is quickly followed by a recurrence of diarrhœa and the familiar flatulent dyspepsia. Such cases are sometimes successfully treated by a complete abandonment of milk, fruit, and farinaceous stuffs for a time, and placing the patient on what is known as the " Salisbury cure." This is a diet consisting only of meat and warm water. Commencing with smaller quantities, in time the allowance of meat is gradually raised to about 3 lb. per diem, taken at equidistant intervals in three or four meals. The meat must be of good quality, free from fat, coarse fibre, and gristle; it may be prepared as mince, or in the form of steak or chop, not too much cooked. Warm water, amounting in all to 4 pints in the twenty-four hours, is drunk before going to bed and on rising in the morning, and also about two hours before meals —never at meals. This course must be persisted in for six weeks, when ordinary food will be gradually attempted again. I have sometimes found it useful in cases of relapsing sprue to make the patient fast systematically one day a week, feeding him on that day with milk only. Sometimes, in cases of active sprue, I have found benefit by intermitting the pure milk diet for a day or two every week, and on these days feeding the patient on minced meat and hot water only.
Nutrient enemata or suppositories.— In all grave cases of sprue nutrient enemata or suppositories should be steadily administered every four or six hours. If tolerated they are most valuable aids to nutrition. It is well, when using them, to wash out the rectum once a day with cold water.
These methods of treatment— followed by a carefully selected and increasing mixed diet, combined with warmth and rest— are in my experience the most successful methods of treating sprue; should they fail, the chances of recovery are poor indeed. Nevertheless, I have seen cases in which, after failure of the most carefully carried- out milk or meat diets, a mixed diet proved successful for a time. In such mixed diets, in fact in all diets in sprue, restriction in the amount is as important, perhaps, as the quality of the food consumed. Food should never be given unless the patient is hungry. It is a great mistake to try to make these patients fat rapidly, or to stimulate the desire for food by encouraging active exercise. The bowel is not in a condition to deal with large meals.
When to send the patient to Europe.— When sprue develops in the tropics, if feasible the patient should be sent to Europe as soon as possible. It is a mistake, however, to ship an invalid with his disease active on him, or if his end is manifestly not very far off. Diarrhœa should not be active when the patient is put on board ship. In every case provision, such as a cow or an abundant supply of sterilized milk, should be made for carrying on treatment during the voyage.
The clothing and general management.— Sprue patients returning to Europe ought to be especially careful in their clothing, and they ought to get out their warm clothes before the ship leaves the tropics. If their return is during the winter, they should arrange to remain in the south of Europe till at least late spring. Next to an unsuitable dietary, perhaps cold is the most prejudicial influence to which a sprue case can be exposed. A sprue patient ought never to feel cold; he ought always to wear thick flannels, thick stockings, and, when up and about, thick boots. In winter a chamois-leather waistcoat, provided with sleeves, is of great service. His rooms ought to be warm. He ought to eat very sparingly. He ought never to be fatigued; he ought to go to bed early and rise late; in fact, he ought to do everything in his power to avoid irritating the bowel, to guard against chill, physiological depression, and the necessity for copious eating.
During the summer England is suitable enough as a residence; but during the cold winter and spring months some milder, drier, and more sunny climate must be sought out.
Drugs in sprue.— Experience soon teaches one to distrust medicines in sprue. Occasionally a gentle aperient or, if diarrhœa is watery and excessive, a few drops of laudanum are of service; but active drugging of all sorts is, as a rule, in the highest degree prejudicial. If the mouth is very painful, cocaine— 5 gr. to the ounce— brushed on before eating will deaden sensibility and, for a time at all events, relieve suffering. Flatulence and diarrhœa of acid stools are best relieved by full doses of sodium bicarbonate. Constipation must be carefully avoided, and a simple enema used if necessary.
I think it right to state that two methods of drug treatment seem, in some cases, to have been followed by good results. One, advocated by Dr. Begg, late of Hankow, consists " in the administration of repeated doses of yellow santonin. He recommends one or two doses of castor oil to commence with, and, thereafter, 5 gr. of santonin in a teaspoonful of olive oil once or twice a day for a week, diet being at the same time attended to. The other method has gained for an irregular practitioner in Shanghai some reputation. It consists in the repeated administration of purgatives, alternately with or before the exhibition of large quantities— two teaspoonfuls at a time —of some form of carbonate of lime, believed to be powdered cuttlefish bone or powdered crabs' eyes. I have tried the santonin treatment without benefit to patients. I have also used cuttlefish bone; in one case with the result of permanently stopping the diarrhœa but not of arresting the progress of the disease. In this case, although diarrhœa was most effectively checked, yet massive solid stools continued to pass. After a few weeks the patient died from asthenia, notwithstanding a liberal diet, which apparently was digested but not absorbed.
Of late I have been in the habit of using intramuscular injections of very minute doses of arseniate of iron. In some instances the benefit from these injections has been prompt and marked. I would recommend their employment in every case of sprue in which anæmia is pronounced.
The sprue patient, if possible, ought not to return to the tropics. If compelled by circumstances to do so, he must exercise the utmost care with regard to his health, and avoid exposure, fatigue, cold bath, alcohol, and all excesses; take a minimum of, or avoid altogether, red meat; purge gently, and go on. absolute milk diet on the slightest sign of relapse.
- ↑ * Considering the frequency of pellagra in Barbados at the present day, it is not improbable that some of the cases of diarrhœa with sore mouth were examples of that disease.