Vasa nervorum
Los vasa nervorum (del latín vasa: vasos y nervorum: de los nervios; es decir: vasos de los nervios) son ductos diminutos que proveen sangre a los nervios periféricos.
| Vasa nervorum | ||
|---|---|---|
![]() | ||
| Nombre y clasificación | ||
| Sinónimos |
| |
| Latín | [TA]: vasa nervorum | |
| TA | A12.0.00.029 | |
| Gray | pág.728 | |
| Información anatómica | ||
| Sistema | Vascular periférico | |
| Nervio | Terminales adrenérgicos | |
|
| ||
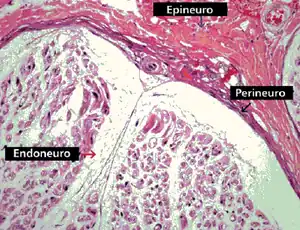
Anatomía

Los vasa nervorum son estructuras vasculares múltiples, que aseguran la llegada de oxígeno y nutrientes a las células nerviosas localizadas en las capas más internas de los nervios.[1] Estos vasos delgados ingresan al nervio a través de su capa más externa, el epineuro. [2] Los vasa nervorum se profundizan, perforan el perineuro e ingresan en los fascículos nerviosos individuales donde corren en su mayor parte, paralelos con las fibras. Estos vasos largos están conectados juntos, a través de vasos comunicantes transversos cortos. [3]

Condiciones patológicas relacionadas
Los vasos pequeños como los vasa vasorum y los vasa nervorum son particularmente susceptibles a compresión mecánica externa.[2] El desarrollo de la neuropatía diabética se ha atribuido a una disminución del flujo sanguíneo a través de los vasa nervorum. La arteritis de estos vasos provoca neuropatía periférica o polineuropatía. [4] La oclusión de vasa nervorum en las arteriolas epineurales propicia isquemia de los nervios y provoca neuropatía vascular [4] [5] y se le ha considerado la causa de algunos casos de parálisis del nervio facial. [4] Durante diagnósticos invasivos o tratamientos terapéuticos, la inyección de un vasoconstrictor en la cercanía de los nervios puede reducir la perfusión a sus vasos de suministro, lo cual implica riesgo de daño neural isquémico. [6]
Véase también
Referencias
- Color atlas of neurology. Stuttgart [u.a.]: Thieme. 2004. p. 90. ISBN 9781588901910.
- Moore, Keith L.; Agur, Anne M.R.; Dalley, Arthur F. (2010). Clinically oriented anatomy (6 edición). Lippincott Williams & Wilkins, Wolters Kluwer. p. 50. ISBN 9781605476520.
- Gray, Henry (1918). «Neurology Structure of the Nervous system». Anatomy of the human body. p. 728.
- Hellmann (2007). Imboden; Stone; David, eds. Current rheumatology diagnosis & treatment (2a edición). Lange Medical Books/McGraw-Hill, Medical Pub. Division. ISBN 9780071460408.
- Said, G (noviembre de 1997). «Necrotizing peripheral nerve vasculitis.». Neurologic Clinics 15 (4): 835-48. PMID 9367967. doi:10.1016/s0733-8619(05)70350-9.
- Chelly (2009). Jacques E., ed. Peripheral nerve blocks : a color atlas (3a edición). Philadelphia, PA: Wolters Kluwer Health/Lippincott Williams & Wilkins. p. 214. ISBN 9780781768764.
Enlaces externos
- Esta obra contiene una traducción parcial derivada de «Vasa nervorum» de Wikipedia en inglés, publicada por sus editores bajo la Licencia de documentación libre de GNU y la Licencia Creative Commons Atribución-CompartirIgual 4.0 Internacional.
