Tumor neuroectodérmico primitivo
El Tumor neuroectodérmico primitivo supratentorial (PNETs) es un tumor maligno de estirpe embrionario ( células neuroepiteliales indiferenciadas o pobremente indiferenciadas). Todos corresponden a un grado IV de la OMS (velocidad de crecimiento tumoral acelerado) afectando principalmente a niños. El 65% se diagnostican en niños menores de 5 años de edad. Corresponde al 2,5 - 6 % de todos los tumores cerebrales en niños. Aunque raro, pueden presentarse también en adultos. No existe predilección de géneros afectando por igual tanto al sexo masculino como al femenino. Histológicamente es indistinguible del Meduloblastoma (otro tumor embrionario maligno) aunque se comporta de forma más agresiva que este y con menor tasa de superveniencia. Suele observarse comúnmente en el cerebro y por ser altamente propenso a su diseminación, podemos encontrarlo en la médula espinal y región supraselar del cerebro (área alrededor del quiasma óptico). El tratamiento de elección es la neurocirugía con adyuvancia de radioterapia y quimioterapia. El diagnóstico definitivo lo confirma la anatomía patológica después de la cirugía.
| Tumor neuroectodérmico primitivo supratentorial | ||
|---|---|---|
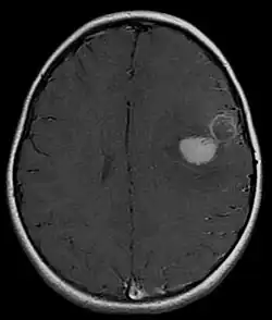
![]() RMN cerebral con contraste de PNETs en niña de 5 años afectando sobre área motora del habla (Broca) con sangrado intraparenquimatoso. | ||
| Sinónimos | ||
| PNET | ||
Características microscópicas y siembras
Tumor muy poco diferenciado con núcleos celulares redondeados e irregulares. Se suelen observar rosetas de Homer-Wright aunque su frecuencia varía de tumor a tumor. Las calcificaciones se suelen identifica en las áreas más degeneradas y en ocasiones incluso pueden observarse áreas con proliferación de endotelio muscular. En un tercio de los pacientes se presentan siembras hacia médula espinal, espacio subaracnoideo y cisterna supraselar.
Subtipos histológicos
Están descritos dos subtipos:
- Meduloepitelioma: raro tumor maligno embrionario. Afecta a niños. Histológicamente caracterizado por conformación papilo-tubular o trabecular de epitelio neuronal simulando el tubo neural embrionario.
- Ependimoblastoma: raro tumor maligno embrionario que afecta a recién nacidos y niños que se caracteriza histológicamente por rosetas en multicapas.
Clínica
La clínica de la persona afectada suele estar causada por el incremento de presión intracraneal (náuseas, cefalea y vómitos, diplopía y ataxia). Según la localización de la lesión, ésta puede determinar diferente tipo de clínica tanto motora (perdía de fuerza de uno u otro lado del cuerpo, afasia)como sensitiva.
Características imagenológicas
Se describe a continuación las características principales observadas en la TAC y la RMN cerebral:
- Tomografía axial computarizada (TAC): masa heterogénea con calcificaciones en el 50-70% de los casos, hemorragia (10%), necrosis (50%) y formación quística. La parte sólida puede observarse hiperdensa (color más blanco respecto al tejido cerebral) aún sin inyección de contraste. Con contrastes suele tener captación heterogénea aunque puede variar.
- Resonancia magnética cerebral (RMN): la parte sólida es isointensa (misma intensidad) comparada con la corteza en el T2WI. Captación moderada de contraste. Se puede observar zonas hemorrágicas y quístcas. siembras en espacio subaracnoideo se suelen observar en el 36% de los pacientes. Reducción de la difusión en DWI. En la Espectroscopia es característico la disminución de NAA y aumento de colina y de lactato/lípido.
Tratamiento
El tratamiento consiste en resección quirúrgica total dentro de lo posible y radioterapia adyuvante, se recomienda irradiación cráneo-espinal con una dosis extra sobre la zona tumoral, en adultos se suele utilizar 55.8 Gy . En ocasiones se precisa de quimioterapia utilizando el mismo régimen terapéutico que en los meduloblastoma (otro tipo de tumor embrionario maligno). Existe evidencia de que la Carboplatina puede sustituirse por el Cisplatino sin pérdida de eficacia y con mejor tolerabilidad por parte del paciente. La Ciclofosfamida y el Etoposide son también potenciales agentes activos a tomar en cuenta. La Meto-idobenzilguanidine se encuentra en etapa de estudio.
Pronóstico
En adultos los tumores neuroectodérmico primitivos tienen una supervivencia del 75% a los 3 años con una media de supervivencia de 86 meses. En niños la supervivencia a los 3 años es del 73% de los afectados y una media de supervivencia de 68 meses.
Referencias
[1] George Samandouras. The Neurosurgeon´s Handbook.Oxford University Press. 2010. pag 442-444. [2] Mark S. Greenberg. Handbook of Neurosurgery. Seventh edition. 2010. pag 686.
