Síndrome de Pancoast-Tobias
El síndrome de Pancoast, síndrome de Pancoast-Tobías, síndrome de Ricaldoni, tumor del vértice superior o síndrome ápico-costo-vertebral es un conjunto de síntomas característicos provocados por la presencia de una tumoración en un vértice pulmonar.
| Síndrome de Pancoast-Tobias | ||
|---|---|---|
| Especialidad | oncología | |
Etiología
Este síndrome es, con frecuencia, consecuencia de la extensión local de un tumor del vértice pulmonar, que acaba afectando a la pared torácica y a la base del cuello. Aunque puede ser de cualquier variedad histológica, el que predomina es el epidermoide a pesar de ser preferentemente de localización central). generalmente comprime las raíces de C7 y las primeras 2 raíces dorsales, por otra parte el adenocarcinoma la causa más frecuente de derrame pleural maligno, "hemorrágico". Otras causas menos frecuentes son metástasis de tumores sólidos, otros tumores intratorácicos, infecciones (bacterianas, fúngicas, tuberculosis e incluso hidatidosis), amiloidosis, y neoplasias de estirpe hematológica.
Manifestaciones clínicas
- Dolor en la cara cubital del antebrazo: Es el síntoma más precoz y se debe a la afectación del octavo nervio cervical y del primer y segundo torácico (síndrome radicular por afectación del plexo braquial). También cursa con dolor en el hombro, braquialgia que característicamente se irradia al borde cubital del brazo. Incluso puede haber atrofia de los músculos de la mano.
- Dolor torácico: Debido a destrucción de la primera y segunda costillas.
- Síndrome de Pourfour du petit.
- Síndrome de Claude-Bernard-Horner: Por afectación del ganglio simpático estrellado. Consta de Enoftalmos, ptosis palpebral, miosis y anhidrosis facial.
- Síndrome de la vena cava superior: Debido a dificultad, por compresión e invasión, del drenaje de la vena cava superior. En función de la circulación colateral existente, la velocidad de instauración y la localización de la obstrucción, la clínica será más o menos evidente. Cursa con disnea, edema de la extremidad superior del cuerpo (cara, cuello y miembros superiores), cianosis y aparición de circulación colateral cutánea.
- Factores de mal pronóstico:
- Diseminación a la base del cuello y pared torácica.
- Infiltración de ganglios mediastínicos.
- Aparición del síndrome de Claude-Bernard-Horner.
- Diagnóstico: biopsia percutánea transtorácica (el síndrome suele estar presente en los estadios II2b IIIa y IIIb con lesión T3 del cáncer de pulmón).
- Supervivencia:
Mediana de supervivencia de 7 a 31 meses
Supervivencia a los 5 años del 20 al 25%
- Metástasis más frecuentes: cerebro
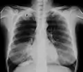
Radiografía de tórax que muestra un tumor de Pancoast (etiquetado como P, carcinoma pulmonar de células grandes, pulmón derecho), de una mujer fumadora de 47 años.
Tomografía computada que muestra un tumor de Pancoast (etiquetado como P, carcinoma pulmonar de células grandes, pulmón derecho), de una mujer fumadora de 47 años.