Pseudoartrosis
Una pseudoartrosis (a veces referida como falsa articulación o no unión) es una fractura ósea que no tiene posibilidades de curar sin intervención.[1] En una pseudoartrosis el organismo percibe a los fragmentos de hueso como si se tratara de huesos separados y no intenta fusionarlos. A menudo esto es a consecuencia de una curación inadecuada luego de la fractura, aunque también puede ser causado por un fallo en el desarrollo. En los Estados Unidos las guías de la Administración de Medicamentos y Alimentos (FDA) permiten un período de hasta 9 meses luego de la fractura, antes de que se considere una intervención para facilitar la unión. A pesar de su nombre, la pseudoartrosis no tiene ninguna relación con la artrosis que es otra enfermedad diferente.
| Pseudoartrosis | ||
|---|---|---|
| Especialidad | reumatología | |
Etimología
La raíz griega "pseudo-" significa "falso" y "arthrosis" significa "articulación". Pseudoartrosis, por lo tanto, significa "falsa articulación". En el caso de una falsa articulación, la fractura no sana, esto a menudo se evidencia por la obliteración de la cavidad medular de un hueso largo en el sitio de no unión. Esta falsa articulación, no funciona como una verdadera articulación y no posee soporte ligamentoso, pero a menudo presenta movimiento y los huesos se remodelan para formar extremos redondeados que semejan una verdadera articulación.
Causas de fallo en la unión (no unión)
- Causas relacionadas al paciente:
- Edad: es común a edad avanzada
- Estado nutricional : cuando el estado nutricional es malo
- Hábitos : consumo de nicotina y alcohol
- Disturbios metabólicos : se asocia a hiperparatiroidismo
- Causas relacionadas con la propia fractura:
- Separación en el sitio de fractura
- Interposición de tejido blando
- Pérdida de hueso en el sito de fractura
- Infección
- Pérdida de suministro sanguíneo
- Daño de los músculos que rodean el sitio de fractura
- Causas relacionadas al tratamiento
- Reducción inadecuada
- Inmovilización insuficiente
- Dispositivos de fijación aplicados en forma inadecuada.
Tipos de no unión
Judet y Judet, Muller, Weber y Cech, y otros clasifican a las no uniones en dos tipos dependiendo de la viabilidad de los extremos y otros factores: no uniones hipervasculares, y no uniones avasculares.
Las no uniones hipervasculares se subdividen en:
- No uniones en "pata de elefante": Este tipo es hipertrófica, rica en callo y se presenta como resultado de una inmovilización inadecuada, una fijación insegura o por permitir que se aplique carga demasiado pronto.
- No uniones en "casco de caballo": Este tipo es medianamente hipertrófica, pobre en callo y es debida a una fijación inestable.
- No uniones oligotróficas: No son hipertróficas, pero son vasculares, no se observa callo y se debe a una fractura severamente desplazada, o a una fijación sin una adecuada oposición de los fragmentos.
Las no uniones avasculares se subdividen en:
- No uniones en cuña con torsión, este tipo tiene un fragmento intermedio con un suministro de sangre disminuido o ausente. Este fragmento puede soldar a uno de los fragmentos principales, pero no al otro.
- Las no uniones conminutas poseen uno o más fragmentos intermedios que se encuentran necróticos.
- Las no uniones por defecto, poseen una brecha o agujero en la diáfisis del hueso debido a la pérdida del fragmento.
- Las no uniones atróficas, por lo general son el resultado final cuando se pierden fragmentos intermedios y el tejido fibroso cicatrizal que se asienta en el lugar carece de potencial osteogénico.
Paley clasifica las no uniones tibiales basadas en sus características clínicas y observables en radiografías. Las de tipo A presentan una pérdida de hueso menor a 1 cm, mientras que las de tipo B presentan una pérdida de hueso mayor a 1 cm. Las de tipo A se subclasifican del modo siguiente: el tipo A:1 o tipo laxo; la no union laxa posee una movilidad limitada, y por lo general algún tipo de deformidad fija, el tipo A:2:1 o no unión rígida sin deformidad y el tipo A:2:2 que es una no unión rígida con deformidad. Las de tipo B se subclasifican en tipoe B:1 defecto óseo sin acortamiento, tipo B:2 acortamiento con o sin brecha y tipo B:3 donde existen ambas, acortamiento y brecha.
Tratamiento
El punto de movimiento puede ser tratado con estimulación eléctrica, lo cual puede desencadenar que las células óseas formen la estructura de hidroxiapatita que evita que el hueso se doble. Más recientemente las pseudoartrosis se tratan con injerto de hueso, fijación interna y externa, incluyendo una técnica originalmente desarrollada por Ilizarov, que se utiliza para comprimir los huesos en el sitio de la fractura.[2] Ilizarov originalmente utilizó rayos de bicicleta, la técnica de marco espacial de Taylor es similar..

Injertos
Se puede utilizar hueso de un donante o se puede hacer un trasplante autólogo de hueso (hueso recolectado del mismo sujeto a la que se le va a realizar la cirugía) para estimular la curación del hueso. La presencia de hueso se piensa que causa que las células madre en circulación y que las propias células de la médula ósea se diferencien para formar cartílago, que luego se convierte en hueso de la misma forma que una cicatriz fibrosa ayuda a la curación en otros tejidos del organismo. El hueso es el único tejido que puede curarse sin formar una cicatriz fibrosa.
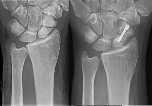
Fijación
Para estabilizar los fragmentos del hueso fracturado se utilizan placas de metal, pernos, tornillos y varillas, que pueden ser atornillados o colocados en el interior del hueso.
Referencias
- Pretell Mazzini, JA. et al. (2009). Rev. Med. Hered, ed. «Trastornos de la consolidación:Retardo y pseudoartrosis» (PDF).
- Niedzielski K, Synder M (2000). «The treatment of pseudarthrosis using the Ilizarov method». Ortop Traumatol Rehabil 2 (3): 46-8. PMID 18034140.
Enlaces externos
Wikimedia Commons alberga una categoría multimedia sobre Pseudoartrosis.- E-radiography
- AAOS