Prostatitis
La prostatitis es una inflamación de la próstata. Comprende un conjunto de síndromes, enfermedades y trastornos funcionales que afectan a la próstata o al área perineal con una sintomatología similar y con una etiología en algunos casos desconocida.
| Prostatitis | ||
|---|---|---|
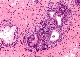
![]() Micrografía mostrando una glándula prostática inflamada, el correlato histológico de la prostatitis. A la izquierda de la imagen se observa una glándula normal no inflamada. Tinción hematoxilina-eosina. | ||
| Especialidad | urología | |
Suele aparecer en adultos jóvenes o varones de edad media. Es la infección urinaria más frecuente en el varón entre la segunda y cuarta décadas de la vida.
Para el diagnóstico se recurre a análisis de orina, de sangre, tacto rectal con masaje prostático para la obtención de secreción prostática, ecografía transrectal de próstata y en pocos casos se recurre a la biopsia, TAC o RMN.
Tipos de prostatitis
Existen distintos tipos de prostatitis:
Prostatitis aguda (tipo I)
La prostatitis aguda es un tipo de infección bacteriana aguda frecuente, que se diagnostica fácilmente y que suele responder bien al tratamiento antibiótico. El cuadro clínico se caracteriza por aparición súbita con fiebre alta, escalofríos o tiritonas, malestar general, lumbalgias e intensas molestias miccionales que pueden llegar a la retención aguda de orina.
En la orina es frecuente encontrar piuria, bacteriuria y hematuria. Al tacto rectal la próstata está blanda, dolorosa y congestiva; puede aparecer exudado purulento por meato uretral. Debe evitarse un tacto rectal agresivo por la posibilidad de una sepsis. En plasma el nivel de PSA suele estar elevado.
Los gérmenes comunes encontrados en los cultivos son Escherichia coli, Enterococo, Klebsiella pneumoniae, Proteus mirabilis, Pseudomona aeruginosa y Staphylococcus aureus. La infección cede rápidamente con antibióticos que se deben mantener un tiempo relativamente largo entre seis y ocho semanas.
La prostatitis aguda bacteriana puede estar originada por una enfermedad de transmisión sexual, aunque también es muy frecuente en los pacientes con hiperplasia benigna de próstata, tras una infección urinaria.
Tiene una incidencia de 1-2 casos cada 10 000 varones.
La infección bacteriana abarca el 5 al 10% de todos los casos de prostatitis. Por lo tanto, podemos decir que el 90 al 95% de los hombres con síntomas no tienen bacteria.
Prostatitis crónica bacteriana (tipo II)
La prostatitis crónica se caracteriza por síntomas que tienen un inicio insidioso con polaquiuria y urgencia miccional, sensación de “quemazón” uretral o disuria y a veces febrícula, a lo largo de meses en la mayoría de los pacientes.
A menudo hay enrojecimiento del meato uretral y de la mucosa circundante, y algo de secreción indicativa de uretritis. Muchos pacientes refieren chorro miccional fino y goteo postmiccional; dolor vago impreciso de variable intensidad y la sensación de frialdad o pesadez perineal es una manifestación común en estos pacientes. La localización que repiten es en el periné profundo, áreas inguinales, suprapúbico, escroto y pene; todo de manera muy vaga e imprecisa. El dolor al final de la eyaculación o la hemospermia también se repite en sus manifestaciones y puede alterar su vida sexual.
Al tacto rectal aparece una próstata blanda o fibrótica, a veces con cierta crepitación y consistencia granular debido a la presencia de gránulos. A veces en la gran mayoría de los pacientes el tacto rectal es normal. En la secreción prostática pueden aparecer leucocitos polimorfonucleares y macrófagos. A menudo también hay abundante descamado de células epiteliales de los acinis o ductos prostáticos. El masaje prostático produce una secreción de entre 0,1 y 1 cm³. Para evitar la contaminación de la uretra, se le pide al paciente que orine antes del masaje.
La secreción es exprimida y extendida sobre un porta, teñida y observada al microscopio.
La biopsia de próstata no está indicada en el diagnóstico del paciente sospechoso de prostatitis crónica, ya que ésta es usualmente focal y no palpable. Sí está indicada cuando se palpan áreas sospechosas (para diferenciar un tumor de una prostatitis crónica granulomatosa, por ejemplo).
La prostatitis bacteriana crónica se caracteriza por la presencia en la fracción prostática, orina postmasaje o semen, de una o más bacterias gramnegativas que no crecen en las fracciones inicial o media de la orina.
Los microorganismos identificados en la prostatitis bacteriana crónica son:
- Bacilos aerobios gramnegativos: Escherichia coli; enterobacter; Pseudomonas; Klebsiellas.
- El papel de los bacilos grampositivos es dudoso.
- Sigue habiendo debate con Ureaplasma urealyticum un microorganismo ampliamente distribuido en el tracto reproductor masculino– y Clamidia tracomatis ya que se ha demostrado que es causante de la mayoría de uretritis y epididimitis en varones por debajo de los 35 años. Se han encontrado asimismo elevados niveles de IgA específica para clamidias en el 45% de los eyaculados de varones con síntomas de prostatitis no bacteriana.
La prostatitis crónica puede deberse a una prostatitis bacteriana que no se ha curado bien, a una inflamación crónica de la próstata o al estrés (que contrae los músculos del suelo pélvico) y la actividad sexual irregular de forma continuada, con la retención de la eyaculación.
Prostatitis crónica abacteriana y prostatodinia (tipo III)
La prostatitis abacteriana es la presencia de polimorfonucleares en la secreción prostática visualizados al microscopio, con cultivos negativos. La prostatodinia no presenta ni polimorfonucleares ni cultivo positivo. La mayoría de los pacientes que consultan al médico presentan prostatitis abacteriana y prostatodinia.
Los hombres con esta condición sufren de molestias en el periné, o dolor en pene, testículos, área perianal, escroto, suprapúbico, etc. durante la micción o fuera de ella. En estudios urodinámicos se observa una anormal contractura del esfínter externo –estriado– de la uretra, flujos miccionales bajos y disinergia de los músculos de la micción (ausencia de relajación del esfínter durante la micción). Este trastorno se cree que está relacionado con un dolor muscular por tensión del suelo pelviano, dependiente del estímulo simpático. Su patogenia no está completamente clara, con un componente psicológico importante, y la respuesta al tratamiento es variable.
Tratamiento de la prostatitis
Prostatitis aguda bacteriana
Como la prostatitis aguda bacteriana es una bacteriemia de origen prostático, se debe tratar con antibióticos. Dado que generalmente se debe a bacilos gramnegativos, se opta por antibióticos bactericidas preferiblemente por vía intramuscular o intravenosa por tener una mejor biodisponibilidad: aminoglucósidos, cefalosporinas de tercera generación, monobactámicos, quinolonas fluoradas,y sulfas... Además del tratamiento etiológico, los antipiréticos, analgésicos y antiinflamatorios serán de gran utilidad. Hay que considerar que durante la inflamación aguda la barrera hematoprostática –membrana lipoepitelial– está alterada, por lo que la difusión de los antibióticos es buena. En 24-48 horas el cuadro clínico revertirá y tras un tratamiento de 12-14 días, la membrana lipoepitelial se recompondrá y difundirá entonces peor los antibióticos; será el momento en que haya que utilizar antibióticos con buena difusión prostática: quinolonas fluoradas orales y doxiciclina, para continuar el tratamiento durante 6-8 semanas más.
Prostatitis abacteriana/prostatodinia
No existe un tratamiento único para este cuadro y se considera dentro del grupo de patologías heterogéneas que causan dolor pélvico crónico en hombres. Como tratamiento no farmacológicos se destaca la educación, fisioterapia y psicoterapia. Como tratamientos farmacológicos: Alfabloqueantes, Fitoterapia, Inhibidores de la 5 alfa reductasa, Antiinflamatorios, Toxina botulínica, entre otros. Los antibióticos no son recomendados rutinariamente.
Prostatitis granulomatosa
Dentro de las formas atípicas de la prostatitis, la prostatitis granulomatosa merece una atención especial. Su etiopatogenia no está claramente establecida. Se han implicado microorganismos como Micobacterium tuberculosis, hongos (blastomicosis, coccidioidomicosis, cryptococcosis o histoplasmosis). Hay que resaltar que el tacto rectal es muy sospechoso y se confunde con un carcinoma de próstata que sólo la biopsia diferenciará. También merece interés porque una gran parte de pacientes con tumores uroteliales vesicoprostáticos son tratados con inmunoterapia BCG (Bacilo de Calmette y Guerin) en instilaciones endovesicales que en la próstata originan una respuesta tipo granulomatoso.
