Oligodendroglioma
Los oligodendrogliomas son un tipo de glioma que se cree que se origina de los oligodendrocitos o de células precursoras de la neuroglía. Son de crecimiento lento y rara vez producen metástasis a otros tejidos.
| Oligodendroglioma | ||
|---|---|---|
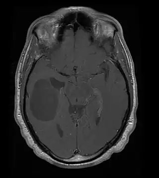
![]() Oligodendroglioma (zona hipodensa u oscurecida de la izquierda), resonancia magnética. | ||
| Especialidad | oncología | |
Ocurren predominantemente en personas adultas de unos 40 años y rara vez se ven en niños. Constituyen aproximadamente un 9% de los tumores primarios del cerebro y un 15% de los gliomas.
Por lo general, siguen una evolución más benigna que los astrocitomas y responden mejor a la terapia con agentes citotóxicos. Se asocian con una sobrevida de 5 y 10 años de un 50% y 30% respectivamente.[1]
Causas (etiología)
No se conocen las causas de la aparición de un oligodendroglioma, aunque algunos estudios han encontrado evidencias de una asociación con causas virales. Un caso fue reportado de un oligodendroglioma asociado a irradiación de un adenoma de la glándula pituitaria.[2] El trastorno genético más común es la deleción de los brazos del cromosoma 1 y 19.[3]
Cuadro clínico

La mayoría de los casos se presentan por un cuadro convulsivo. Los oligodendrogliomas ocurren principalmente en el lóbulo frontal afectando la personalidad. La hipertensión endocraneana se combina con dolor de cabeza, uno de los síntomas del tumor. Otros eventos inducidos por un oligodendroglioma incluyen visión borrosa, debilidad motora y disminución cognitiva.
Cuando hay células con forma de "huevo frito", es seguro que se trata de un oligodendroglioma.
Véase también
Referencias
- Harrison Principios de Medicina Interna 16a edición (2006). «Tumores cerebrales primarios». Harrison online en español. McGraw-Hill. Archivado desde el original el 27 de octubre de 2008. Consultado el 17 de julio de 2008.
- Chun-I Huang, et. al., Oligodendroglioma occurring after radiation therapy for pituitary adenoma, Journal of Neurology, Neurosurgery, and Psychiatry 1987;50:1619-1624, http://www.pubmedcentral.nih.gov/picrender.fcgi?artid=1032603&blobtype=pdf
- Allelic losses at 1p36 and 19q13 in gliomas: correlation with histologic classification, definition of a 150-kb minimal deleted region on 1p36, and evaluation of CAMTA1 as a candidate tumor suppressor gene, Barbashina V, et.al., Clin Cancer Res. 2005 Feb 1;11(3):1119-28, http://clincancerres.aacrjournals.org/cgi/content/full/11/3/1119
