Nevo azul
Un nevo azul[1] (también llamado nevo cerúleo, nevo de Jadassohn) es una pequeña mancha o pápula pigmentada adquirida, de bordes definidos, que está constituida por acúmulos de células névicas cargadas de melanina. De naturaleza benigna y consistencia firme, se diferencia del nevo melanocítico, más común (lunar), por ser de color gris o azul oscuro, debido a su localización dérmica. Pueden localizarse en cualquier zona del cuerpo, aunque es más frecuente en dorso de manos y pies.[2]
| Nevo azul | ||
|---|---|---|
![]() | ||
| Especialidad |
oncología dermatología | |
Epidemiología
Aparecen con igual frecuencia en ambos sexos, pero algo más tarde (al final de la adolescencia) que los nevos melanocíticos.
Cuadro clínico
Es de aparición gradual y asintomática. Suele tener menos de 10 milímetros de diámetro y en ocasiones presenta una pigmentación en diana (más claro en el centro). Suele permanecer sin cambios a lo largo de la vida del individuo, aunque a veces remiten espontáneamente.
Diagnóstico diferencial
Debe hacerse un diagnóstico correcto, diferenciándolo de otras lesiones dérmicas similares como el dermatofibroma o el tumor glómico.
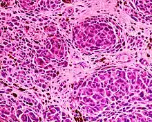
Imagen histológica de un nevo azul celular (2x)
Nevo azul
Nevo azul epitelioide (10x)
Forma maligna de un nevo azul. Todos los cortes histológicos están en la tinción hematoxilina-eosina.
Tratamiento
Al igual que los lunares comunes solo precisan ser extirpados si se produce en ellos algún cambio sugestivo de malignización.
Referencias
- Real Academia Nacional de Medicina. «nevo azul». dtme.ranm.es. Consultado el 17 de febrero de 2023.
- A. Osioa; M. Battistella: Le nævus bleu et ses variantes. Blue naevi and variants. Annales de Dermatologie et de Vénéréologie, Volume 139, Issue 10, October 2012, Pages 677–680
Bibliografía
- Fitzpatrick TB, Johnson RA. (1994, 2ª ed.). Atlas de Dermatología Clínica. Mc. Graw-Hill. Interamericana, Madrid. ISBN 968-25-2046-0.
