Neuroergonomía
La Neuroergonomía es la aplicación de la neurociencia a la ergonomía. Estudios ergonómicos tradicionales se basan en gran medida en las explicaciones psicológicas para los estudios de los factores humanos tales como: seguridad, tiempo de respuesta, y las lesiones por esfuerzo repetitivo. La neuroergonomía, por el contrario, se basa en explicaciones y métodos biológicos para mejorar el rendimiento.
Visión de conjunto
La neuroergonomía tiene dos grandes objetivos: utilizar conocimientos existente emergentes/ de la actuación humana y la función cerebral y diseñar sistemas para un funcionamiento más seguro y eficiente para avanzar en esta comprensión de la relación entre la función y el rendimiento cerebral en tareas del mundo real.
Para cumplir con estos objetivos, la neuroergonomía combina dos disciplinas - la neurociencia, el estudio de la función cerebral y los factores humanos. El estudio de cómo la tecnología incide en las capacidades y limitaciones de las personas para que puedan trabajar con eficacia y seguridad. El objetivo de la fusión de estos dos campos es utilizar los descubrimientos sorprendentes del cerebro humano y el funcionamiento fisiológico, tanto para informar el diseño de las tecnologías en el lugar de trabajo y el hogar, como para proporcionar nuevos métodos de entrenamiento que mejoran el rendimiento, amplien las capacidades y optimizar el ajuste entre personas y la tecnología.

La investigación en el área de neuroergonomía ha florecido en los últimos años con la aparición de técnicas no invasivas para el seguimiento de la función del cerebro humano que pueden ser utilizadas para estudiar diversos aspectos de la conducta humana en relación con la tecnología y el trabajo, incluyendo la carga mental, fatiga mental, atención visual, la memoria de trabajo, el control motor, la interacción hombre-máquina, y la automatización adaptativa. En consecuencia, este campo interdisciplinario se refiere a las investigaciones del sistema neuronal, la percepción humana, el conocimiento y el rendimiento en relación con los sistemas y tecnologías de la vida real - por ejemplo, en el uso de PC´s y otras máquinas en casa o en el lugar de trabajo, y en vehículos como aviones, automóviles, trenes y barcos.
Algunos estudios han demostrado la promesa de usar estimulación magnética transcraneal (TMS) y estimulación transcraneal con corriente directa (TDCS) para mejorar las habilidades cognitivas durante las tareas. Aunque se usa inicialmente para tratar diversos trastornos neurológicos como la enfermedad de Parkinson o la demencia, el alcance de TMS se está expandiendo. En TMS, la electricidad pasa a través de una bobina magnética que se coloca cerca del cuero cabelludo de la persona. Los resultados de los estudios muestran que la estimulación cerebral no invasiva conduce a 20 minutos más de rendimiento de la vigilancia sostenida.[1]

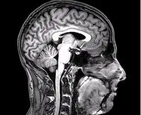
Neuroimagen y la carga de trabajo mental
Un componente importante de los estudios neuroergonomicos ha sido la neuroimagen. Hay dos formas en que se utilizan los métodos de neuroimagen. La primera manera es para mostrar procesos metabólicos cerebrales asociadas con la actividad neuronal con el uso de una resonancia magnética funcional (fMRI) y la sonografía Doppler transcraneal (TCD). Una resonancia magnética funcional permite a los investigadores localizar la actividad neuronal en el cerebro. Una de las principales ventajas de fMRI es el hecho de que es un método de exploración no invasiva. Antes de la invención de la fMRI, métodos tales como la tomografía por emisión de positrones requería de la inyección de un trazador radioactivo.[2] La segunda forma en que se utiliza la neuroimagen, es identificando el momento del procesamiento neural, con el uso de electroencefalografía (EEG) y potenciales relacionados con eventos (ERPs).
Con el uso de un fMRI, la carga mental se puede cuantificar por un aumento en el flujo sanguíneo cerebral en regiones de la corteza prefrontal (PFC). Muchos estudios de resonancia magnética funcional muestran que hay un aumento de la activación de PFC durante una tarea de memoria de trabajo. La importancia de realizar medición de la carga de trabajo mental radica en que se puede evaluar el estado de vigilancia de un operador, es decir, su nivel de atención y fatiga mental. Usando TCD para controlar la velocidad del flujo sanguíneo en las arterias intercraneal, se ha demostrado que una disminución en el flujo de sangre se asoció con una disminución de la vigilancia y el agotamiento de recursos cognitivos.[3]
Automatización adaptativa
La automatización adaptativa, es un novedoso concepto neuroergonómico, que se refiere a la evaluación en tiempo real de la carga de trabajo del operador en un sistema humano-máquina, para realizar los cambios necesarios para mejorar el rendimiento. Para la automatización de adaptación al trabajo, el sistema debe utilizar un clasificador de estado del operador preciso para la evaluación en tiempo real. Clasificadores de estado del operador tales como el análisis discriminante y redes neuronales artificiales (ANN) muestran una precisión de 70% a 85% en tiempo real. Una parte importante a la correcta aplicación de automatización adaptativa es averiguar qué tan grande una carga de trabajo tiene que ser para requerir intervención. La implementación de la automatización adaptativa neuroergonómica requeriría el desarrollo de sensores no intrusivos e incluso técnicas para rastrear el movimiento de los ojos. La investigación actual en la evaluación del estado mental de una persona incluye el uso de electromiografía (EMG) facial para detectar confusión.[4]
Los experimentos muestran que un equipo humano-robot, tiene un mejor rendimiento en el control de vehículos aéreos y terrestres que cualquier equipo de seres humanos o un robot (es decir, el sistema de reconocimiento automático). En comparación con el 100% del control humano y automatización estática, los participantes mostraron una mayor confianza y seguridad en sí mismo, así como una menor carga de trabajo percibida, al utilizar la automatización adaptativa.[5]
En la automatización adaptativa, conseguir que la máquina razone con precisión la forma de responder a los cambios y llevar al máximo el rendimiento es el mayor desafío. La máquina tiene que ser capaz de determinar en qué medida se deben hacer los cambios. Esta es también una consecuencia de la complejidad del sistema y factores tales como: la facilidad con que se puede cuantificar el parámetro detectado, cuántos parámetros en el sistema de la máquina se pueden cambiar y lo bien que se pueden coordinar los diferentes parámetros de la máquina.
Referencias
- R. Andy, M., Nathaniel, B., Craig M., W., & Jeremy, N. (n.d). Modulating the brain at work using noninvasive transcranial stimulation. NeuroImage, 59 (Neuroergonomics: The human brain in action and at work), 129-137.
- Kalbfleisch, M. (2008). Getting to the Heart of the Brain: Using Cognitive Neuroscience to Explore the Nature of Human Ability and Performance.Roeper Review, 30(3), 162-170.
- Parasuraman, R. (2008). "Putting the brain to work: Neuroergonomics past, present, and future". Human Factors, 50(3), 468-474.
- Durso, F. T. (2012). "Detecting Confusion Using Facial Electromyography". Human Factors, 54(1), 60-69.
- de Visser, E., & Parasuraman, R. (2011). Adaptive aiding of human-robot teaming: Effects of imperfect automation on performance, trust, and workload. Journal Of Cognitive Engineering And Decision Making, 5(2), 209-231.