Mucocele

En medicina, un mucocele, también conocido como fenómeno de extravasación mucosa es una tumefacción de tejido conjuntivo, principalmente por colección de mucina proveniente de una ruptura del conducto de una glándula salival, usualmente causado por un trauma local. Los mucocele tienden a ser de color azulado translúcido, y por lo general se encuentran en niños y adolescentes.

Mucocele

Mucocele del labio inferior
Especialidad cirugía oral y maxilofacial
Sinónimos
  • Quiste de retención mucosa
  • Ránula
  • Épulis

Etiología

Un mucocele no es un quiste verdadero porque su revestimiento no está constituido por epitelio. Por lo tanto, un mucocele es una extravasación que resulta por ruptura de una glándula salival. Al romperse la glándula salival, se libera mucina hacia el tejido peri-glandular que rodea a la glándula, causando las características histológicas,

A pesar de que en la mayoría de los casos el mucocele se produce por extravasación (en un 90% aproximadamente), este también puede ser causado por retención o enquistamiento, debido a una obstrucción del conducto glandular con una disminución o ausencia de actividad y secreción glandular.

Localización

La ubicación más frecuente para encontrar un mucocele es la superficie del labio inferior, aunque puede encontrarse también en el labio superior. Pueden también aparecer en la cara interna de la mejilla—conocida también como la mucosa yugal—en la cara anterior y ventral de la lengua y en el piso de la boca. En este último caso, el mucocele recibe el nombre de ránula. También es posible encontrar mucoceles en sitios ectópicos, como por ejemplo, en la cara dorsal de la lengua. La etiología de éste, además de la ruptura del conducto de una glándula salival es un trauma ocasionado por las indentaciones de las piezas dentarias premolares y molares mandibulares.

Clasificación

Desde el punto de vista patogénico, etiológico e histológico, se acepta la existencia de dos tipos de mucoceles de las glándulas salivales:

  • Mucocele por extravasación:

Representa la forma más frecuente de este tipo de lesión y en la mayor parte de los casos afectan a pacientes entre los 10 y 30 años, siendo causados por ocurrencias traumáticas como mordeduras, microtraumas por aparatología ortodóncica o como complicación de alguna intervención quirúrgica. Como consecuencia de esto, la ruptura o el seccionamiento de un ducto salival produce una extravasación de los túbulos circundantes.

  • Mucocele por retención:

Representa la forma menos frecuente de este tipo de lesiones; afecta a pacientes con más de 40 años de edad. El mecanismo patológico por el que se producen, está directamente relacionado con una suboclusión de la luz de la glándula debido a una proliferación epitelial en la misma. La oclusión parcial y/o intermitente de la zona distal del ducto glandular degeneraría en un aumento continuo y a veces pequeño de la presión interna de la glándula, que llevaría a la dilatación de las estructuras glandulares.

Cuadro clínico

El tamaño de un mucocele oral varía entre 1 milímetro hasta varios centímetros. A la palpación, los mucoceles tienden a ser fluctuantes, aunque pueden encontrarse los que son firmes. Pueden durar varios días o hasta años en desaparecer y pueden tener hinchazones recurrentes con la continua ruptura de su contenido, en algunos casos recurrentes lo encontramos con un característico color azulado grisáceo.

Variantes

Un variante de un mucocele se ubica en el paladar y en la parte posterior de la boca. Se conoce con el nombre de mucocele superficial, y representa una o varias vesículas que se revientan para convertirse en una úlcera. Aunque sanan al cabo de pocos días, los mucoceles superficiales recurren a menudo en el mismo sitio original.

Diagnóstico

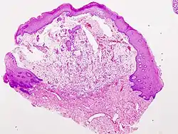
Imagen histológica de un mucocele del labio inferior, tipo extravasación.

El diagnóstico de una masa en el cuello, debe venir apoyado por estudios de imagen específicos —como la ortopantomografía— así como TAC o resonancia magnética nuclear y una biopsia por aspiración. El diagnóstico diferencial de lesiones quísticas y masas de la región sublingual que pueden ser de origen congénito —quiste epidermoide, tirogloso y braquial— o de origen adquirido—sialocele, ránula, abscesos y degeneraciones quísticas. Sólo con la clínica, puede resultar imposible distinguir entre las varias tumefacciones, por ejemplo, entre un mucocele y una ránula. Otros tumores, como el tumor de Warthin, rara vez se presenta a nivel submaxilar.

La posibilidad de establecer un diagnóstico diferencial con una tomografía, está fundamentada en la densidad relativa de la lesión, debido a que muchos tumores epiteliales se presentan con densidades radiológicas homogéneas y muy similares a las de los músculos. Otros tumores presentarán áreas de necrosis y/o calcificación.

Histología

Bajo el microscopio, los mucocele tienen la apariencia de tejido granular que rodea la mucina. Debido a que concomitantemente se acompaña de inflamación, usualmente se visualizan neutrófilos e histiocitos.

Tratamiento

Los mucoceles son hiperplasia de los tejidos blandos bucales producidas con bastante frecuencia, y algunos casos se resuelven espontáneamente sin intervención, después de un corto tiempo. Otros tienden a permanecer crónicamente y son los que requieren remoción quirúrgica. Pueden ocurrir recurrencias, en cuyo caso se remueve la glándula afectada como medida preventiva. Para remover un mucocele se usan diversas técnicas quirúrgicas, entre ellas el láser y otras técnicas mínimamente invasivas, lo que reduce drásticamente el tiempo de recuperación, y tras los tiempos de pos operatorios pueden ser totalmente sin riesgo alguno. Se suele recomendar no morderlo ni presionarlo.

Referencias

Este artículo ha sido escrito por Wikipedia. El texto está disponible bajo la licencia Creative Commons - Atribución - CompartirIgual. Pueden aplicarse cláusulas adicionales a los archivos multimedia.