Mola hidatiforme
La mola hidatiforme o embarazo molar es un trastorno del embarazo caracterizado por el crecimiento anormal de vellosidades coriónicas. Es una de las presentaciones de la enfermedad trofoblástica gestacional y se considera la forma no invasiva de esta. Mientras que en las molas completas no existe tejido embrionario, en las parciales se suelen hallar restos de un embrión no viable.[1][2] El tratamiento es terminar el embarazo molar tan pronto se haya hecho el diagnóstico por razón al alto riesgo que le acompaña una aparición de una forma de cáncer llamado coriocarcinoma.
| Mola hidatiforme | ||
|---|---|---|
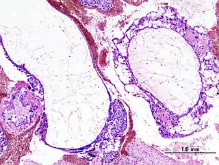
![]() Imagen histopatológica de la mola hidatiforme. | ||
| Especialidad | patología | |
| Sinónimos | ||
| Embarazo molar | ||
El término hidatiforme viene del griego que asemeja un racimo de uvas, refiriéndose a la forma del crecimiento intrauterino; y mola es del latín piedra de molino.
Epidemiología
La mola hidatiforme es una complicación relativamente frecuente del embarazo, que tiende a ocurrir una vez cada 1000 embarazos en los Estados Unidos y más frecuente aún en Asia (aproximadamente uno de cada 100 embarazos).[3]
Características
Una mola se caracteriza por un producto de la concepción con tejido trofoblástico hiperplásico que rodea la placenta. El embrión no contiene la masa celular interna que caracteriza un embrión normal.
Clasificación
Una mola hidatiforme puede presentarse en dos formas básicas: completa—en el que el tejido embrionario anormal deriva solo del padre o solo de la madre —y parcial—en el que el tejido anormal proviene de ambos padres pero con incorrecta dotación genética—.
Mola hidatiforme completa
la variedad de mola hidatiforme más fácilmente identificable. En una mola completa, no se desarrolla el feto (por lo que en el examen del embarazo no se observan signos de la presencia de tejido fetal) o incluso, directamente, no lo hace la placenta. Las vellosidades coriónicas están aumentadas de tamaño. Esto puede ocurrir por dos causas:
- Androgénesis o diandria: es el proceso por el que se forma un cigoto con dotación cromosómica completa (diploide porque tiene dos copias de cada cromosoma), pero procedente solo del padre, debido a que los cromosomas derivan solo del espermatozoide sin la participación del huevo materno. Usualmente ocurre cuando un huevo vacío es fertilizado por un espermatozoide que luego, por fallo en la disyunción de la primera mitosis, duplica su ADN. Un 90 % de los productos de este tipo de concepción son femeninos (cariotipo XX) y 10% masculinos (XY), por razón de que el genotipo masculino requiere que dos espermatozoides contribuyan dos cromosomas X y dos Y. Dado que el genoma materno es necesario para el desarrollo del feto, esta causa explica la aparición de placentas sin feto.
- Ginogénesis o diginia: es el proceso por el que se forma un huevo con dotación genética completa procedente exclusivamente de la madre. Este tipo de óvulo puede ser causado por un tumor benigno llamado teratoma ovárico. Requiere, no obstante, fecundación por parte de un espermatozoide que actúe como señal de estimulación del huevo, pero cuyo genoma no se incorpore. Dado que el genoma del padre es necesario para la formación de estructuras extraembrionarias, esto explica las molas en las que no se llega a desarrollar ni siquiera la placenta.
Mola hidatiforme parcial
En una mola parcial pueden presentarse restos de placenta e incluso un pequeño feto atrófico. Las partes fetales normalmente se pueden presenciar en el examen general. La causa es una herencia biparental con poliploidía. El ADN es de origen tanto paterno como materno, pero con mayor dotación genética de lo normal. Pueden ser triploides (69, XXX ; 69 XXY o 69 XYY, en vez de los normales 46 XX o 46 XY) o pueden incluso ser tetraploides. En todos casos resulta en un desarrollo anormal, pero éste varía si la dotación extra procede del padre (por fecundación de dos espermatozoides de un óvulo normal, o por duplicación del genoma del espermatozoide) o de la madre (por duplicación del genoma del óvulo). En el primer caso aparecerá un abundante trofoblasto y escaso desarrollo embrionario, y en el segundo caso un grave retraso en el desarrollo embrionario con una placenta pequeña y fibrosa.
La mola parcial no suele asociarse ni con hiperémesis gravídica ni con hipertiroidismo, aunque si la gestación alcanza el segundo trimestre, puede asociarse a preeclampsia.[4]
Importancia de los genomas de ambos parentales
El desarrollo fetal normal requiere aportación tanto materna (cuyo genoma aporta información imprescindible para el desarrollo del feto) como paterna (cuyo genoma aporta información para las estructuras extraembrionarias). Esto tiene una explicación epigenética: en un individuo los cromosomas tienen regiones inactivadas por modificaciones químicas, la llamada "marca epigenética". Estas modificaciones son reversibles, y se van formando a lo largo de la vida del individuo en respuesta a diversas señales como forma de interaccionar con el entorno. En los gametos se produce el llamado "reseteo epigenético", mediante el cual se pierde la marca epigenética para evitar el colapso de la especie, e inmediatamente se producen nuevas modificaciones epigenéticas que serán heredadas por el cigoto. Estas nuevas modificaciones, independientes de las que pueda sufrir el individuo a lo largo de su vida, son diferentes en el espermatozoide y en el óvulo. Tienen, por tanto, herencia dependiente del sexo del progenitor, lo que se conoce como impronta genética. Debido a esto, un cigoto cuya dotación genética proceda de un solo gameto será inviable, porque los dos cromosomas de cada par tendrán la misma impronta, y por tanto las mismas regiones desactivadas.
Caso distinto ocurre cuando se obtiene un cigoto con genoma de un solo parental de forma artificial, por ejemplo por clonación reproductiva como la que dio lugar a la Oveja Dolly. En este caso se extrae el genoma de una célula de un individuo y se le introduce a un óvulo al que se le ha retirado previamente el núcleo, pero que conserva los enzimas y factores de transcripción típicos de una célula totipotente. Con ello se obtiene un cigoto viable que podremos utilizar para clonar al individuo original, a pesar de proceder el genoma de un solo sexo. La diferencia que permite la viabilidad es que, como en este caso la célula de la que procede el genoma no es un gameto, no ha sufrido reseteo epigenético, y por tanto los cromosomas de cada par de homólogos tendrán sus modificaciones epigenéticas propias. Además, esta marca epigenética será heredada en su totalidad por el individuo clonado.
Etiología
La etiología del trastorno no se conoce por completo. Puede haber factores de riesgo que potencien la aparición de una mola como un defecto en el huevo, anormalidades en el útero o deficiencias nutricionales.[5] Aquellas mujeres menores de 20 años o mayores de 40 tienen un riesgo mayor. Otros factores de riesgo incluyen dietas bajas en proteínas, ácido fólico y caroteno.[6] Su etiología se corresponde con la fecundación de un óvulo enucleado por parte de dos espermatozoides.
Cuadro clínico
Un embarazo molar por lo general se presenta con sangrado vaginal no doloroso en el cuarto o quinto mes del embarazo.[7] El útero puede verse aumentado de tamaño antes y más de lo esperado, o los ovarios pueden verse agrandados. Puede presentarse con vómitos, un aumento en la presión arterial y proteínas en la orina. Los exámenes de sangre muestran niveles altísimos de la hormona gonadotropina coriónica humana (hCG).[8]. Por los altos niveles de esta hormona puede observarse un cuadro clínico de hipertiroidismo debido a la similitud de la subunidad beta de la hormona coriónica humana y TSH(hormona estimulante de tiroides),la cual se unen a los receptores de TSH.[Williams, Ginecología,3ed.p.335]
Diagnóstico
Si bien la enfermedad puede detectarse mediante una ecografía, el diagnóstico final se da mediante un examen patológico. En el ultrasonido, el útero parece tener un racimo de uvas, ya que así luce el embrión al anidarse.
A veces, pueden presentarse síntomas de hipertiroidismo, ya que la hormona gonadotropina coriónica humana en excesivas concentraciones puede imitar la función normal de la hormona estimulante de la tiroides.
Tratamiento
El embarazo molar se trata mediante la evacuación del contenido uterino, ya sea mediante succión o dilatación y raspado, lo cual debe hacerse lo más pronto posible tras el diagnóstico, para evitar que se presente un coriocarcinoma. Las pacientes son controladas continuamente hasta que los niveles de la hormona gonadotropina coriónica humana hayan disminuido hasta niveles indetectables. Las molas invasivas o metastaticas (malignas) a menudo requieren un tratamiento con quimioterapia, y a menudo responden bien al metrotexate. Mientras contengan antígenos paternos, las molas malignas reponden bien al tratamiento en un 100%. Las mujeres son advertidas de que deben evitar un nuevo embarazo entre 6 a 12 meses. El riesgo de que haya un nuevo embarazo molar es de por lo menos 1%.
El manejo es más difícil cuando la mola ocurre con uno o más fetos normales previos.
Pronóstico
Más del 80% de las molas hidatiformes son benignas. El resultado tras el tratamiento por lo general es excelente. El seguimiento continuo es esencial. Se recomienda tomar medidas contraceptivas altas para prevenir un nuevo embarazo al menos por 6 a 12 meses.
Entre el 10 a 15% por ciento de las molas hidatiformes pueden convertirse en molas invasivas. La placenta se adhiere tan profundamente a la pared uterina que puede provocar graves hemorragias y otros cuadros severos. Esta condición se conoce como «Enfermedad Trofoblástica Persistente». Por este motivo, un rayo X de la cavidad abdominal y toráxica completa es a menudo requerido.
Entre el 2 a 3% de las molas hidatiformes pueden convertirse en un coriocarcinoma, la cual es una forma de cáncer maligna, invasiva y con gran capacidad de metástasis. Pese a que estos factores indican un pronóstico sombrío, los tratamientos pueden ofrecer un control prematuro de la enfermedad.
Más del 90% de mujeres con molas malignas y no metastáticas, pueden sobrevivir a la enfermedad y mantener su capacidad de concebir y llevar a término con éxito un nuevo embarazo. Para esas mujeres cuyas molas han hecho metástasis, y cuya remisión se mantiene entre el 75 a 85%, estas pacientes por lo general pierden su capacidad de procrear, ya sea por la extirpación del útero o la incapacidad de este para retener el embarazo.
Referencias
- Ghassemzadeh, Sassan; Farci, Fabiola; Kang, Michael. «Hydatidiform Mole». StatPearls (en inglés). National Library of Medicine. Consultado el 23 de abril de 2023.
- Kumar, Abbas y Aster, 2013, p. 701.
- Di Cintio E, Parazzini F, Rosa C, Chatenoud L, Benzi G (1997). «The epidemiology of gestational trophoblastic disease». Gen Diagn Pathol 143 (2-3): 103-8. PMID 9443567.
- González-Merlo, Jesús (2006). Obstetricia (5ta edición). Elsevier España. p. 478. ISBN 8445816101.
- MedlinePlus (noviembre de 2006). «Mola hidatiforme». Enciclopedia médica en español. Consultado el 7 de marzo de 2008.
- Hydatidiform mole, MedlinePlus Medical Encyclopedia. Último acceso 23 de noviembre, 2007
- McPhee S. and Ganong W.F. Pathophysiology of Disease, 5th ed., p. 639.
Bibliografía
- Kumar, Vinay; Abbas, Abul K.; Aster, John C. (2013). Robbins. Patología humana (9.ª edición). Barcelona: Elsevier. ISBN 978-84-8086-994-2.
_complete_type.jpg.webp)