Mielocito

Los mielocitos son células inmaduras del subconjunto de los glóbulos blancos fagocíticos del sistema inmunitario. Se crean y residen en la médula ósea, aunque, debido a algunas anomalías, se pueden encontrar en la sangre.

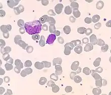
Mielocito (arriba izda.) junto a linfocito normal en un caso de leucocitosis de predominio neutrofílico con desviación a la izquierda por sepsis.
Mielocito aislado en el mismo caso de la imagen anterior, con Cuerpo de Döhle en su extremo inferior


Situación

Dentro del sistema inmunológico, encontramos las células nacientes en la médula ósea y las que nacen en el sistema linfático, como los linfocitos. Dentro de la primera opción, la médula ósea, encontramos al mieloide progenitor que dará lugar a los mielocitos. Los mielocitos son células inmaduras pertenecientes a los llamados glóbulos blancos. Los mielocitos, dentro del proceso de la hematopoyesis, irán adquiriendo la madurez y definiéndose como distintas células fagocíticas. Estas células maduras podrán ser neutrófilos, basófilos, eosinófilos o monocitos que, a su vez, den lugar a las células dentríticas y a los macrófagos.

Histología

Para ver los mielocitos deberemos usar colorantes especiales para poder teñir los glóbulos blancos. De este modo, e identificados los mielocitos, observaremos que su citoplasma es claramente basofilítico y relativamente más abundante que en los mieloblastos o los promielocitos, a pesar de que los mielocitos son células más pequeñas.

Numerosos gránulos citoplasmáticos están presentes en las formas más maduras de mielocitos. Los gránulos neutrófilos y eosinofílicos son positivos a la peroxidasa, mientras que los gránulos basófilos no lo son.

La cromatina nuclear es más gruesa que la observada en el mielocito, pero está relativamente débilmente manchada y carece de una membrana bien definida.

El núcleo es bastante regular en contorno (no indentado), y parece estar "enterrado" bajo los numerosos gránulos citoplasmáticos. (Si el núcleo estuviera sangrado, probablemente sería un metamielocito.)

Maduración

Los mielocitos se derivan de los promielocitos y dan lugar a metamielocitos. Los promielocitos son los que darán origen a los diferentes mielocitos y, éstos, a su vez, madurarán en metamielocitos. Durante este proceso llamado hematopoyésis, se irán definiendo según el tipo de célula en el que se vayan a transformar: basófilos, eosinófilos, neutrófilos o monocitos. Es importante decir que estas células son granulocitas, ya que, en su citoplasma, podemos encontrar gránulos específicos, lo cual las disferencia de las agranulocitas, como los linfocitos.

Referencias

    Bibliografía

    Este artículo ha sido escrito por Wikipedia. El texto está disponible bajo la licencia Creative Commons - Atribución - CompartirIgual. Pueden aplicarse cláusulas adicionales a los archivos multimedia.