Lisencefalia

La lisencefalia, término que literalmente significa "cerebro liso",[1] es un trastorno poco común de la formación del cerebro caracterizado por microcefalia y agiria, que es una ausencia de las circunvoluciones o gyrus (pliegues) normales del cerebro. Es causada por una migración neuronal defectuosa, el proceso en el cual las células nerviosas se desplazan desde el lugar de origen a su localización permanente.[2] Este término no caracteriza una enfermedad sino un grupo de enfermedades.[3]

Lisencefalia

Cerebro con lisencefalia.
Especialidad genética médica
neurología

Causas

La lisencefalia puede ser causada por infecciones virales intrauterinas (en el útero) o infecciones virales en el feto durante el primer trimestre, suministro escaso de sangre al cerebro del bebé en las etapas iniciales del embarazo o debido a un trastorno genético. Existen diferentes causas genéticas de la lisencefalia asociadas al cromosoma X, al cromosoma 7 y al cromosoma 17, pero aún faltan otras mutaciones por identificar.[2][4]

Existen diferentes formas de clasificarla, pero tradicionalmente se ha hecho en tipo I, donde se distinguen las cuatro capas celulares de la corteza, y tipo II, donde la corteza cerebral se encuentra muy desestructurada.

Patogenia

La superficie de un cerebro normal está formada por una serie compleja de pliegues y canales. Los pliegues se denominan giros (gyri) o circunvoluciones y los canales se denominan surcos (sulci).[5] En niños que padecen de lisencefalia, las circunvoluciones normales están ausentes o se han formado solamente en parte, haciendo que la superficie del cerebro sea lisa.[1]

Cuadro clínico

Los síntomas del trastorno pueden incluir un aspecto facial inusual, dificultad para tragar, falta de progreso y retraso psicomotor severo.[6] También pueden ocurrir anomalías en las manos, los dedos, los dedos del pie, espasmos musculares y convulsiones.

Diagnóstico

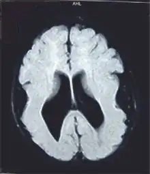
Resonancia magnética que muestra "cerebro liso"

La lisencefalia se puede diagnosticar durante o poco después del nacimiento. El diagnóstico se puede confirmar por ultrasonido, por tomografía computarizada (CT) o por resonancia magnética (MRI por su sigla en inglés).[1]

La lisencefalia se puede asociar a otras enfermedades, incluyendo la secuencia aislada de lisencefalia, el síndrome de Miller-Dieker y el síndrome de Walker-Warburg.[7]

Tratamiento

El tratamiento para pacientes que sufren de lisencefalia es sintomático y depende de la gravedad y de la ubicación de las malformaciones del cerebro. Podría ser necesario un apoyo asistencial para proporcionar mayor comodidad a los pacientes o prestarles servicios de enfermería. Las convulsiones se pueden controlar con medicamentos y la hidrocefalia puede requerir realizar una derivación (shunt). Si la alimentación llega a ser difícil, pudiera considerarse la colocación de un tubo de gastrostomía (tubo de alimentación).

Pronóstico

El pronóstico para los niños con lisencefalia varía dependiendo del grado de malformación del cerebro. Muchos pacientes no muestran ningún desarrollo significativo más allá de la edad de 3 a 5 meses. Otros pueden llegar a tener un desarrollo e inteligencia casi normales. Muchos mueren antes de los 2 años edad.[8] Los problemas respiratorios son las causas de muerte más comunes.

Véase también

Referencias

  1. MOTA-G, Verónica; VALDIVIESO-C, Oscar F; QUIROZ-R, Laura e CRIALES-C, José Luis. Lisencefalia (en español). Gac. Méd. Méx [online]. 2005, vol.141, n.5 [citado 2010-01-22], pp. 441-442. ISSN 0016-3813.
  2. HERNANDEZ CH, MARTA et al. Lisencefalia y epilepsia en pediatría (en español). Rev. chil. pediatr. [online]. 2007, vol.78, n.6 [citado 2010-01-22], pp. 615-620. ISSN 0370-4106. doi: 10.4067/S0370-41062007000700007.
  3. «Orphanet: Classifications». www.orpha.net. Consultado el 11 de marzo de 2022.
  4. Hong SE, Shugart YY, Huang DT, Shahwan SA, Grant PE, Hourihane JO, Martin ND, Walsh CA. (2000) Autosomal recessive lissencephaly with cerebellar hypoplasia is associated with human RELN mutations. Nat Genet. 26(1):93-6. PMID 10973257
  5. Dobyns, WB. Developmental aspects of lissencephaly and the lissencephaly syndromes. Birth Defects Orig Artic Ser 1987; 23:225.
  6. Bauman, ML. Neuroembryology--clinical aspects. Semin Perinatol 1987; 11:74.
  7. AVINA FIERRO, Jorge Arturo and HERNANDEZ AVINA, Daniel Alejandro. Síndrome de Steinert neonatal: distrofia miotónica tipo 1 congénita Archivado el 29 de abril de 2011 en Wayback Machine. (en español). Arch. Pediatr. Urug. [online]. Mar. 2009, vol.80, no.1 [cited 22 January 2010], p.33-36. ISSN 0004-0584.
  8. Jones, KL. Smith's Recognizable Patterns of Human Malformation, 6th ed. Elsevier Saunders, Philadelphia 2006.

Enlaces externos

Este artículo ha sido escrito por Wikipedia. El texto está disponible bajo la licencia Creative Commons - Atribución - CompartirIgual. Pueden aplicarse cláusulas adicionales a los archivos multimedia.