Liquen
Un liquen tradicionalmente se define como un holobionte conformado por un hongo (micobionte) y una o varias poblaciones fotosintéticas de algas o cianobacterias (fotobiontes) esparcidas de manera extracelular en el micelio del micobionte considerado como el hospedero o ex-habitante.[1] Aunque se considera que los líquenes son las interacciones mutualistas mejor conocidas,[2] es difícil definir qué es un liquen por su carácter simbiótico.
.jpg.webp)

La interacción micobionte-fotobiontes debe presentar propiedades emergentes y el talo conformado debe ser morfológicamente diferente al de las especies separadas.[3] Cuando el fotobionte es el hospedero se dice que es una micoficobiosis pero en ocasiones hay holobiontes que no se pueden catalogar fácilmente como liquen o micoficobiosis, conocidos como liquenes frontera en donde no es posible definir un hospedero.[4] Recientemente, se han encontrado más integrantes a la simbiosis[5][6] y se tiene una visión más holística del liquen como un microhábitat en donde varias especies de hongos del clado Dikarya, microalgas y bacterias coexisten en un intrincado sistema simbiótico.[7]
De acuerdo con el carácter de esa asociación, se pueden distinguir numerosos tipos estructurales de líquenes: desde los más simples, donde hongo y alga se unen de forma casual, a los más complejos, donde el micobionte y el ficobionte dan lugar a un talo morfológicamente muy diferente a aquel que forman por separado, y donde el alga se encuentra formando una capa bajo la protección del hongo.[8] Los líquenes son organismos pluricelulares, excepcionalmente resistentes a las condiciones ambientales adversas y capaces, por tanto, de colonizar muy diversos ecosistemas. La protección que aporta el hongo frente a la desecación y la radiación solar, y la capacidad de fotosíntesis del alga confieren al simbionte características únicas dentro de los seres vivos. La síntesis de compuestos únicamente presentes en estos organismos, las llamadas sustancias liquénicas, permiten un mejor aprovechamiento de agua y de luz y la eliminación de sustancias perjudiciales.
Taxonomía y clasificación

_Th.Fr._(8059365084).jpg.webp)
El grupo de organismos que denominamos hongos formadores de líquenes es un grupo polifilético, es decir, proveniente de multitud de ancestros diferentes, que ha evolucionado hacia un mismo patrón partiendo de relaciones diferentes; aun así no existe una clasificación para este grupo completamente aceptada por todos los expertos. La clasificación de Ozenda y Clauzade (publicada en 1970) atiende en primer lugar al tipo de hongo que forma la simbiosis. De este modo se diferencian dos clases: ascolíquenes y basidiolíquenes. según sea el hongo un ascomiceto o un basidiomiceto, respectivamente. Dentro del primer grupo se diferencian, a su vez, dos subclases pirenolíquenes y discolíquenes según posean peritecios o apotecios. Los ascolíquenes constituyen el 96 % de los líquenes siendo muy pocos los basidiolíquenes.[9]
Los líquenes se clasifican por el componente fúngico. Las especies de líquenes reciben el mismo nombre científico (nombre binomial) que las especies de hongos en el liquen. Los líquenes se están integrando en los esquemas de clasificación de los hongos. El alga lleva su propio nombre científico, que no guarda relación con el del liquen o el hongo. Hay entre 13 500 y 17 000 especies de líquenes identificadas. Casi el 20% de las especies de hongos conocidas están asociadas con líquenes.[10][11]
El "hongo liquenizado" puede referirse a todo el liquen o solo al hongo. Esto puede causar confusión sin contexto. Una especie de hongo en particular puede formar líquenes con diferentes especies de algas, dando lugar a lo que parecen ser diferentes especies de líquenes, pero que aún se clasifican (a partir de 2014) como la misma especie de líquenes.[12]
Anteriormente, algunos taxónomos de líquenes colocaron los líquenes en su propia división, Mycophycophyta, pero esta práctica ya no se acepta porque los grupos de líquenes pertenecen a linajes separados. Ni los ascolíquenes ni los basidiolíquenes forman linajes monofiléticos en sus respectivas divisiones fúngicas, pero sí forman varios grupos principales que forman única o principalmente líquenes dentro de cada división. Los líquenes surgieron de forma independiente a partir de hongos que se asociaron con algas y cianobacterias en varias ocasiones a lo largo de la historia evolutiva.[13][14]
Los ascolíquenes (se clasifican en las clases Arthoniomycetes, Coniocybomycetes, Collemopsidiomycetes, Lichinomycetes, Lecanoromycetes, Eurotiomycetes, Leotiomycetes) y los basidiolíquenes se clasifican en las clases (Atractiellomycetes, Tremellomycetes, Agaricomycetes).
Incluso más inusual que los basidiolíquenes es el hongo Geosiphon, un miembro de Glomeromycetes que es único porque encierra una cianobacteria simbionte dentro de sus células, Geosiphon generalmente no se considera que sea un liquen, y su simbiosis peculiar no se reconoció durante muchos años. El género está más estrechamente relacionado con géneros endomicorrízicos. Los ascolíquenes del orden Verrucariales también forman líquenes marinos con el alga parda Petroderma maculiforme y tienen una relación simbiótica con las algas marinas Blidingia minima, donde las algas son los componentes dominantes. Se cree que los hongos ayudan a las algas marinas a resistir la desecación cuando se exponen al aire. Además, los líquenes también pueden utilizar algas verdeamarillentas (Heterococcus) como su socio simbiótico.[15][16][17]
Historia evolutiva

Los restos fósiles de líquenes son extraordinariamente escasos. Es conocido en el mundo de la paleobotánica que el registro fósil, incompleto, no puede mostrar en absoluto la realidad de la flora de la época a la que pertenece; por ello se hace necesario deducir a partir de los escasos rastros conservados y de la filogenia en qué momento aparecen muchos de los grupos vegetales y en este caso la simbiosis entre un alga y un hongo.
El espécimen más antiguo identificado como un liquen, Thuchomyces lichenoides, data del Precámbrico. Se trataría de una especie marina según los sedimentos en los que se encontraron sus fósiles; y si bien ha sido identificado el micobionte, las pruebas de la existencia de un fotobionte asociado a él son poco concluyentes. Aun con esto, el yacimiento de Rhynie Chert ha dado un ejemplo de liquen fósil denominado Winfrenatia reticulata, de extraordinario valor científico, pues sitúa a este grupo en la era devónica; por tanto, se puede considerar este fósil como el más antiguo de los conocidos para el grupo. Otro representante del grupo aparecido en el Devónico medio es Spongiophyton, aunque su adscripción es dudosa. Faltan restos fósiles del Carbonífero, Pérmico y Triásico y hasta el Paleógeno son muy escasos y poco concluyentes. Del Eoceno se conoce la especie epífica Strigula, del Oligoceno las especies, Anzia sp, Calicidum sp y Chaenotheca y del mioceno Chaenothecopsis bitterfeldensis.[18][19]
Consideraciones coevolutivas y estudios filogenéticos que relacionan distribuciones actuales y movimientos continentales han sugerido que el estilo de vida liquénico es muy antiguo. Parece probable que muchas de las familias, géneros, y en algunos casos especies actuales evolucionaron en tiempos del Pérmico/Triásico, hace unos 190-280 millones de años, a partir de unas cuantas especies previas. Existen teorías que mantienen que pudieran ser los líquenes las primeras especies en colonizar el medio terrestre, teoría demasiado controvertida y con pruebas aún muy poco consistentes.[20]
En el intento de presentar en conjunto los órdenes de la división Ascomycota en relación con su biología, se encontró que el orden Peltigerales ocupa una posición más o menos central. También se observó, que este orden presenta un significado particular en la evolución de los ascomycetes, ya que incluye algunos géneros que son esencialmente terrícolas, aunque capaces de propagarse sobre cortezas rugosas y árboles; esto es, se presentan generalmente en hábitats primarios, los cuales han existido antes del aumento de las fanerógamas. Las cianobacterias pasan por ser uno de los primeros organismos fotosintéticos; presentes en la tierra desde el Precámbrico, es por ello que este tipo de fotobionte pudo estar presente para los hongos capaces de asociarse a él desde el principio evolutivo del grupo.[21][22]
La simbiosis
La base de la simbiosis es la toma de nutrientes por parte del hongo desde el alga; para ello en casi todos los líquenes estudiados se ha encontrado alguna forma de penetración del hongo dentro de las células algales, la que se logra por medio de haustorios. Se diferencian dos tipos de haustorios u órganos de penetración del hongo: intracelulares e intramembranosos.[23] En los líquenes crustáceos o crustosos (que forman costras) y en algunas formas más altamente estructuradas las penetraciones son generalmente intracelulares donde los haustorios penetran en el protoplasto de la capa gonidial (donde se encuentra el alga); la pared de estos haustorios es más delgada que la del resto de las hifas de forma que les resulta más sencillo penetrar en la célula vegetal. En los líquenes morfológicamente más evolucionados los haustorios son intramembranosos; en estos casos penetran la pared de la capa gonidial pero no el citoplasma, quedando una invaginación en la pared del alga. El liquen obtiene su alimento a partir de las sustancias sintetizadas por el alga a través de la fotosíntesis; en este proceso se sintetiza el hidrato de carbono denominado ribitol que es transferido al hongo mediante difusión, en el interior de la hifa este ribitol es modificado a manitol que no es transferible desde el hongo al alga.[24] De este modo el micobionte se asegura su alimento y el alga sigue sintetizando. Cuando el fotobionte es una cianobacteria, el hidrato de carbono sintetizado es la glucosa que el hongo modifica también a manitol.[25][26] El alga por su parte consigue del hongo la protección necesaria frente a la desecación, un incremento de su capacidad de absorción de agua gracias a las características de las hifas del hongo. En definitiva la simbiosis permite al alga o cianobacteria colonizar ecosistemas donde debido a un clima extremo no podría desarrollarse por sí sola.
Los metabolitos de los líquenes suelen ser una mezcla de los producidos por el alga para su propio funcionamiento y los producidos por el hongo. Son pocos los casos en los que se producen sustancias propias para el liquen que ninguno de los biontes podría producir por sí mismo; entre estas sustancias se encuentran las sustancias liquénicas, un conjunto muy heterogéneo de productos específicos de los líquenes producidos por el hongo, muchas de ellas denominadas ácidos liquénicos. Se conocen alrededor de 200 tipos de sustancias liquénicas aunque las investigaciones añaden constantemente nuevos tipos, por lo que se piensa que muchas son exclusivas de una sola especie, queriendo esto decir que es la simbiosis misma la que las produce. Vale aclarar que estas sustancias no aparecen en el córtex inferior ni en la capa gonidial y en casi todos los casos se presentan en forma de minúsculos cristales y granulaciones dispuestas en la superficie de las hifas. La función de las sustancias liquénicas no está del todo clara; se piensa que pueden actuar como método disuasorio para herbívoros o como protección ante bacterias y otros patógenos. Es posible también que jueguen un papel importante en la absorción de agua o aumentando la permeabilidad de la membrana de las algas permitiendo de ese modo la entrada de metabolitos al interior celular. Sí se sabe que actúan como protección frente a diversos contaminantes, a las radiaciones UV e incluso a la radiactividad. Algunas de ellas son simplemente desechos de la actividad celular cotidiana del organismo simbionte.[27] Estos metabolitos liquénicos son la base de muchos estudios sobre taxonomía en estos organismos.[28]
Tipos de biontes

Puede decirse que la formación de simbiosis, sobre todo mutualistas por parte de los hongos con todo tipo de fotobiontes es una característica que ha dado una enorme ventaja evolutiva a las especies que las forman, al menos esto puede desprenderse de los datos que sobre especies que forman algún tipo de simbiosis poseemos; así del total de 64 200 especies de hongos, alrededor del 30 % (19 000 especies) ha optado por este tipo de asociación, más del 8 % forma simbiosis como micorrizas y el 21 % forma las asociaciones liquénicas.
Entre los mayores grupos de hongos, la cantidad de especies implicadas en asociaciones liquénicas es enorme; por ejemplo el 98 % de esos hongos pertenece a la subdivisión Ascomycota, pero de los cuarenta y seis órdenes conocidos de hongos dieciséis forman líquenes y de ellos solo seis forman únicamente líquenes, es decir que no se conocen como hongos de vida libre. Existen relativamente pocos basidiolíquenes que sirvan de ejemplo Dictyonema, Multiclavula, y Omphalina y alrededor de cincuenta géneros de hongos conidiales.[29]
A priori, puede afirmarse que desde el punto de vista evolutivo la formación de simbiosis liquénicas es una estrategia evolutiva muy favorable y que se encuentra en constante evolución en algunos hongos, por ejemplo en Hymenomycetes o Helotiales, aunque parece que también está perdiéndose en otras, como en Caliciales y Lecanorales.
El ficobionte suele ser una clorofita, más raramente una cianofita; a veces se presentan asociaciones triples, como en el género Lobaria, un ascolíquen, con una clorofita como ficobionta, que, sin embargo, presenta unas estructuras especiales, llamadas cefalodios, en las que se produce una asociación con una cianoficea (Nostoc).[30] Estos cefalodios se desarrollan en aquellos simbiontes liquénicos en los que se hace necesaria una simbiosis extra con una cianofícea a ser el alga simbionte principal incapaz de fijar el nitrógeno atmosférico necesario para el hongo.[31] Debido a su naturaleza dual, los líquenes presentan características tanto del hongo como del alga, pese a presentar características propias y particulares.
Se ha sugerido la presencia generalizada de un tercer componente de la simbiosis, una levadura de la división Basidiomycota perteneciente al género Cystobasidium, en el córtex externo de líquenes estratificados. Su función e importancia dentro de la simbiosis liquénica ha de ser aún investigada.
Fotobiontes

Actualmente se conocen aproximadamente cuarenta géneros de algas y cianobacterias que actúan como fotobiontes en simbiosis liquénica. De ellos tres géneros son los más frecuentes, Trebouxia, Trentepohlia y Nostoc, siendo as dos primeras algas verdes y la tercera cianobacteria.[32]
Los fotobiontes eucariotas son conocidos como ficobiontes mientras que los fotobiontes cianobacterias son conocidas como cianobiontes; la inmensa mayoría de los ficobiontes son algas verdes (división Chlorophyta) que poseen clorofila a y b y solo dos géneros (del clado Heterokonta) poseen clorofila a y c. La transferencia metabólica entre fotobiontes y micobiontes depende en gran medida del tipo de fotobionte presente. De este modo, cuando se trata de un alga verde, el carbohidrato compartido posee grupos alcohol (ribitol) mientras que en líquenes con cianobacterias es glucosa.
La identificación de los fotobiontes cianobacterias en talos liquénicos es a veces imposible debido a que la morfología del talo de la cianobacteria cambia debido a la presencia del micobionte, por ello las formas filamentosas, como ocurre con el género Dichothrix, suelen estar tremendamente deformadas; solo los filamentos ramificados de géneros como Stigonema pueden identificarse en el talo liquénico.[33]
Las cianobacterias tampoco muestran todas las fases de su ciclo vital cuando forman parte de un liquen, ello dificulta aún más su identificación como sucede en géneros como Chloroccidiopsis y Myxosarcina; la observación de todas las formas vitales de este tipo de organismo suele ser primordial para su correcta taxonomización a nivel de especie, se hace necesario en el trabajo con ficobiontes el aislamiento del alga y su posterior cultivo en vida libre. El tipo de reproducción vegetativa es también un carácter tremendamente importante en la taxonomía, así especies con heterocistes (como Nostoc) aumentan la frecuencia de producción de estos cuando se encuentran en simbiosis en comparación a cuando viven de forma libre; también el tamaño de las células suele ser mayor es especies en simbiosis como ocurre con Gloeocapsa en los líquenes del género Lichinella o Peccaria, este incremento suele ser interpretado como resultado de la presencia de gran cantidad de haustorios del hongo en el interior de la célula algal y a la estrecha unión de estos con el vegetal.
En algas verdes la organización del talo es siempre muy simple cuando actúan como fotobiontes, solo son conocidas formas estructurales en coco, sarcinas y filamentos donde las estructuras filamentosas suelen ser muy reducidas en tamaño.
La identificación del alga verde que forma el liquen es con frecuencia más fácil que cuando se trabaja con cianobacteria. En multitud de ocasiones no es necesario aislar el alga y cultivarla para poder identificarla al menos hasta nivel de género. Para afinar hasta especie sí son esenciales los cultivos debido a que la morfología de los cloroplastos y varias etapas del ciclo de vida algal son modificados o están ausentes en la simbiosis con el hongo.
Micobiontes

Los hongos formadores de líquenes son en gran parte de los casos simbiontes obligados y no son capaces de vivir aislados en el medio; solo prosperan cuando encuentran un fotobionte adecuado, en cultivo aislado muestran su forma imperfecta pudiendo producir esporas asexuales pero prácticamente nunca producen estructuras reproductoras organizadas como los hongos no liquenizados ni estructura del talo que se asemeje al del liquen.

Actualmente no existen pruebas que permitan afirmar que los hongos que forman parte de la simbiosis liquénica sean diferentes morfológicamente de los de vida libre.[34] Es cierto que se ha encontrado en algunos grupos de Ascomycotas unos orgánulos esféricos, de naturaleza proteínica y función desconocida que no se encuentran en hongos libres y que algunos autores han pretendido otorgar funciones relacionadas con la simbiosis pero las últimas investigaciones apuntan que más bien puede tratarse de orgánulos propios de la especie de Ascomycota formadora de líquenes en la que se encontró y no debido a la simbiosis con el alga.[35]
Estos cuerpos concéntricos han sido con posterioridad localizados en el citoplasma de micelios, células ascógenas, paráfisis y todo tipo de células en hongos patógenos de plantas y saprobios sobre todo de ambientes secos por lo que es probable que tengan una función de almacenamiento de sustancias o resistencia a la desecación, necesaria eso sí, en los hongos liquenizados.
La principal diferencia entre hongos liquenizados y no liquenizados es por supuesto el tipo de nutrición que llevan a cabo. Muchos hongos aparecen en la naturaleza solo formando parte de líquenes aunque en cultivo se han podido aislar del alga y han sido capaces de sobrevivir.
Los cultivos de estos hongos formadores de líquenes de forma aislada han dado casi en todos los casos un fenotipo muy diferente al expresado cuando forman la simbiosis, una gran proporción de estos hongos han presentado un talo característico formado por masas celulares aglutinadas con crecimiento filamentoso solo en la periferia; sin embargo alguno de los grupos más interesantes, como por ejemplo los Perigerales, solo están capacitados para crecer cuando forman parte de un liquen, de este modo cultivos de esporas de diversas especies de este grupo han sido cultivadas aisladas del alga y aunque han germinado su micelio ha sido incapaz de desarrollarse, únicamente tras la adición de un fotobionte compatibles el ahora liquen ha crecido y con él el hongo.[36]
El tercer componente
.jpg.webp)
Un estudio publicado en 2016 puso de manifiesto la presencia de un tercer componente de la simbiosis, una levadura de la división Basidiomycota, en numerosas especies de líquenes. En origen este estudio pretendía localizar la causa genética de la mayor presencia de la sustancia liquénica llamada ácido vulpínico en Bryoria tortuosa que en Bryoria fremontii, dos especies tan cercanas filogenéticamente que actualmente se consideran variedades fenotípicas. Los análisis del ARNr metagenómico del córtex liquénico mostraron junto al genoma del ascomiceto Bryoria y de la cianobacteria Trebouxia (los biontes que forman esta simbiosis) la presencia de genoma de un basidiomicota del género Cystobasidium. Esta levadura aparecía en muestras de ambas especies aunque lo hacía de forma más profusa en la variedad Bryoria tortuosa. A pesar de que la observación microscópica no pudo revelar la presencia de esta levadura, la técnica de hibridación fluorescente in situ permitió localizar las células esféricas de entre 3 y 4 μm de diámetro del nuevo bionte embebidas en una matriz de polisacáridos de la zona externa del córtex. El enmascaramiento de las células de la levadura en la matriz polisacarídica podría explicar por qué esta no había sido observada anteriormente.
El protocolo fue repetido en hasta 52 especies de líquenes pertenecientes a muy diversos clados y localidades y en todas ellas se localizó la presencia de Cystobasidium. La función de este bionte basidiomicota es aún desconocida aunque se cree que puede estar relacionada con la producción de metabolitos secundarios, como el ácido vulpínico de Bryoria y su abundancia en diferentes individuos sería la causa de los diferentes fenotipos conocidos en una misma especie. Es posible que este bionte resulte aún más importante para la simbiosis que la simple producción de sustancias liquénicas, lo que podría explicar por qué muchos líquenes cultivados in vitro a partir de únicamente sus dos biontes conocidos exhiben una morfología aberrante o escasamente desarrollada en el córtex.[37]
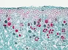
Organización del talo liquénico

Se denomina talo homómero a aquel en el que fotobionte y micobionte se encuentran distribuidos de forma uniforme.[38] Son los líquenes gelatinosos los que principalmente poseen estructura homómera de su talo. Estos líquenes son capaces de absorber más agua que los líquenes no gelatinosos en relación con su peso seco. Esto hace que el intercambio de gases sea muy limitado en estos organismos ya que cabe la posibilidad de que el talo se encuentre saturado de agua y por lo tanto la difusión del dióxido de carbono (CO2) se vea dificultada enormemente. Por ello que en estos líquenes la presencia del CO2 es un factor limitante para la fotosíntesis. Recientemente se han descrito diversos métodos de concentración de CO2 que permiten su acúmulo en el talo para posteriores usos por el fotobionte.[39]
Los talos heterómeros son aquellos en los que fotobionte y micobionte ocupan diferentes estratos dentro del liquen. Se divide el talo en varias capas, por una parte aparece un córtex superficial, de hifas muy apretadas de hongo donde por lo general nunca se encuentran rastros del alga. A continuación aparece la llamada capa gonidial, con hifas laxas mezcladas con células algales, es la región donde se produce la fotosíntesis por parte del alga y la interacción de esta con el hongo se hace más patente por la presencia de los haustorios. Por último la médula con hifas poco apretadas del hongo. El intercambio gaseoso en este tipo de líquenes se realiza mediante unas estructuras llamadas poros, cifelas y pseudocifelas, zonas más o menos deprimidas del córtex con hifas laxas del hongo que dejan un estrecho poro. En algunas ocasiones las cicatrices dejadas por los isidios actúan también permitiendo el paso de CO2 en la médula.[40][41]
Morfología del talo en el simbionte liquénico
Son escasos los ejemplos de líquenes cuya morfología viene determinada por el fotobionte (ocurre por ejemplo en los géneros Coenogonium, Ephebe, Cystocoleus o Racodium), en la mayoría de los casos es el micobionte el que marca las pautas de crecimiento para el simbionte.[22] El desarrollo de cierto tipo de talo es importante para conocer las relaciones que se establecerán en el simbionte, por ello tradicionalmente se ha dividido al grupo en la morfología de su talo en líquenes costroso, folioso, fruticoso y compuesto, a pesar de esta clasificación existen otros biotipos posibles en líquenes, como los llamados gelatinosos que algunos autores, sin embargo, incluyen en los tipos anteriores.
Talo costroso


Los llamados talos costrosos son aquellos que crecen fuertemente unidos al sustrato, hasta el punto de que es imposible separarlos de él sin destruirlo. Las características del talo de este tipo de líquenes les permite sobrevivir en ambientes muy extremos y en superficies expuestas de roca. Poseen organización tanto homómera como heterómera sobre todo en los márgenes de aquellos que posean areolas grandes o en especies intermedias con los líquenes foliosos. No poseen corteza inferior; su crecimiento es marginal pudiendo muchas veces solaparse diversos individuos y formar características estructuras a parches; la forma más simple de organización está presente en géneros como Lepraria en los que las hifas del micobionte envuelven pequeños grupos de alga sin posibilidad de diferenciarlos, el talo posee apariencia pulverulenta como afectado por lepra, razón por la cual el género toma el nombre; en el género de líquenes epifitos Vezdaea el fotobionte se encuentra organizado en pequeños gránulos o soredios de apenas un milímetro de diámetro.

La estructura de los líquenes endolíticos (que viven en el interior de microfisuras de rocas) o endofloeódicos (bajo la cutícula de hojas de plantas) es mucho más compleja; en muchos casos existe diferenciación entre el córtex superior y el resto del talo; diversos géneros como Buellia y Lecidea incluso se desarrollan estratificación del talo en ausencia del sustrato; este último género sitúa al fotobionte en la médula y puede extenderse hasta dos milímetros en el interior de los granos arenosos de las rocas en la que viven llegando a introducirse muchos más como sucede en la especie Lecidea sarcogynoides de Sudáfrica donde diversos individuos han penetrado hasta 9.6 milímetros de profundidad cada cien años.
Los líquenes costrosos, que viven unidos fuertemente a la superficie de las rocas, pueden presentar muy diversa morfología. De este modo encontramos especies con los márgenes no limitados, esbozados que apenas se diferencian del sustrato. Líquenes con bordes bien delimitados, de color más claro o más oscuro que el resto del individuo y bien diferenciados del medio. Talos figurados, lobulados radialmente y con los bordes laxamente unidos al sustrato pudiendo incluso separarse de él. Por último, los talos areolados poseen una división en su cara superior con numerosos surcos que delimitan porciones o areolas, los surcos dejan ver la zona más interna del individuo, de color oscuro.[42]
Los líquenes epilíticos son los más abundantes dentro de los líquenes costrosos, su talo suele encontrarse perfectamente limitado en su margen o con límites imprecisos. Un talo areolado es aquel en el que el simbionte se distribuye en múltiples porciones (areolas) de formas poligonales, en la estación seca cada una de la areolas de este organismo son perfectamente distinguibles mientras que en la estación húmeda no lo son; las areolas se desarrollan a partir de un talo primario por extensión hacia toda su circunferencia. El talo más complejo dentro de los costrosos es el llamado escamoso donde las areolas crecen hasta llegar a separarse parcialmente del sustrato formando las características escamas que dan nombre al fenotipo.
Talo folioso
.jpg.webp)

Los líquenes foliosos son aquellos en los que el talo se encuentra parcialmente despegado del sustrato y no en tan íntima relación con él como en los anteriores. Los talos pueden ser homómeros o heterómeros. Lo más usual es que posean organización dorsiventral, distinguiéndose entre zonas ventrales y dorsales. Dentro de este tipo de líquenes existe una enorme diversidad en cuanto a formas, organización y tamaños.
Los líquenes laciniados son aquellos que poseen la estructura típica de los líquenes foliosos; se adhieren al sustrato en casi toda su extensión y poseen en gran parte de las especies lóbulos cuya distribución en el talo es de los más variada, radial, alterna, etc. En algunas especies los lóbulos pueden encontrarse inflados por un mayor crecimiento de la médula. Son los líquenes que alcanzan mayores tamaños dentro del grupo y presentan un amplio abanico de colores, de consistencia y de formas, son ejemplo de ellos los géneros Xanthoparmelia, Physcia y Solorina. Se llama a un liquen umbilicado cuando posee un talo circular con un único anclaje, llamado umbilico, al sustrato en el centro como ocurre en Umbilicaria.
Un tipo muy particular de líquenes foliosos crecen en desiertos y poseen un interesante movimiento higroscópico: en épocas de sequía son capaces de enrollarse sobre sí mismos para mostrar la menor cantidad posible de superficie y evitar de ese modo la desecación exponiendo su superficie inferior formada por hifas del hongo, además en estado enrollado son capaces de ser transportados por el viento, normalmente hasta lugares sombríos como bases de piedras o matorrales a la espera de la llegada de humedad; esto ocurre en especies como Xanthomaculina convoluta o Chondropsis semivirdis.[43]
Talo fruticoso
.jpg.webp)

El talo de los líquenes fruticosos es alargado, cilíndrico o muy estrecho, en todos los casos se asemeja a una cabellera. Presentan por lo general un único punto de unión al sustrato quedando el resto del organismo lejos de él; pueden ramificarse, a veces muy profusamente; poseen crecimiento apical o intercalar y pueden ser macizos o huecos, en el caso de los homómeros, y aplanados los heterómeros. Sin embargo existen excepciones a esta morfología general. Así Sphaerophorus melanocarpus posee simetría dorsiventral aunque la anchura de los lóbulos es muy reducida. El tamaño de estos líquenes es muy variable según la especie. Por ejemplo, el género Usnea crece varios metros, mientras otras especies apenas lo hacen unos milímetros. La unión al sustrato se lleva a cabo mediante estructuras de fijación especiales que en algunas especies degeneran en la madurez dejando al individuo libre del sustrato. Ejemplos de este tipo de líquenes son los pertenecientes a los géneros Stereocaulon y Roccella.[44]
Talos heteromórficos
Algunos géneros desarrollan dos tipos de morfología en su talo así por ejemplo en el género Cladonia el talo sobre el que se desarrollan una parte vertical reproductiva llamada podecio y una parte horizontal vegetativa en forma de escamas o costra.[45] Son los llamados talos compuestos; en ellos se diferencia entre un talo horizontal o talo primario adherido al sustrato y otro vertical o secundario portador de los cuerpos fructíferos. Es posible que en estado adulto se pierda el talo primario como ocurre en Cladina.[46] En algunas especies el talo secundario está formado por tejido carpogénico, quiere decir esto que forma parte del cuerpo fructífero mientras que en otras especies el desarrollo del cuerpo fructífero se lleva a cabo en el extremo del talo secundario no siendo él mismo parte de ellos.
Reproducción


Los líquenes pueden reproducirse asexualmente a partir de porciones de talo con representantes de los dos biontes en la denominada fragmentación talina o a partir de estructuras especializadas llamadas soredios (que a su vez están agrupados en soralios) e isidios.
Un soredio es una agrupación de hifas del hongo rodeando a unos pocos elementos algares que se desprende de la superficie del talo liquénico para ser diseminado bien por el viento, bien por salpicaduras de lluvia; esta estructura carece por completo de organización interna.[47] Los isidios por el contrario se encuentran estructurados de la misma manera que el talo liquénico; son porciones de talo que se desarrollan en la superficie conservando la estructura en capas y córtex y que pueden desprenderse con facilidad. Estos tipos de reproducción asexual son los únicos procesos mediante los cuales se disemina la estructura completa del liquen y no solo uno de sus componentes. Ha de advertirse que estas estructuras son creadas exclusivamente por el hongo al ser este el único componente que necesita de la simbiosis para su supervivencia, o al menos el que tiene más ventaja en la unión. La ventaja evolutiva que implica la formación de estas estructuras pone de manifiesto la bondad de la simbiosis para el micobionte y su necesidad de asegurarse un organismo fotosintético para su supervivencia.[48]
El resto de las estructuras reproductoras formadas en el simbionte no involucran a los dos biontes. Debido probablemente a limitaciones impuestas por el micobionte que aún no se conocen, el elemento fotobiótico es incapaz de reproducirse por sí mismo mientras forma parte de la simbiosis. El hongo, por su parte, es capaz de reproducirse asexual y sexualmente según las características propias del grupo al que pertenezca, ascomicete, basidiomicete u otro. Los componentes reproductores fúngicos son capaces de diseminarse en busca de un alga a la que asociarse, que será la misma especie con la que previamente formaba la simbiosis u otra diferente, dependiendo de la especialización del hongo.
Las esporas sexuales formadas en ascomicotas se encuentran característicamente en peritecios y apotecios; en líquenes estas estructuras pueden estar formadas exclusivamente por el hongo o tener parte de la capa algar participando de ellas, en ambos casos las estructuras producidas en el himenio se diseminan en busca en un nuevo fotobionte o desarrollan un hongo de vida libre, salvo en hongos que son incapaces de vivir fuera de la simbiosis.
El hongo también puede desarrollar estructuras reproductoras asexuales por su cuenta; una sola especie de liquen (Micarea adnata) presenta la estructura denominada esporodoquio formada por una serie de conidióforos ramificados o simples similar a acérvulos y sinemas. La estructura reproductora asexual más común es el picnidio, receptáculo abierto o cerrado con forma de copa o de esfera que contiene en su interior gran cantidad de conidióforos productores de conidios. Este tipo particular de esporas que se producen en gran cantidad es capaz de permanecer en el medio durante mucho tiempo a la espera de encontrar el alga o ciantofita adecuada con la que asociarse, como ocurre con las esporas sexuales.[49]
Ecología
Estos organismos son colonizadores primarios en casi todos los ecosistemas conocidos, su capacidad de adaptación a medios con escasos nutrientes hace que sean capaces de desarrollarse tempranamente y comenzar la formación de suelo para la posterior llegada de otros organismos vegetales.[50] Los líquenes son organismos muy específicos respecto al sustrato y a las condiciones del medio en el que se desarrollan. Es posible encontrar simbiontes liquénicos en medios extremadamente hostiles para la vida como zonas polares o desérticas donde las características que les aporta la simbiosis permiten su desarrollo. Según un experimento realizado por la Agencia Espacial Europea durante el 2005 dos especies de líquenes antárticos fueron capaces de sobrevivir en el espacio sin ningún tipo de protección.[51] Esta gran capacidad de supervivencia ha permitido que las diversas especies de simbiontes liquénicos hayan colonizado y prosperado en prácticamente todos los ecosistemas terrestres.
Existen varias especies de líquenes marinos correspondientes a varios fila de hongos Ascomicotas y que poseen en una gran parte de los casos al alga Trebouxia como fotobionte. Estos líquenes tienen como hábitat principal la zona intermareal donde la batida de las olas impide el crecimiento de muchas algas, de este modo la simbiosis beneficiaría al alga ya no tanto en cuanto al almacenaje de agua sino respecto a la protección mecánica. Es posible reconocer en estas comunidades una zonación vertical del medio donde se desarrollan los organismos, de esta manera existen especies que se encuentran siempre sumergidas y otras que solo lo están en los momentos más altos de pleamar.[52]
Los líquenes son utilizados como indicador biológico de la calidad del aire debido a su longevidad y porque obtienen la mayor parte de sus nutrientes del aire, lo que los hace muy sensibles a las impurezas presentes en el medio,[53] como por ejemplo su susceptibilidad a la presencia de dióxido de azufre en este. Los talos jóvenes son mucho más sensibles a esta contaminación ambiental que aquellos plenamente desarrollados. La producción de soredios se ve notablemente reducida en medios contaminados por lo que la propagación de estos organismos se reduce notablemente. El dióxido de azufre es el principal responsable de la acidificación del agua de lluvia (lluvia ácida) necesaria para el crecimiento de estos organismos; la respuesta del talo frente a este tipo de contaminación es la creación de sustancias liquénicas hidrófobas y la reducción de la superficie expuesta a la lluvia, de modo que la fotosíntesis se ve reducida y con ella el crecimiento, aparte de la cantidad de agua utilizable.[54] La recuperación, sin embargo, de estos organismos ha resultado ser espectacular una vez que las condiciones ambientales vuelven a ser normales. Así, según estudios realizados, tras la eliminación de gran parte de los contaminantes ambientales de la ciudad de Londres a finales del siglo XX los líquenes han vuelto progresivamente a colonizar aquellos hábitats que les eran apropiados;[55] de igual forma en un país latinoamericano al reducir el plomo en el combustible y mejorarse los patrones de tránsito la cobertura de líquenes mejoró.[56]
En el trópico se realizó un experimento con el liquen Hypogymnia physodes que se usa en Europa como especie patrón para evaluar la contaminación atmosférica. Su trasplante experimental de Reutlingen (Alemania Federal) a San José (Costa Rica), mostró que sobrevive al menos de tres y medio a diez meses y que reacciona al medio tropical adquiriendo las características de coloración de las especies nativas[57]
Referencias
- Hawksworth, D. (1988). The variety of fungal-algal symbioses, their evolutionary significance, and the nature of lichens. Botanical Journal of the Linnean Society. 96. 3 - 20. 10.1111/j.1095-339.1988.tb00623.
- U'Ren, Jana M.; Lutzoni, François; Miadlikowska, Jolanta; Laetsch, Alexander D.; Arnold, A. Elizabeth (2012-05). «Host and geographic structure of endophytic and endolichenic fungi at a continental scale». American Journal of Botany 99 (5): 898-914. ISSN 0002-9122. doi:10.3732/ajb.1100459. Consultado el 14 de julio de 2021.
- Ahmadjian, V. (1982). Holobionts have more parts. Int. Lichenological Newsletter 15 (2): 19.
- Spribille T, Tuovinen V, Resl P et al. (2016). Basidiomycete yeasts in the cortex of ascomycete macrolichens. Science 353:488–492.
- Tassilo, F. & Hawksworth, D. (2007). Biodiversity of lichens, including a world-wide analysis of checklist data based on Takhtajan’s floristic regions. Biodiversity and Conservation. 16. 85-98. 10.1007/s10531-006-9142-6.
- Medina, Edier Soto; Díaz, David; Montaño, Javier (18 de enero de 2021). «Biogeografía y riqueza de los líquenes de Colombia». Revista de la Academia Colombiana de Ciencias Exactas, Físicas y Naturales 45 (174): 122-135. ISSN 2382-4980. doi:10.18257/raccefyn.1224. Consultado el 14 de julio de 2021.
- Nash, Thomas H. (1996). Lichen biology. Cambridge University Press. ISBN 0-521-45974-5.
- P. Ozenda & G. Clauzade (1970) Les Lichens. Étude biologique et flore illustré. Ed. Masson et Cie., París.
- Kirk PM, Cannon PF, Minter DW, Stalpers JA (2008). Dictionary of the Fungi. (10th edición). Wallingford: CABI. pp. 378–381. ISBN 978-0-85199-826-8.
- Hawksworth, D.L. (1988). «The variety of fungal-algal symbioses, their evolutionary significance, and the nature of lichens». Botanical Journal of the Linnean Society 96: 3-20. S2CID 49717944. doi:10.1111/j.1095-8339.1988.tb00623.x.
- «Form and structure – Sticta and Dendriscocaulon». Australian National Botanic Gardens. Archivado desde el original el 28 de abril de 2014. Consultado el 18 de septiembre de 2014.
- Lutzoni, Francois; Pagel, Mark; Reeb, Valerie (21 de junio de 2001). «Major fungal lineages are derived from lichen symbiotic ancestors». Nature 411 (6840): 937-940. Bibcode:2001Natur.411..937L. PMID 11418855. S2CID 4414913. doi:10.1038/35082053.
- Lutzoni, F.; Kauff, F.; Cox, C. J.; McLaughlin, D.; Celio, G.; Dentinger, B.; Padamsee, M.; Hibbett, D. et al. (2004). «Assembling the fungal tree of life: progress, classification, and evolution of subcellular traits». American Journal of Botany 91 (10): 1446-1480. PMID 21652303. S2CID 9432006. doi:10.3732/ajb.91.10.1446.
- «Mutualisms between fungi and algae – New Brunswick Museum». Archivado desde el original el 18 de septiembre de 2018. Consultado el 4 de octubre de 2018.
- Rybalka, N.; Wolf, M.; Andersen, R. A.; Friedl, T. (2013). «Congruence of chloroplast – BMC Evolutionary Biology – BioMed Central». BMC Evolutionary Biology 13: 39. PMC 3598724. PMID 23402662. doi:10.1186/1471-2148-13-39.
- Sanders, W. B.; Moe, R. L.; Ascaso, C. (2004). «The intertidal marine lichen formed by the pyrenomycete fungus Verrucaria tavaresiae (Ascomycotina) and the brown alga Petroderma maculiforme (Phaeophyceae): thallus organization and symbiont interaction – NCBI». American Journal of Botany 91 (4): 511-22. PMID 21653406. doi:10.3732/ajb.91.4.511. hdl:10261/31799.
- Thomas N. Taylor, Hagen Hass y Hans Kerp (1997). «A Cyanolichen from the Lower Devonian Rhynie Chert». American Journal of Botany 8 (84). pp.992–1004. (enlace roto disponible en Internet Archive; véase el historial, la primera versión y la última).
- I. V. Karatygin, N. S. Snigirevskaya, y S. V. Vikulin (2009). «The Most Ancient Terrestrial Lichen Winfrenatia reticulata: A New Find and New Interpretation». Paleontological Journal 43 (1). ISSN 0031-0301, pp. 107–114.
- Líquenes fósiles que parecen demostrar la colonización del medio terrestre encontrados en China.
- First land plants and fungi changed earth's climate, paving the way for explosive evolution of land animals, new gene study suggests, Daniel S. Heckman et al. Science, agosto de 2001.
- David L. Hawksworth, Interacciones hongo-alga en simbiosis liquénicas y liquenoides Anales del Real Jardín Botánico de Madrid 46.
- Lichen biology Thomas H. Nash. Página 2.
- J. W. Deacon, Modern Mycology p. 111.
- Vernon Ahmadjian, The Lichen Symbiosis p. 100.
- A química dos liquens en Quimica Nova volumen 22 n.1 São Paulo 1999.
- Ecología química en hongos y líquenes. Francisco J Toledo Maranten et al.
- Aplicación de técnicas analíticas e interpretación de las variaciones químicas en líquenes (enlace roto disponible en Internet Archive; véase el historial, la primera versión y la última).. Esteban Manrique Reol.
- R. S. Mehrotra y K. R. Aneja, An Introduction to Mycology p. 706.
- Martha Chaparro de Valencia, Jaime Aguirre Ceballos, Hongos liquenizados p. 80.
- María Isabel Martínez Moreno (1999) Taxonomía del género Peltigera Willd. (Ascomycetes liquenizados) en la península Ibérica y estudio de sus hongos liquenícolas, p.34 en Monografías del Real Jardín Botánico de Madrid, CSIC.
- Ahmadjian, Vernon (1993). The Lichen Symbiosis. Pag. 30. John Wiley & Sons, Inc. ISBN 0-471-57885-1.
- Ahmadjian, Vernon (1993). The Lichen Symbiosis. Pag. 56. John Wiley & Sons, Inc. ISBN 0-471-57885-1.
- Thomas H. Nash, Lichen Biology, p. 24.
- H. B. Griffiths1 y A. D. Greenwood, The concentric bodies of lichenized fungi en Archives of Microbiology, Volumen 87, n.º 4, pp. 285-302, diciembre de 1972. ISSn 0302-8933.
- B. Büdel y C. Scheidegger en Lichen Biolohy de Thomas H. Nash, p. 65.
- Toby Spribille, Veera Tuovinen, Philipp Resl, Dan Vanderpool, Heimo Wolinski, M. Catherine Aime, Kevin Schneider, Edith Stabentheiner, Merje Toome-Heller, Göran Thor, Helmut Mayrhofer, Hanna Johannesson, John P. McCutcheon (2016). «Basidiomycete yeasts in the cortex of ascomycete macrolichens». Science 353 (6298). DOI: 10.1126/science.aaf8287, pp. 488-492 – via Science. (requiere suscripción).
- Martha Chaparro de Valencia, Jaime Aguirre Ceballos, Hongos liquenizados p. 35.
- B. Büdel y C. Scheidegger en Lichen Biolohy de Thomas H. Nash, p. 88.
- Sharma, O.P. (1989). Textbook Of Fungi. Tata McGraw-Hill Education. pp. p.282.
- Chaparro de Valencia, Martha (2002). Hongos liquenizados. Universidad Nacional de Colombia. pp. p.72.
- B. Büdel y C. Scheidegger en Lichen Biology p.39
- Thomas H. Nash, Lichen Biology p. 43.
- Martha Chaparro de Valencia, Jaime Aguirre Ceballos, Hongos liquenizados p. 32.
- Calatayud, Vicent et al. (2010). «Generalidades líquenes». Guía de los Líquenes del parque nacional de Monfragüe. ISBN 9788477239512, p.12. Archivado desde el original el 13 de junio de 2013. Consultado el 23 de octubre de 2013.
- Martha Chaparro de Valencia, Jaime Aguirre Ceballos, Hongos liquenizados p. 34.
- Eichorn, Susan E., Evert, Ray F., and Raven, Peter H. 2005. Biology of Plants. New York (NY):W.H. Freeman and Company. 289 p.
- Vernon Ahmadjian, The Lichen Symbiosis p. 25.
- Vernon Ahmadjian, The Lichen Symbiosis p. 64.
- R. S. Mehrotra, K. R. Aneja, An Introduction to Mycology p. 708.
- Noticia Universia.
- Fungaldiversity.
- Méndez Estrada, V.H. & J. Monge-Nájera. 2011. El uso de líquenes como biomonitores para evaluar el estado de la contaminación atmosférica a nivel mundial. Biocenosis 25 (1-2): 51-67.
- Ecored200.
- Lichen recolonization in London's cleaner air. C. I. Rose and D. L. Hawksworth in Nature 289, 289-292.
- Monge-Nájera, J., M.I. González, M. Rivas R. & V.H. Méndez-Estrada. 2002. Twenty years of lichen cover change in a tropical habitat (Costa Rica) and its relation with air pollution. Rev. Biol. Trop. 50(1): 309-319.
- Gruninger, W. & J. Monge-Nájera. 1988. Use of the temperate lichen Hypogymnia physodes (Parmeliaceae) to valuate air pollution in the Tropics. Rev. Biol. Trop. 36(2B): 545-547.
Bibliografía
- Ahmadjian, Vernon (1993). The Lichen Symbiosis.. John Wiley & Sons, Inc. ISBN 0-471-57885-1.
- Chaparro de Valencia, Martha (2002). Hongos liquenizados. UNIBIBLOS. ISBN 958-701-241-0.
- Deacon, J. W. (1997). Modern Mycology. Blackwell Publishing. ISBN 0-632-03077-1.
- Galun, Margalith (1988). Handbook of Lichenology. CRC. ISBN 0-8493-3582-5.
- Hawksworth, David L. (1988). «Interacciones Hongo-Alga en simbiosis liquénicas.». Anales del Jardín Botánico de Madrid (46). 235-247. (enlace roto disponible en Internet Archive; véase el historial, la primera versión y la última).
- Mehrotra, R. S.; y K. R. Aneja (1990). An Introduction to Mycology. New Age Publishers. ISBN 81-224-0089-2.
- Nash, Thomas H. (1996). Lichen biology. Cambridge University Press. ISBN 0-521-45974-5.
- Paracer, Surindar; y Vernon Ahmadjian (2000). Symbiosis: An Introduction to Biological Associations. Oxford University Press. ISBN 0-19-511807-3.
- Seckbach, Joseph (2002). Simbiosis: Mechanisms and model Systems.. Dordrecht: Kluwer Academic Publishers. ISBN 1-4020-0189-4.
- Volkmar et al. (2004). Guía de campo de líquenes, musgos y hepáticas. Ediciones Omega. ISBN 84-282-1266-X.
