Kernícterus

El kernícterus, ictericia nuclear o encefalopatía neonatal bilirrubínica es una complicación neurológica grave causada por la elevación de los niveles normales de bilirrubina en la sangre del neonato. Se debe a la acción directa de la bilirrubina indirecta libre sobre el sistema nervioso central, inhibiendo varios procesos bioquímicos muy importantes, como la fosforilación oxidativa de las mitocondrias y la síntesis proteica.[1]

Kernícterus

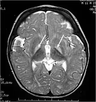
Resonancia magnética de la cabeza. Lesiones hiperintensas de los ganglios basales en T2, marcadas con una flecha blanca.
Especialidad pediatría
Sinónimos
  • Ictericia nuclear
    * Encefalopatía neonatal bilirrubínica

Etiología

Una de las principales causas es el síndrome de Crigler-Najjar, causado por una ausencia absoluta o un déficit moderado de la enzima glucuroniltransferasa, responsable de la conjugación de bilirrubina indirecta.

Patogenia

El primer factor importante es la barrera hematoencefálica, cuya eficacia depende de:

  • La liposolubilidad de las sustancias.
  • El tamaño: la bilirrubina unida a la albúmina, tal como viaja en sangre, no la traspasa.
  • El estado de la barrera, que puede estar más permeable si está dañada (por ejemplo, por hipoxia).
  • La edad del individuo; así, sólo el neonato es susceptible de sufrir este cuadro.

La predilección de la bilirrubina indirecta sobre el sistema nervioso central se debe a su alto contenido en lípidos, la escasez de tejido adiposo (sí es abundante en grasa parda cuya única función es producir calor) en el recién nacido, así como los bajos niveles de albúmina en el líquido interneuronal.

Los niveles de bilirrubina indirecta en sangre capaces de desarrollar este cuadro son dudosos y variables entre individuos. Sin embargo, se utilizan por consenso niveles mayores a 20 miligramos por decilitro durante más de 4 días. En general, depende de la cantidad de albúmina plasmática, la presencia de sustancias o iones competidores o factores que aumenten la disociación bilirrubina-albúmina. La prematuridad es el factor más directamente implicado, pues combina los tres anteriores.

Anatomía patológica

Lesiones precoces

Macroscópicamente destaca la coloración amarillenta del sistema nervioso central, que se hace más evidente en:

Microscopicamente se observa picnosis, hinchazón y vacuolización del citoplasma, y desestructuración de mitocondrias y del aparato de Golgi en las neuronas centrales.

Lesiones tardías

Cuadro clínico

Fases clínicas iniciales

Secuelas

- Hipertonía extrapiramidal
- Hipertonía piramidal
- Hipertonía mixta
- Hipotonía

Pronóstico

Entre el 50 y el 75 % de los niños con ictericia nuclear mueren precozmente.

Véase también

Referencias

  1. Guyton, Arthur C. (2006). Tratado de fisiología médica (11ª edición). Elsevier España S.A. p. 454. ISBN 978-84-8174-926-7.

Enlaces externos

Este artículo ha sido escrito por Wikipedia. El texto está disponible bajo la licencia Creative Commons - Atribución - CompartirIgual. Pueden aplicarse cláusulas adicionales a los archivos multimedia.