Jacques Lisfranc
Jacques Lisfranc de Saint Martin (Saint-Paul-en-Jarez, 2 de abril de 1790 – París, 13 de mayo de 1847) fue un cirujano y ginecólogo francés. Fue pionero en varias intervenciones quirúrgicas, como la extirpación del recto y la amputación del cuello uterino.[1]
| Jacques Lisfranc | ||
|---|---|---|
![]() | ||
| Información personal | ||
| Nacimiento |
2 de abril de 1787 Saint-Paul-en-Jarez (Francia) | |
| Fallecimiento |
13 de mayo de 1847 (60 años) París (Francia) | |
| Sepultura | Cementerio de Montparnasse | |
| Nacionalidad | Francesa | |
| Educación | ||
| Alumno de | Guillaume Dupuytren | |
| Información profesional | ||
| Ocupación | Médico, ginecólogo y cirujano | |
| Alumnos | Philippe Ricord | |
| Miembro de |
| |
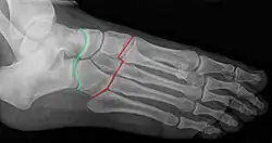
La articulación de Lisfranc (articulación tarsometatarsiana) y la lesión de Lisfranc llevan su nombre.[2]
Biografía

Nació en una familia de médicos y estudió Medicina primero en Lyon y luego en París bajo la dirección de Guillaume Dupuytren. Tras obtener el título de médico en 1813, se incorporó muy joven al servicio de sanidad del ejército y participó en la última campaña de Alemania.[1] Sus descripciones de la lesión de Lisfranc se remontan a su época de cirujano militar en el ejército de Napoleón, ya que muchos jinetes sufrían caídas del caballo. Algunos se enganchaban en los estribos, por lo que era habitual que se produjera una fractura del antepié y un desplazamiento de los huesos del metatarso con respecto a los del tarso.
Después de su paso por el ejército, en 1814 se trasladó a París para trabajar como cirujano. Allí se convirtió en cirujano jefe del Hospital de la Pitié, sucediendo a Pierre-Augustin Béclard, y adquirió un gran renombre por sus cursos de medicina operatoria.[1] Sus conocimientos técnicos, así como su destreza, le atrajeron una importante clientela. Fue reconocido por sus habilidades, pero también por su carácter apasionado. Fue uno de los pioneros en ciertas intervenciones de gran complejidad, como la extirpación del recto y la amputación del cuello uterino en las mujeres.[1] También estableció una serie de normas para la ligadura y la amputación.
Murió a la edad de 57 años a causa de una "angina diftérica" (pseudomembranosa) complicada por una fiebre perniciosa. Está enterrado en el cementerio de Montparnasse de París.
Eponimia

Su nombre ha quedado asociado a dos procedimientos ideados por él, uno para desarticular el hombro con mayor rapidez y el otro para amputar el pie en su articulación tarsometatarsiana, con el fin de dejar al amputado una base de apoyo más amplia.
También se han nombrado en su honor:[2]
- una articulación del pie, la articulación tarsometatarsiana, conocida como articulación de Lisfranc;
- una lesión traumática de ésta, la fractura-luxación de Lisfranc (clasificada en tres tipos);
- una intervención quirúrgica, la operación de Lisfranc, que consiste en la desarticulación (o amputación) tarsometatarsiana;
- un tubérculo de la primera costilla donde se inserta el músculo escaleno anterior: el tubérculo de Lisfranc;
- los ligamentos interóseos cuneo-metatarsianos o ligamentos de Lisfranc.
Obras seleccionadas
- Des diverses méthodes et des différens procédés pour l'oblitération des artères dans le traitement des anévrysmes etc., 1834.
- Maladies de l'utérus, d'après les leçons cliniques. París, 1836.
- Clinique chirurgicale de l'hôpital de la Pitié. París, 1841-1843, 3 vol.
- Précis de Médecine opératoire. París, 1845-1847, 3 vol.
Referencias
- «Jacques Lisfranc de St. Martin». accademiadellescienze.it. Academia de Ciencias de Turín.
- "Lisfranc" en el Dictionnaire médical de l'Académie de Médecine (en francés)
Bibliografía
- Couturier, L.-Auguste (1852). «Biographie de Jacques Lisfranc de St-Martin». Biblioteca Nacional de Francia (en francés).
