Hemisferectomía
La hemisferectomía es un procedimiento neuroquirúrgico que consiste en la extracción o inhabilitación de un hemisferio cerebral (una de las mitades del cerebro). Este procedimiento es usado para tratar un gran número de trastornos convulsivos donde la fuente de la epilepsia se localiza en una área más o menos amplia de uno de los hemisferios del cerebro. Está únicamente reservada para casos extremos en que las crisis no hayan respondido a los medicamentos u otras cirugías menos invasivas.
| Hemisferectomía | ||
|---|---|---|
| Clasificación y recursos externos | ||
| CIE-9-MC | 01.52 | |
| MeSH | D038421 | |
Historia y cambios
El primer intento por llevar a cabo una hemisferectomía fue experimentada en un perro, en 1888, por Friedrich Goltz. La primera operación en humanos fue realizada por Walter Dandy en 1923. Entre los años 1960 e inicios de los 1970, la hemisferectomía involucró la extracción de la mitad del cerebro, pero en muchos casos esto dio lugar a complicaciones y efectos secundarios inaceptables, como el llenado excesivo de líquido cefalorraquídeo en el cráneo, causando presión en los lóbulos restantes (lo que se conoce como hidrocefalia). La primera operación exitosa fue llevada a cabo por el doctor Ben Carson, en el Hospital Johns Hopkins de Baltimore, Maryland (Estados Unidos). Hoy en día, la hemisferectomía funcional ha reemplazado en gran medida a este procedimiento, en donde el lóbulo temporal es quitado; se realiza un procedimiento conocido como callostomía; y los lóbulos frontal y occipital son desconectados del resto del cerebro.
Resultados
Todos los pacientes sometidos a hemisferectomías sufren algún nivel de hemiplejia en el lado del cuerpo opuesto a la porción extraída o inhabilitada, y pueden sufrir problemas en su percepción visual.
Este tipo de cirugía está casi exclusivamente destinada para que se realice en menores de edad, pues sus cerebros generalmente manifiestan más neuroplasticidad, permitiendo a las neuronas del hemisferio remanente tomar el control de las tareas del hemisferio perdido. Esto probablemente se produce mediante el fortalecimiento de las conexiones neuronales que ya existen en el lado sano, pero que de otro modo habrían seguido siendo pequeño en un cerebro que funciona normalmente, que está sano.[1] Un caso, demostrado por Smith & Sugar, 1975, A. Smith, 1987, demostró que un paciente sometido a este procedimiento no tuvo inconvenientes en terminar la universidad y asistir a la escuela de postgrado, anotando por encima del promedio en las pruebas de inteligencia. Los estudios no han encontrado ningún efecto significativo a largo plazo en la memoria, la personalidad, o el humor después del procedimiento,[2] con cambios mínimos en la función cognitiva.[3]
En general, cuanto mayor sea la capacidad intelectual del paciente antes de la cirugía, mayor es la disminución de la función. La mayoría de los pacientes que terminan con retraso mental leve o severo, suelen tener esta condición antes de la cirugía. Al reseccionar el hemisferio izquierdo, la evidencia indica que algunas de las funciones lingüísticas avanzadas (por ejemplo, la gramática de orden superior) no pueden ser totalmente asumidas por el lado derecho. El grado de pérdida avanzada del lenguaje a menudo depende de la edad del paciente al momento de la cirugía.[4]
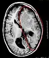
Imágenes
Cerebro enfermo, antes de la hemisferectomía
Referencias
- R. Chen, L. G. Cohen and M. Hallett, Nervous system reorganization following injury. Neuroscience. 2002;111(4):761-73. PMID 12031403
- Vining EP, Freeman JM, Pillas DJ, Uematsu S, Carson BS, Brandt J, Boatman D, Pulsifer MB, Zuckerberg A. Why would you remove half a brain? The outcome of 58 children after hemispherectomy-the Johns Hopkins experience: 1968 to 1996. Pediatrics. 1997 Aug;100(2 Pt 1):163-71. PMID 9240794
- Pulsifer MB, Brandt J, Salorio CF, Vining EP, Carson BS, Freeman JM. The cognitive outcome of hemispherectomy in 71 children. Epilepsia. 2004 Mar;45(3):243-54. PMID 15009226
- Bayard S, Lassonde M. Cognitive, Sensory and Motor Adjustment to Hemispherectomy. In Neuropsychology of Childhood Epilepsy, ed. Jambaqué I. 2001.
Enlaces externos
Bibliografía
- Antonio M. Battro (2001). Half a Brain is Enough : The Story of Nico. Cambridge University Press. (ISBN 0-521-78307-0)
- Christine Kenneally (3 de julio de 2006). «The Deepest Cut». The New Yorker: 36-42.
- Charles Q. Choi (marzo de 2008). «Do You Need Only Half Your Brain?». Scientific American 298 (3): 104.