Hipertensión arterial
La hipertensión arterial (HTA) es una enfermedad crónica caracterizada por un incremento continuo de las cifras de la presión sanguínea por encima de los límites sobre los cuales aumenta el riesgo cardiovascular. De acuerdo con numerosos estudios internacionales, la morbilidad y mortalidad de causa cardiovascular tiene una relación directa con el aumento de las cifras de presión sistólica sostenida por encima de 139 mmHg o una presión diastólica sostenida mayor de 89 mmHg tanto para las complicaciones de la enfermedad coronaria como para los accidentes vasculares cerebrales, la insuficiencia cardiaca, la enfermedad vascular periférica y la insuficiencia renal.[9][10][11]
| Hipertensión | ||
|---|---|---|
![]() Proceso de remodelado arterial en la hipertensión arterial | ||
| Especialidad | cardiología | |
| Síntomas | No[1] | |
| Complicaciones | Enfermedad de las arterias coronarias, accidente cerebrovascular, insuficiencia cardíaca, enfermedad vascular periférica, discapacidad visual, enfermedad renal crónica, demencia[2][3][4] | |
| Causas | Por lo general, el estilo de vida y los factores genéticos.[5] | |
| Factores de riesgo | Falta de sueño, exceso de sal, sobrepeso, fumar, consumo de alcohol,[1][5] contaminación del aire[6] | |
| Diagnóstico |
Presión arterial en reposo 130/80 o 140/90 mmHg[5] | |
| Tratamiento | Cambios en el estilo de vida, medicamentos.[7] | |
| Frecuencia | 16–37% global[5] | |
| Tasa de letalidad | 9,4 millones (2010)[8] | |
Cerca de un tercio de la población adulta de los países desarrollados y de los países en vías de desarrollo sufre de hipertensión arterial; es la principal causa de consulta a los servicios médicos de atención primaria. Sobre cifras de 115/75 de presión arterial por cada incremento de 20 mmHg de la presión sistólica o 10 mmHg de la presión diastólica, el riesgo de un evento cardiovascular se duplica.[12]
La hipertensión es una enfermedad asintomática y fácil de detectar; sin embargo, cursa con complicaciones graves y letales si no se trata a tiempo. La hipertensión crónica es el factor de riesgo modificable más importante para desarrollar enfermedades cardiovasculares, así como para la enfermedad cerebrovascular y renal.[13]
Aun cuando suele ser asintomática, las manifestaciones típicas de la hipertensión pueden ser:
- sensación de calor excesivo,
- mareo,
- dolor agudo de cabeza (similar a la migraña) y
- enrojecimiento de la piel a nivel de las mejillas, orejas y alas de la nariz.
Se sabe también que los hombres tienen más predisposición a desarrollar hipertensión arterial que las mujeres, situación que cambia cuando la mujer llega a la menopausia, ya que antes de esta posee hormonas protectoras que desaparecen en este periodo y a partir de ese momento la frecuencia se iguala. Por lo tanto la mujer debe ser más vigilada para esta enfermedad en los años posteriores a la menopausia.[14]
La hipertensión arterial, de manera silente, produce cambios en el flujo sanguíneo, a nivel macro y microvascular, causados a su vez por disfunción de la capa interna de los vasos sanguíneos y el remodelado de la pared de las arteriolas de resistencia, que son las responsables de mantener el tono vascular periférico. Muchos de estos cambios anteceden en el tiempo a la elevación de la presión arterial y producen lesiones orgánicas específicas.
En el 90 % de los casos la causa de la hipertensión arterial es desconocida, por lo cual se denomina «hipertensión esencial», con una fuerte influencia hereditaria.
Entre el 5 y el 10 % de los casos existe una causa directamente responsable de la elevación de las cifras tensionales. A esta forma de hipertensión se la denomina «hipertensión arterial secundaria» que no solo puede en ocasiones ser tratada y desaparecer para siempre sin requerir tratamiento a largo plazo, sino que además, puede ser la alerta para localizar enfermedades aún más graves, de las que la hipertensión arterial es únicamente una manifestación clínica.[15]
Los diuréticos y los betabloqueantes reducen la aparición de eventos adversos por hipertensión arterial relacionados con la enfermedad cerebrovascular. Sin embargo, los diuréticos son más eficaces en la reducción de eventos relacionados con la enfermedad cardíaca coronaria. Los pacientes hipertensos que cumplen su tratamiento tienen menos probabilidades de desarrollar hipertensión grave o insuficiencia cardíaca congestiva.[16] En la mayoría de los casos, en los ancianos se utilizan dosis bajas de diuréticos como terapia inicial antihipertensiva. En pacientes ancianos con hipertensión sistólica aislada suele utilizarse como terapia alternativa un inhibidor de los canales de calcio de acción prolongada, tipo dihidropiridina. En pacientes ancianos con hipertensión no complicada, aún se están realizando ensayos para evaluar los efectos a largo plazo de los inhibidores de la enzima convertidora de angiotensina y los bloqueadores del receptor de la angiotensina-II.[16]
La medición de la presión arterial, que se da en milímetros de mercurio (mm Hg), consta de dos números. El primero, o mayor, mide la presión en las arterias cuando el corazón late (presión sistólica). El segundo, o menor, mide la presión en las arterias entre los latidos del corazón (presión diastólica).
A la hipertensión se la denomina «la plaga silenciosa del siglo XXI». El Día Mundial de la Hipertensión se celebra el 17 de mayo.
Historia
_Venenbild.jpg.webp)
Epidemiología
Datos recientes del Estudio Framingham del Corazón sugieren que aquellos individuos normotensos mayores de 65 años de edad tienen un riesgo de por vida aproximado de 90% de tener hipertensión arterial[18]. Desde los años 1980, el número de pacientes no diagnosticados ha aumentado de 25% hasta casi un 33% en los años 1990, la prevalencia de insuficiencia renal aumentó de menos de 100 por millón de habitantes hasta más de 250 por millón y la prevalencia de insuficiencia cardíaca congestiva se duplicó.[19]
Es más frecuente en las zonas urbanas que en las rurales, y más frecuente en los negros que en los blancos. La incidencia se ha calculado entre 0,4 y 2,5 % anual. La mortalidad por certificado de defunción es de 8,1 por 100 000. Utilizando otros criterios llega a ser de 76 por 100 000. Se calcula entonces entre 8 000 a 9 000 muertes anuales atribuibles a la hipertensión arterial. Del 66 al 75 % de los casos de trombosis cerebral tiene hipertensión arterial. El 90 % de las hemorragias intracraneales no traumáticas corresponden a la hipertensión arterial.[cita requerida]
Clasificación

La presión arterial se expresa con dos medidas, la presión arterial sistólica y diastólica, como por ejemplo 120/80 mmHg. La presión arterial sistólica (la primera cifra) es la presión sanguínea en las arterias durante la sístole ventricular, cuando la sangre es expulsada desde el corazón a las arterias; la presión arterial diastólica (el número inferior) es la presión en la diástole, cuando el corazón se relaja y la presión arterial cae.
Las guías clínicas del manejo de la hipertensión arterial clasifican la hipertensión en fases o estadios (ver tabla), que tendrán distinto pronóstico y tratamiento. Estas clasificaciones se obtienen haciendo la media de las lecturas de la presión arterial del paciente en reposo tomadas en dos o más visitas. La hipertensión es un factor de riesgo cardiovascular; el tratamiento antihipertensivo irá enfocado a reducir el riesgo cardiovascular global, por lo tanto, al instaurar el tratamiento se tendrán en cuenta, además de las cifras de presión arterial, la presencia de otros factores de riesgo cardiovascular, como enfermedad renal o cardiovascular establecida, diabetes o síndrome metabólico.[20][21]
Actualmente la clasificación de la AHA (American Heart Association: Asociación Estadounidense del Corazón) en conjunto con el ACC (American College of Cardiology: Colegio Americano de Cardiología) se ha actualizado y desde 2017 publicó las guías para la detección, prevención, gestión y tratamiento de la hipertensión arterial. En donde algunos aspectos a tener en cuenta son:
- La presión arterial alta se define ahora como lecturas de 130 mmHg y superiores para la medición de la presión arterial sistólica, o lecturas de 80 y superiores para la medición diastólica. Esto es un cambio de la antigua definición de 140/90 y superior, que refleja las complicaciones que pueden producirse en esos números más bajos.[22]
- En la primera actualización de las completas guías de Estados Unidos sobre la detección y el tratamiento de la presión arterial desde 2003, se elimina la categoría de prehipertensión.[22]
- Si bien habrá cerca de un 14 por ciento más de personas que serán diagnosticadas con presión arterial alta y que recibirán asesoramiento sobre cambios en los hábitos de vida, solo habrá un ligero aumento en las personas a las que se les recetará medicamentos.[22]
- Al reducir la definición de hipertensión arterial, las guías recomiendan una intervención temprana para prevenir aumentos adicionales en la presión arterial y las complicaciones de la hipertensión.[22]
A continuación se muestran una lista de las clasificaciones según las distintas guías.
| Clasificación de la PA medida en consulta según las distintas guías | ||||||
|---|---|---|---|---|---|---|
| Según AHA/ACC en adultos* (2017)[23] | Presión sistólica | Presión diastólica | ||||
| mmHg | kPa | mmHg | kPa | |||
| Normal | <120 | <15.9 | y | <80 | <10.6 | |
| Elevada | 120–129 | 15.9-17.1 | y | <80 | <10.6 | |
| HTA estadio 1 | 130-139 | 17.3-18.5 | o | 80–89 | 10.6-11.8 | |
| HTA estadio 2 | ≥140 | ≥18.6 | o | ≥90 | ≥11.9 | |
| *Si tiene valores en dos categorías, aplica la más alta | ||||||
| Crisis hipertensiva | ≥180 | ≥23.9 | o | ≥120 | ≥15.9 | |
| Clasificación de la PA medida por AMPA o MAPA, según NICE (2011).[24] | |||
|---|---|---|---|
| Estadio | Sistólica (mmHg). | Diastólica (mmHg). | |
| HTA estadio 1 | 140-159 | o | 85-99 |
| HTA estadio 2 | 160-179 | o | 95-109 |

La presión arterial medida en consulta puede ser mayor a la presión arterial que una persona tiene normalmente, fenómeno que se conoce como hipertensión de bata blanca.[25] Las guías NCGC-127 del National Institute for Health and Clinical Excellence (NICE) británico,[24] del 2011 tienen en cuenta este fenómeno e incluyen las cifras de la monitorización ambulatoria de la presión arterial (MAPA) y de la automedida de la presión arterial (AMPA) por encima de las cuales consideran a la población hipertensa.
El JNC 7 (The Seventh Report of the Joint National Committee on Prevention, Detection, Evaluation, and Treatment of High Blood Pressure)[26] definió como prehipertensión a la presión arterial comprendida entre 120/80 mmHg y 139/89 mmHg. La prehipertensión no es una enfermedad, sino una categoría que permite identificar personas con alto riesgo de desarrollar hipertensión. Esta cifra puede variar de acuerdo al sexo y edad del paciente.
La hipertensión sistólica aislada se refiere a la presencia de una presión sistólica elevada conjuntamente con una presión diastólica normal, una situación frecuente en las personas de edad avanzada.
La hipertensión se clasifica como resistente o refractaria en sujetos tratados con al menos 3 fármacos antihipertensivos a dosis plenas, uno de ellos diurético, con un adecuado cumplimiento de la medicación antihipertensiva, es decir si la medicina convencional no reduce la presión arterial a niveles normales.[26] En Estados Unidos[27] y el Reino Unido[28] se han publicado sendas guías para el tratamiento de la hipertensión resistente.
La hipertensión al ejercicio es una elevación excesiva de la presión arterial durante el ejercicio.[29][30][31] El rango considerado normal durante el ejercicio para los valores sistólicos es entre 200 y 230 mmHg.[32] La hipertensión al ejercicio puede indicar que el individuo tiene riesgo de desarrollar posteriormente hipertensión en reposo.[31][32]
La lectura de la tensión sistólica tiene predominio sobre la diastólica después de los 50 años, siendo al revés previo a esa edad. Antes de los 50 años de edad la presión arterial diastólica es un factor de riesgo de cardiopatía, mientras que la presión arterial sistólica lo es después de los 50 años de edad.[33]
Clasificación de la hipertensión arterial sistémica (HAS) según su causa

- Hipertensión arterial sistémica esencial. Corresponde a la inmensa mayoría de los casos.
- Hipertensión arterial sistémica secundaria.[11] Puede obedecer a múltiples causas que representan en conjunto un pequeño porcentaje del total.
- De causa endocrinológica.
- Hipertiroidismo
- Hipotiroidismo (mixedema).
- Feocromocitoma
- Hiperfunción de la corteza suprarrenal: síndrome de Cushing, hiperaldosteronismo primario (Síndrome de Conn), hiperplasia congénita adrenal, ingestión excesiva de regaliz.
- Hormonas exógenas: glucocorticoides, estrógeno (incluyendo el inducido por el embarazo y los contraceptivos orales), alimentos que contengan simpaticomiméticos y tiramina, inhibidores de la monoamino oxidasa
- Acromegalia
- Hipertensión arterial del embarazo.
- De causa parenquimatosa renal: todas las nefropatías parenquimatosas y tubulointersticiales en fase terminal.
- Glomerulonefritis aguda
- Enfermedad renal crónica
- Enfermedad poliquística renal
- Tumores productores de renina.
- De causa renovascular.
- Intrínsecas a la arteria renal
- Aterosclerosis de la arteria renal
- Masas extrínsecas compresivas de la arteria renal
- Fibrodisplasia de la arteria renal.
- De causa aórtica (vascular).
- Coartación aórtica
- Poliarteritis nodosa
- Aumento del volumen intravascular
- Aumento del gasto cardíaco
- Rigidez de la aorta.
- De causa neurogénica.
- Enfermedades bulbares y medulares.
- Psicogénica: Hipertensión de bata blanca[34]
- Traumatismo craneoencefálico o de médula espinal
- Hipertensión intracraneal
- Tumores encefálicos
- Apnea del sueño
- De causa endocrinológica.
- Esclerodermia
- Enfermedad de Takayasu-Onishi
- Hipertensión secundaria a coartación aórtica
- Hipertensión arterial secundaria a endocrinopatías
- Acromegalia
- Hipercalcemia
- Deficiencia de 11-hidroxilasa
- Deficiencia de 17-hidroxilasa
- Síndrome de Geller. Mutación del gen receptor de mineralocorticoide.
- Hipertensión asociada a enfermedades del sistema nervioso central.
Etiología
Algunos de los factores ambientales que contribuyen al desarrollo de la hipertensión arterial incluyen la obesidad, el consumo de alcohol, circunstancias de nacimiento y las profesiones estresantes. Se ha notado que en sociedades económicamente prósperas, estos factores aumentan la incidencia de hipertensión con la edad.
Sodio
El consumo excesivo de sal induce y mantiene la hipertensión arterial. La hipertensión sensible a la sal es el tipo más frecuente de hipertensión primaria. La hipertensión sensible a la sal consiste en un incremento exagerado en la presión inducido por el consumo de sal.[35][36]
Aproximadamente un tercio de la población normotensa y dos tercios de la hipertensa son sensibles a la sal.[37] En esa parte de la población, al aumentar la ingesta de sal se aumenta la presión osmótica sanguínea al retenerse agua, aumentando la presión sanguínea.
Renina
Se ha observado que la renina, secretada por el riñón y asociada a la aldosterona, tiende a tener un rango de actividades más amplio en los pacientes hipertensos. Sin embargo, la hipertensión arterial asociada a un bajo nivel de renina es frecuente en personas con ascendencia negra, lo cual probablemente explique la razón por la que los medicamentos que inhiben el sistema renina-angiotensina son menos eficaces en ese grupo de población.[cita requerida]
Resistencia a la insulina
En individuos normotensos, la insulina estimula la actividad del sistema nervioso simpático sin elevar la presión arterial. Sin embargo, en pacientes con condiciones patológicas de base, como el síndrome metabólico, la aumentada actividad simpática puede sobreponerse a los efectos vasodilatadores de la insulina. Esta resistencia a la insulina ha sido propuesta como uno de los causantes del aumento en la presión arterial en ciertos pacientes con enfermedades metabólicas.
Diabetes
Los pacientes diabéticos tienen, en promedio, una presión arterial más elevada que el resto de la población.
Peso
Existe una fuerte correlación entre el índice de masa corporal y la presión.
A la inversa, un régimen hipocalórico en un obeso hipertenso está acompañado de una baja de la presión.
Apnea durante el sueño
La apnea del sueño es un trastorno común y una posible causa de hipertensión arterial.[38] El tratamiento de este trastorno por medio de presión aérea positiva continua u otros manejos, mejora la hipertensión esencial.
Genética
La hipertensión arterial es uno de los trastornos más complejos con un componente genético asociado a la aparición de la enfermedad. Se han estudiado a más de 50 genes que podrían estar involucrados con la hipertensión. Recientemente se han localizado 12 nuevos genes en los que se han visto variaciones relacionadas con diversos fenotipos relativos a la hipertensión arterial. Además, se han encontrado 35 SNP que aparecen enriquecidos por variantes asociadas a adiposidad, diabetes mellitus tipo 2, enfermedad coronaria y función renal publicadas anteriormente en estudios de asociación de genoma completo, lo que evidenciaría que los genes relacionados con la presión arterial participan en la actividad cardiovascular.[39]
Edad
Al transcurrir los años y según los aspectos de la enfermedad, el número de fibras de colágeno en las paredes arteriales aumenta, haciendo que los vasos sanguíneos se vuelvan más rígidos. Al reducirse así la elasticidad, el área seccional del vaso se reduce, creando resistencia al flujo sanguíneo y como consecuencia compensadora, se aumenta la presión arterial.
Patogenia
La presión arterial es producto del gasto cardíaco y la resistencia vascular sistémica.[40] Por lo tanto, los factores determinantes de la presión arterial son factores que afectan al gasto cardíaco y a la fisiología y estructura de las arteriolas. Por ejemplo, el aumento de la viscosidad de la sangre tiene efectos significativos sobre el trabajo necesario para bombear una cantidad dada de sangre y puede dar lugar a un aumento persistente de la presión arterial.[41] Las condiciones de maleabilidad de la pared de los vasos sanguíneos (componentes pulsátiles) afectan la velocidad del flujo sanguíneo, por lo que también tienen una potencial relevancia en lo que respecta a la regulación de la presión arterial. Además, los cambios en el espesor de las paredes vasculares afectan a la amplificación de la resistencia vascular periférica en pacientes hipertensos, lo que conlleva a reflexión de ondas en dirección a la aorta y opuestas al flujo sanguíneo, aumentando la presión arterial sistólica. El volumen de sangre circulante es regulada por el Sodio desde el sistema renal y el manejo del agua, un fenómeno que juega un papel especialmente importante en la hipertensión sensible a las concentraciones de Sodio sanguíneas.
La mayoría de los mecanismos asociados a la hipertensión secundaria son generalmente evidentes y se entienden bien. Sin embargo, aquellos relacionados con la hipertensión esencial (primaria) son mucho menos comprendidos. Lo que se sabe es que el gasto cardíaco se eleva a principio del curso natural de la enfermedad, con una resistencia periférica total (RPT) normal. Con el tiempo, disminuye el gasto cardíaco hasta niveles normales, pero se incrementa la RPT. Tres teorías han sido propuestas para explicar este fenómeno:
- La incapacidad de los riñones para excretar sodio, resultando en la aparición de factores que excretan sodio, tales como la secreción del péptido natriurético auricular para promover la excreción de sal con el efecto secundario de aumento de la resistencia periférica total.[13]
- Un sistema renina-angiotensina-aldoesterona hiperactivo que conlleva a una vasoconstricción y la consecuente retención de sodio y agua. El aumento reflejo del volumen sanguíneo conduce a la hipertensión arterial.[42]
- La hiperactividad del sistema nervioso simpático, dando lugar a niveles elevados de estrés.[43]
También se sabe que la hipertensión es altamente heredable y poligénicas (causadas por más de un gen) y varios genes candidatos se han postulado como causa de esta enfermedad.
Recientemente, el trabajo relacionado con la asociación entre la hipertensión esencial y el daño sostenido al endotelio ha ganado favor entre los científicos enfocados en la hipertensión. Sin embargo, no está del todo claro si los cambios endoteliales preceden al desarrollo de la hipertensión o si tales cambios se deben principalmente a una persistente presión arterial elevada.
Lesiones a órganos
Los órganos cuya estructura y función se ven alterados a consecuencia de la hipertensión arterial no tratada o no controlada se denominan «órganos diana» e incluyen el sistema nervioso central, arterias periféricas, corazón y riñones, principalmente. La asociación entre la presión arterial y el riesgo de cardiopatías, infarto agudo de miocardio, derrame cerebral y enfermedades renales es independiente de otros factores de riesgo. Por ejemplo, en individuos comprendidos entre las edades de 40 y 70 años de edad, cuando la presión arterial se encuentra entre 115/75 a 185/115 mmHg, cada incremento de 20 mmHg en la presión sistólica o de 10 mmHg en presión diastólica duplica el riesgo de aparición de alguna de estas enfermedades.[33]
Ojo
- Retinopatía hipertensiva: vasoespasmo, aumento del brillo arterial, cruces arterio-venosos patológicos (signo de Gunn), hemorragias, exudados, papiledema y trombosis retinianas venosas.
Sistema nervioso central
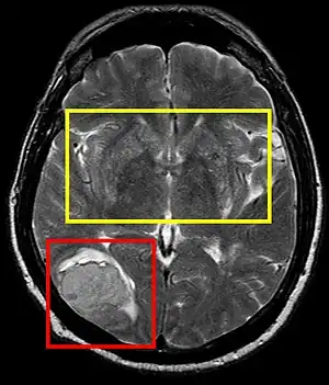
La hipertensión arterial persistente puede causar un accidente cerebrovascular trombótico o embólico, infartos lacunares o un accidente cerebrovascular hemorrágico con hematoma intracerebral, entre otros. Tanto la presión sistólica y diastólica elevadas son perjudiciales; una presión diastólica de más de 100 mmHg y una presión sistólica de más de 160 mmHg han dado lugar a una incidencia significativa de enfermedades cerebrovasculares. Otras manifestaciones de la hipertensión incluyen la encefalopatía hipertensiva, lesiones microvasculares cerebral y la demencia de origen vascular como consecuencia de múltiples infartos del sistema nervioso central.[13]

Arterias periféricas
- Disfunción endotelial crónica, con vasoconstricción inapropiada, liberación de especies reactivas de oxígeno, inflamación, aumento de actividad protrombótica y reducción de la fibrinólisis.
- Remodelado parietal y estrechamiento luminal a expensas de redistribución de músculo liso de la túnica media arterial.
- Arterioloesclerosis con engrosamiento de la túnica media (de Monckeberg).
- Ateroesclerosis progresiva de grandes vasos, en especial de vasos cerebrales, aorta, coronarias y arterias de los miembros inferiores, generando hipoperfusión crónica subclínica o sintomática.
- Aneurismas, complicados finalmente con disección o ruptura, especialmente a nivel de aorta torácica.
Corazón
- Hipertrofia ventricular izquierda: en inicio hay engrosamiento parietal sin incremento de la masa ventricular total (remodelado concéntrico); luego se desarrolla franca hipertrofia concéntrica, que podría llegar a fase dilatada (hipertrofia excéntrica).
- Fibrosis miocárdica, como parte del proceso de hipertrofia, con deterioro de la distensibilidad parietal y de las propiedades viscoelásticas del miocardio contráctil.
- Isquemia microvascular coronaria, principalmente por rarefacción de la red capilar y disfunción endotelial de los vasos remanentes.
- Síndrome coronario agudo: angina inestable o infarto sin onda Q (también conocido como infarto sin elevación de segmento S-T).
- Infarto agudo miocárdico.
- Disfunción diastólica ventricular izquierda, a consecuencia de isquemia, hipertrofia y fibrosis ventricular, que conducen a anomalías regionales y globales de la relajación y, en fases más avanzadas, de la distensibilidad.
- Disfunción sistólica ventricular izquierda, con caída de la fracción de eyección ventricular izquierda (FE, el porcentaje de toda la sangre que, habiendo llenado el ventrículo en diástole, es bombeada de manera efectiva fuera de la cavidad).
- Insuficiencia cardíaca congestiva (ICC) global; como consecuencia de la falla ventricular izquierda hay además compromiso secundario del hemicardio derecho, con dilatación de cámaras e hipertensión arterial pulmonar secundaria.
- Valvulopatías calcíficas degenerativas de hemicardio izquierdo, en especial de las válvulas mitral (insuficiencia) y aórtica (estenosis o insuficiencia).
- Fibrilación auricular (arritmia supra-ventricular).
- Arritmias ventriculares, como consecuencia de micro-reentrada por fibrosis, lesión o isquemia.

Riñones
- Microalbuminuria, marcador temprano de nefropatía y factor independiente de riesgo de morbimortalidad cardiovascular.
- Fibrosis tubulointersticial del parénquima renal.
- Glomeruloesclerosis focal y difusa con pérdida de nefronas, como consecuencia de hipertensión intraglomerular crónica.
- Isquemia renal crónica debida a ateroesclerosis acelerada de las arterias renales.
- Infarto renal, por ateromatosis de arterias renales o embolia.
- Reducción de la tasa de filtrado glomerular, por la pérdida de masa de nefronas funcionales, proceso progresivo que se ve acelerado en hipertensos y más aún en presencia de diabetes mellitus.
- Insuficiencia renal crónica como evento terminal.
Diagnóstico
Anamnesis
La historia clínica del paciente hipertenso debe ser recolectada al detalle y enriquecerse con información provista por parientes cercanos, o por otros médicos o personal paramédico que lo hayan atendido en el pasado, si aplica. La hipertensión es la enfermedad asintomática por excelencia, tanto es así que se la ha llamado «la asesina silenciosa», por lo que no resultaría extraño que no se recolecten muchos síntomas en la historia, o que estos síntomas sean poco específicos (dolor de cabeza, mareo y trastornos visuales, por ejemplo). Una vez bien definido el motivo de consulta y habiéndose documentado los datos relevantes de la presente enfermedad, debe hacerse énfasis desde la primera consulta sobre los siguientes datos:
- Factores de riesgo cardiovascular, tradicionales y no tradicionales;
- Antecedentes familiares de enfermedad, en especial si ha habido muertes de causa cardíaca en consanguíneos menores de 50 años (de primer grado: padres, hermanos, hijos);
- Condición socioeconómica, cultural y laboral, estatus familiar, acceso a sistemas de salud, nivel de educación, factores ambientales o situacionales causantes de estrés;
- Listado exhaustivo de comorbilidades (generalmente interrogando antecedentes por sistemas);
- Hábitos higiénico-dietéticos: café, té, bebidas carbonatadas, alcohol, tabaco, sodio, alimentación, actividad física;
- Alto nivel de glicemia y alto consumo de glucosa (si la persona tiene Diabetes);
- Exposición a fármacos que puedan causar hipertensión (efedrina, metilfenidato, ergotaminas, entre otras);
- Alergias e intolerancias;
- Síntomas cardiovasculares (disnea, ortopnea, disnea paroxística nocturna, precordialgia, palpitaciones, síncope, edema, claudicación intermitente) o inespecíficos (cefalea, mareo, acúfenos, trastornos visuales, deterioro cognitivo, fatiga, cambios del estado de ánimo, disfunción eréctil, por ejemplo);
- Eventos previos cardiovasculares: isquemia cerebral transitoria, accidentes cerebrovasculares, angina de pecho, infarto de miocardio, insuficiencia cardíaca congestiva, insuficiencia renal crónica entre otros;
- Procedimientos quirúrgicos previos o planeados.
Esta información es vital para la valoración global de riesgo cardiovascular de cada paciente hipertenso. Cada elemento de riesgo o diagnóstico clínico, resuelto o no (tratado o no tratado), cada síntoma, cada antecedente, debería ser incluido en una lista de problemas. Esto ayudará a planear el tratamiento global sin olvidar puntos importantes.
Procedimientos para la medición correcta de la presión arterial
La toma de la presión arterial en pacientes de alto riesgo debe efectuarse de manera correcta con la finalidad de evadir los falsos negativos e incluso falsos positivos.
- El individuo debe estar, preferentemente sentado, con la espalda recostada contra el respaldo y el miembro superior deberá reposar sobre la superficie del escritorio, el antebrazo en pronación, a la altura del corazón; las plantas de los pies deben estar apoyadas sobre el suelo sin cruzar las piernas.
- Después de algunos minutos de reposo (preferentemente 5 minutos, quizás durante o al final del interrogatorio) se coloca un manguito de tamaño apropiado (que cubra 2/3 de la longitud del brazo) y en buenas condiciones en la parte media del brazo del paciente; no debe haber ropa entre la piel y el manguito, que deberá estar bien ajustado, pero no tanto que impida la introducción del dedo meñique entre el mismo y la piel. Si al arremangar la camisa o la blusa la tela comprime el miembro, deberá mejor retirarse la ropa y pedir al paciente que se vista con una bata para examen físico. Precaución: en algunos pacientes no puede emplearse alguno de los brazos para la toma de presión: amputación, historia de cirugía radical en axila, o presencia de una fístula arteriovenosa, por ejemplo).
- Aunque en la actualidad se dispone de diversos medios diagnósticos (como los esfigmomanómetros aneroides), debe emplearse un tensiómetro de columna de mercurio, que deberá ser revisado y calibrado periódicamente. La base del tensiómetro y el centro del manguito deberán estar a la altura del corazón del paciente para evitar errores en la medición. Si se dispone solo de esfigmomanómetro debe de verificarse que esté bien calibrado. Debe disponerse de por lo menos tres tallas de manguitos, incluyendo uno para pacientes obesos y otro pediátrico, que podría ser útil en personas muy ancianas con gran atrofia muscular o escaso panículo adiposo.
- El procedimiento de la toma de cifras tensionales no debe ser incómodo ni doloroso. Se infla el manguito por lo menos 20-30 mmHg más arriba de la presión necesaria para que desaparezca el pulso de la muñeca o del codo, o hasta que se haya superado una presión de 220 mmHg. Luego, aplicando el estetoscopio sobre la arteria braquial, se desinfla con lentitud hasta que sean audibles por primera vez los ruidos de Korotkoff (presión sistólica). La desaparición precoz de los ruidos y su ulterior reaparición, el llamado gap o brecha auscultatoria es frecuente en personas de edad avanzada, por lo que se deberá seguir desinflando el manguito con lentitud hasta que no haya duda del cese definitivo de los ruidos (fase V de Korotkoff, presión diastólica). En algunos pacientes los ruidos nunca desaparecen, por lo que se medirá la presión diastólica cuando cambien de intensidad (Fase IV). En todo momento los ojos del observador deberán estar al nivel de la columna de mercurio, para evitar errores de apreciación.
- Al desinflar el manguito es de crítica importancia que el miembro del paciente se encuentre inmóvil.
- En la primera consulta sería ideal tomar la presión en ambos brazos y dejar definido en cuál de ellos se encuentra más elevada, haciéndolo constar en el expediente, pues las mediciones deberían seguirse realizando en ese mismo brazo. La medición de la PA con el paciente de pie es muy aconsejable en el adulto mayor, deberá dejarse al paciente de pie por lo menos durante 1 minuto antes de hacer la medición.
- Si se hacen tomas sucesivas, como es aconsejable (incluso se puede hacer una medición final, antes que el paciente abandone el consultorio), deberá dejarse un intervalo de por lo menos un minuto entre medida y medida.
- Las cifras de presión no deberán redondearse. Con buena técnica puede registrarse la presión con un nivel de exactitud de 2 mmHg.
- Todos los conceptos arriba explicados corresponden también a los tensiómetros electrónicos disponibles en el mercado. Se deben buscar marcas certificadas por la FDA (Food and Drugs Administration: Administración de Alimentos y Medicamentos) de los EE. UU., u otras instituciones nacionales, preferentemente con manguito braquial. El médico debe enseñar personalmente a sus pacientes el uso de estos aparatos y la secuencia correcta de procedimientos para que las mediciones domiciliarias sean confiables. Se estima que las cifras de presión en el hogar son en promedio 5 mmHg menores que en el consultorio, tanto para la presión sistólica como para la diastólica.
Exploración física
Algunas de las exploraciones que pueden realizarse para la evaluación de paciente con hipertensión arterial son las siguientes:
- Inspección del aspecto general, en especial de la facies, color de tegumentos, hábito corporal, estado anímico, nivel de conciencia y orientación;
- Antropometría: peso, talla, índice de masa corporal (IMC), perímetro de cintura (PC, medir a la altura de las crestas ilíacas) y relación cintura/cadera (RCC);
- Medición del pulso y de la presión arterial, en posición sentada y después de 5 minutos de reposo en varias ocasiones. Se considera a la media aritmética o a la mediana de dichas cifras como el valor representativo para la visita. Es necesario medir la presión en ambos brazos, registrar el valor más elevado y anotar en el expediente a qué brazo corresponde, para medirla en ese miembro a futuro. Los procedimientos para la medición correcta se discutieron previamente. Se recomienda la toma de presión en posición de pie si se trata de pacientes adultos mayores para descartar ortostatismo, o en caso de que se sospeche disautonomía (diabéticos crónicos, por ejemplo).
- Fondo de ojo: tener en cuenta la clasificación de Keith-Wagener de retinopatía hipertensiva, si aplica, aunque los oftalmólogos no la aplican; se buscarán aumento del brillo arterial, cruces arteriovenosos patológicos (signo de Gunn), pérdida de la relación venoarterial, exudados, hemorragias y anomalías de disco óptico y retina periférica. Debe recordarse que los signos de la retinopatía hipertensiva incipiente (cambios en la relación arteriovenosa, por ejemplo) son inespecíficos, a excepción de las hemorragias y exudados. Cada vez es menos frecuente ver papiledema en clínica.
- Cuello: Inspección de venas yugulares, palpación y auscultación de arterias carótidas, valoración de la glándula tiroides;
- Exploración cardiopulmonar exhaustiva, describiendo aspecto y expansión del tórax, ventilación pulmonar, punto de máximo impulso (PMI) del corazón, frémitos y ruidos cardíacos, tanto los normales como los accesorios o patológicos;
- Abdomen: panículo adiposo, presencia de pulsaciones visibles, circulación venosa complementaria, visceromegalias, tumores;
- Exploración de los pulsos periféricos (amplitud, onda de pulso, simetría), del llenado capilar, temperatura de zonas acrales, redes venosas periféricas;
- Exploración neurológica básica, que debería ser exhaustiva en caso de lesión previa o actual del sistema nervioso central o periférico): pupilas, movimientos oculares, simetría facial, audición, equilibrio, coordinación, lengua y paladar blando, fuerza de los miembros, sensibilidad, reflejos osteotendinosos y músculocutáneos, normales o patológicos.
Exámenes de laboratorio
Se recomiendan los siguientes estudios de laboratorio básicos para todo paciente hipertenso:
- Hematocrito o hemoglobina: no es necesario realizar un hemograma completo si solo se estudia la hipertensión arterial.
- Creatinina sérica (nitrógeno ureico en sangre es opcional, pero es necesario en caso de insuficiencia cardíaca aguda).
- Potasio sérico (algunos expertos piden también sodio sérico, para la detección de hiponatremia, si la clínica la sugiere).
- Glucemia en ayunas y 2 horas posprandial (después de comer). Un test de tolerancia oral a la glucosa (TTG) podría ser necesario.
- Perfil lipídico: Colesterol total/HDL y triglicéridos (ayuno de 12-14 h), el colesterol LDL puede calcularse por la fórmula de Friedewald si los triglicéridos son inferiores a 400 mg%: [(CT - C-HDL) – TG/5].
- Ácido úrico en especial si se trata de paciente varón o mujeres embarazadas.
- Examen general de orina.
- Microalbúmina en orina si el examen general de orina no muestra proteinuria y se sospecha lesión renal por la cantidad y el tipo de factores de riesgo presentes (diabetes mellitus, por ejemplo).
Otras pruebas de laboratorio deberán indicarse en situaciones especiales.
Estudios adicionales
Algunos procedimientos de diagnóstico de gabinete son útiles para el estudio de todo hipertenso. Se busca confirmar el diagnóstico, descartar causas secundarias y determinar la presencia (o hacer seguimiento) de lesiones de órgano blanco y de su grado de gravedad.
- Electrocardiograma. Fundamental para el diagnóstico de hipertrofia ventricular izquierda, evaluación de arritmias, presencia de zonas de necrosis, corrientes de isquemia o lesión, diagnóstico de trastornos electrolíticos.
- Radiografía posteroanterior del tórax; podrán indicarse radiografías laterales en caso necesario. Se valoran silueta cardíaca, aorta, hilios pulmonares, mediastino, tórax óseo y el parénquima pulmonar.
- Ergometría o test de electrocardiograma de esfuerzo. Ayuda a valorar la condición física, la respuesta presora al ejercicio en pacientes ya tratados y la presencia o ausencia de isquemia o arritmias inducibles. No es un estudio de primer nivel de atención pero tiene aplicación en ciertos pacientes y debe ser tenido en cuenta si hay un elevado riesgo coronario o en presencia de angina de pecho con ejercicio.
- Monitorización ambulatoria de presión arterial de 24 horas. Es un recurso a menudo subutilizado.
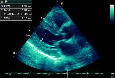
- Ecocardiograma dóppler-color. Estudio no invasivo de altísimo rendimiento diagnóstico. No es un estudio de primer nivel porque requiere de equipo sofisticado y personal altamente entrenado, por lo que su costo es relativamente alto. No se recomienda la ecocardiografía de rutina en pacientes con hipertensión sin síntomas o evidencia clínica de daño orgánico cardíaco.
Otros procedimientos (dóppler de arterias renales, monitorización de Holter, estudios de función autonómica, pruebas de mecánica vascular o función endotelial, estudios de medicina nuclear, tomografía axial computarizada, resonancia magnética nuclear) podrían ser necesarios en ciertos pacientes, pero no se consideran obligatorios para los niveles básicos de atención. Se deberá valorar, al indicarlos, la relación costo/beneficio para cada individuo en particular, independientemente de los recursos disponibles.
Tratamiento
El tratamiento de la hipertensión arterial está asociado a una reducción de la incidencia de derrame cerebral de un 35-40%, de infarto agudo de miocardio entre 20-25% y de insuficiencia cardíaca en más de un 50%.[33]
La literatura afirma que la adherencia al tratamiento define el éxito terapéutico, y que a su vez la adherencia depende del sexo, la educación, el ambiente y la relación con el médico. Sin embargo, realmente no se ha encontrado ninguna de esas relaciones, lo que hace urgente estudios más rigurosos[44]
Se indica tratamiento para la hipertensión a:
- pacientes con cifras tensionales diastólicas mayores de 90 mmHg o sistólica mayores de 140 mmHg en mediciones repetidas;
- pacientes con una tensión diastólica menor que 89 mmHg con una tensión sistólica mayor que 160 mmHg;
- pacientes con una tensión diastólica de 85 a 90 mmHg que tengan diabetes mellitus o con arteroesclerosis vascular demostrada.
Los pacientes prehipertensos o que no califiquen para recibir tratamiento específico deben ajustar sus hábitos modificables, entre ellos:
- pérdida de peso en pacientes con sobrepeso u obesidad, fundamentalmente con ejercicio y una dieta rica en frutas, vegetales y productos lácteos libres de grasa (véase: Dieta DASH);[45][46]
- limitación del consumo de bebidas alcohólicas a no más de 30 mL de etanol diarios en varones (es decir, 720 mL [24 oz] de cerveza, 300 mL [10 oz] de vino, 60 mL [2 oz] de whisky) o 15 mL (0,5 oz) de etanol por día en mujeres o en varones con peso más liviano;[13]
- reducción de la ingesta diaria de cloruro de sodio (sal común de mesa) a no más de 6 gramos (2,4 gramos de sodio);[47][48]
Hay una revisión actualizada de la Cochrane Library en la que compara la evidencia de los distintos fármacos en el tratamiento de la HTA.[49]
El Séptimo Comité sugiere, como línea inicial medicamentosa para la hipertensión, las siguientes estipulaciones:
- pacientes prehipertensos, es decir, con una presión arterial de 120-139/80-89: no se indican medicamentos.
- hipertensión arterial estadio 1 (140-159/90-99): diuréticos tipo tiazida se recomiendan para la mayoría de los pacientes. Los IECA, ARA-II, beta bloqueantes, bloqueante de los canales de calcio o una combinación de estos puede que sea considerada.
- hipertensión arterial estadio 2, con una presión arterial mayor de 160/100: combinación de dos fármacos, usualmente un diurético tiazida con un IECA, ARA-II, beta bloqueante o BCC.
Además del tratamiento medicamentoso, en todos los pacientes (independientemente del estadio) se procurará ajustar los hábitos modificables antes señalados.
Prevención
Si bien no es posible eliminar por completo la hipertensión, varias acciones son muy útiles y necesarias para prevenir su aparición y para evitar el empeoramiento de los síntomas:
- Incrementar la actividad física aeróbica; actividades como caminar, bailar, correr, nadar y montar en bicicleta, de 30 a 60 minutos al día y al menos de tres a cinco días por semana. Bien realizados, estos ejercicios pueden llegar a reducir los valores de tensión arterial en personas hipertensas hasta situar sus valores dentro de la normalidad.[50]
- Mantener un peso corporal dentro de los estándares correspondientes a la edad y la estatura, según el sexo, lo que debe estar acorde con el IMC correspondiente;
- Reducir al mínimo el consumo de alcohol: al día no deben consumirse más de 30 mL de etanol, que equivale a 720 mL (2 latas) de cerveza; 300 mL de vino (dos copas; un vaso lleno contiene 250 mL); 60 mL de whisky (un quinto de vaso), en los varones; en las mujeres, la mitad; reducir el consumo de sodio, consumir una dieta rica en frutas y vegetales.[51]
- Se recomienda una dieta que se caracteriza por la abundancia de productos frescos de origen vegetal (frutas, verduras, cereales, patatas, frutos secos), baja en productos ricos en azúcares refinados y carnes rojas, consumir aceite de oliva como la principal fuente de grasa, y la ingesta de queso fresco, yogur, pollo y pescado en cantidades moderadas, lo cual se considera una alimentación ideal para la prevención de las enfermedades cardiovasculares.
- Privarse de todo tipo de tabaco (cigarro, pipa, habano, etc.).
- Controlar la glucemia (sobre todo si la persona padece diabetes).
Véase también
Referencias
- «High Blood Pressure Fact Sheet». CDC. 19 de febrero de 2015. Archivado desde el original el 6 de marzo de 2016. Consultado el 6 de marzo de 2016.
- Lackland DT, Weber MA (May 2015). «Global burden of cardiovascular disease and stroke: hypertension at the core». The Canadian Journal of Cardiology 31 (5): 569-71. PMID 25795106. doi:10.1016/j.cjca.2015.01.009.
- Mendis S, Puska P, Norrving B (2011). Global atlas on cardiovascular disease prevention and control (1st edición). Geneva: World Health Organization in collaboration with the World Heart Federation and the World Stroke Organization. p. 38. ISBN 9789241564373. Archivado desde el original el 17 de agosto de 2014.
- Hernandorena I, Duron E, Vidal JS, Hanon O (July 2017). «Treatment options and considerations for hypertensive patients to prevent dementia». Expert Opinion on Pharmacotherapy (Review) 18 (10): 989-1000. PMID 28532183. S2CID 46601689. doi:10.1080/14656566.2017.1333599.
- Poulter NR, Prabhakaran D, Caulfield M (August 2015). «Hypertension». Lancet 386 (9995): 801-12. PMID 25832858. S2CID 208792897. doi:10.1016/s0140-6736(14)61468-9.
- Yang, Bo-Yi (2018). «Global association between ambient air pollution and blood pressure: A systematic review and meta-analysis». Environmental Pollution 235: 576-588. PMID 29331891. doi:10.1016/j.envpol.2018.01.001.
- «How Is High Blood Pressure Treated?». National Heart, Lung, and Blood Institute. 10 de septiembre de 2015. Archivado desde el original el 6 de abril de 2016. Consultado el 6 de marzo de 2016.
- Campbell NR, Lackland DT, Lisheng L, Niebylski ML, Nilsson PM, Zhang XH (March 2015). «Using the Global Burden of Disease study to assist development of nation-specific fact sheets to promote prevention and control of hypertension and reduction in dietary salt: a resource from the World Hypertension League». Journal of Clinical Hypertension 17 (3): 165-7. PMID 25644474. S2CID 206028313. doi:10.1111/jch.12479.
- Alcazar, José María; Oliveras, Anna; Orte, Luis María; Jimenez, Sara; Segura, Julián (septiembre de 2016). «Hipertensión arterial esencial». En Lorenzo, V.; López Gómez, J. M., eds. Nefrología al Día (en inglés) (Elsevier). Consultado el 8 de junio de 2017.
- Gabb, Genevieve M.; Mangoni, Arduino A.; Anderson, Craig S.; Cowley, Diane.; Dowden, John S.; Golledge, Jonathan. (2016). «Guideline for the diagnosis and management of hypertension in adults — 2016» [Guía clínica para el diagnóstico y manejo de la hipertensión en adultos — 2016]. Med J Aust (en inglés) (Melbourne: National Heart Foundation of Australia) 205 (2): 85-89. ISBN 978-1-74345-110-6. doi:10.5694/mja16.00526. Consultado el 8 de junio de 2017.
- Kumar, MBBS, MD, FRCPath, V.; Abul K. Abbas, MBBS, Nelson Fausto, MD and Jon Aster, MD (2009). «Cap. 11 Hypertensive vascular disease». En Saunders (Elsevier), ed. Robbins & Cotran Pathologic Basis of Disease (8th edición). ISBN 978-1-4160-3121-5.
- Weber, Michael A.; Schiffrin, Ernesto L.; White, William B.; Mann, Samuel; Lindholm, Lars H.; Kenerson, John G. (enero de 2014). «Clinical Practice Guidelines for the Management of Hypertension in the Community. A Statement by the American Society of Hypertension and the International Society of Hypertension» [Guías clínicas para el manejo de la hipertensión arterial en la comunidad. Un comunicado de la sociedad americana de la hipertensión y la sociedad internacional de la hipertensión]. JCH (en inglés) (John Wiley & Sons, Inc.) 16 (1): 14-26. doi:10.1111/jch.12237. Consultado el 8 de junio de 2017.
- Arce Espinoza, L.; Monge-Nájera, J. (2009): Hipertensión en el personal de la Universidad Estatal a Distancia de Costa Rica.
- José F. Guadalajara Boo (jefe de Servicio Clínico del Instituto Nacional de Cardiología Ignacio Chávez). Programa de actualización continúa para Cardiología. pp. p8.
- Díaz, Mónica (2006): «¿Cómo comenzar el tratamiento del paciente hipertenso?», artículo publicado en la Revista Argentina de Cardiología [online], vol. 74, n.º 3 [citado el 23 de julio de 2010], págs. 191-193. 2006. ISSN 1850-3748.
- Sigerist, Henry E. (1965). Große Äerzte. Múnich (Alemania): J. F. Lehmans Verlag (5. auflage) (1. auflage 1958). plate 26, pág. 120.
- «Hipertensión. ¿Qué es?».
- Harrison Principios de Medicina Interna 16a edición (2006). «Capítulo 230. Vasculopatía hipertensiva». Harrison online en español. McGraw-Hill. Archivado desde el original el 19 de enero de 2012. Consultado el 16 de junio de 2008.
- Mancia G, De Backer G, Dominiczack A, et al. (2007). «2007 Guidelines for the management of arterial hypertension». European Heart Journal (en inglés) (28): 1462-1536. doi:10.1093/eurheartj/ehm236. Archivado desde el original el 19 de noviembre de 2008.
- Mancia G, De Backer G, Dominiczack A, et al. (2007). «Guías de práctica clínica para el tratamiento de la hipertensión arterial 2007». Rev Esp Cardiol. 9 (60): 968.e1-e94. Archivado desde el original el 16 de enero de 2013.
- «Redefinición de la hipertensión arterial por primera vez en 14 años: 130 es el nuevo valor para la presión alta | American Heart Association». m.newsroom.heart.org (en inglés). Consultado el 10 de julio de 2018.
- Whelton, Paul K.; Carey, Robert M.; Aronow, Wilbert S.; Casey, Donald E.; Collins, Karen J.; Dennison Himmelfarb, Cheryl; DePalma, Sondra M.; Gidding, Samuel et al. (2018-6). «2017 ACC/AHA/AAPA/ABC/ACPM/AGS/APhA/ASH/ASPC/NMA/PCNA Guideline for the Prevention, Detection, Evaluation, and Management of High Blood Pressure in Adults: Executive Summary: A Report of the American College of Cardiology/American Heart Association Task Force on Clinical Practice Guidelines». Hypertension (Dallas, Tex.: 1979) 71 (6): 1269-1324. ISSN 1524-4563. PMID 29133354. doi:10.1161/HYP.0000000000000066. Consultado el 20 de junio de 2018.
- «Hypertension: clinical management of primary hypertension in adults». National Institute for Health and Clinical Excellence. Consultado el 30 de diciembre de 2012.
- Mancia, G.; Bertinieri, G.; Grassi, G.; Parati, G.; Pomidosi, G.; Ferrari, A.; et al. (1983): «Effects of blood-pressure measurements by the doctor on patient's blood pressure and heart rate», artículo publicado en la revista Lancet, 2: págs. 695-698; 1983
- Chobanian AV et al (2003). «The Seventh Report of the Joint National Committee on Prevention, Detection, Evaluation, and Treatment of High Blood Pressure: the JNC 7 Report.». JAMA 289: 2560-72. PMID 12748199.
- Calhoun DA, Jones D, Textor S, et al. (junio de 2008). «Resistant hypertension: diagnosis, evaluation, and treatment. A scientific statement from the American Heart Association Professional Education Committee of the Council for High Blood Pressure Research». Hypertension 51 (6): 1403-19. PMID 18391085. doi:10.1161/HYPERTENSIONAHA.108.189141.
- «CG34 Hypertension - quick reference guide» (PDF). National Institute for Health and Clinical Excellence. 28 de junio de 2006. Archivado desde el original el 13 de marzo de 2009. Consultado el 4 de marzo de 2009.
- Jetté M, Landry F, Blümchen G (abril de 1987). «Exercise hypertension in healthy normotensive subjects. Implications, evaluation and interpretation». Herz 12 (2): 110-8. PMID 3583204.
- Pickering TG (abril de 1987). «Pathophysiology of exercise hypertension». Herz 12 (2): 119-24. PMID 2953661.
- Rost R, Heck H (abril de 1987). «[Exercise hypertension--significance from the viewpoint of sports]». Herz (en alemán) 12 (2): 125-33. PMID 3583205.
- Klaus D (abril de 1987). «[Differential therapy of exercise hypertension]». Herz (en alemán) 12 (2): 146-55. PMID 3583208.
- Chobanian AV, Bakris GL, Black HR, et al. (diciembre de 2003). «Seventh report of the Joint National Committee on Prevention, Detection, Evaluation, and Treatment of High Blood Pressure». Hypertension 42 (6): 1206-52. PMID 14656957. doi:10.1161/01.HYP.0000107251.49515.c2.
- Mancia G, Bertinieri G, Grassi G, Parati G, Pomidosi G, Ferrari A, et al.: «Effects of blood-pressure measurements by the doctor on patient's blood pressure and heart rate», en Lancet, 1983; 2: págs. 695-698
- Ticinesi, Andrea; Nouvenne, Antonio; Maalouf, Naim M; Borghi, Loris; Meschi, Tiziana (2014). «Salt and nephrolithiasis». Nephrology Dialysis Transplantation.
- Alwan, Ala. «Informe sobre la situación mundial de las enfermedades no transmisibles Resumen de orientación». Informe sobre la situación mundial de las enfermedades no transmisibles (Ginebra: Ediciones de la OMS). «...un consumo elevado de sal es un factor determinante que aumenta el riesgo de padecer hipertensión y enfermedades cardiovasculares.»
- http://www.jstage.jst.go.jp/article/jphs/100/5/370/_pdf A Missing Link Between a High Salt Intake and Blood Pressure Increase: Makoto Katori and Masataka Majima, Department of Pharmacology, Kitasato University School of Medicine, Kitasato, Sagamihara, Kanagawa, Japan February 8, 2006
- Silverberg DS, Iaina A and Oksenberg A (enero de 2002). «Treating Obstructive Sleep Apnea Improves Essential Hypertension and Quality of Life». American Family Physicians 65 (2): 229-36. PMID 11820487. Archivado desde el original el 13 de mayo de 2008. Consultado el 18 de junio de 2008.
- Kato, Norihiro; Loh, Marie; Takeuchi, Fumihiko; Verweij, Niek; Wang, Xu; Zhang, Weihua; Kelly, Tanika N.; Saleheen, Danish et al. (1 de noviembre de 2015). «Trans-ancestry genome-wide association study identifies 12 genetic loci influencing blood pressure and implicates a role for DNA methylation». Nature Genetics 47 (11): 1282-1293. ISSN 1546-1718. PMC 4719169. PMID 26390057. doi:10.1038/ng.3405. Consultado el 31 de marzo de 2016.
- Duke, James (2006). Anestesia (3ra edición). Elsevier, España. p. 12. ISBN 8481749419.
- Pocock, Gillian (2005). Fisiología Humana: La base de la Medicina (2da edición). Elsevier, España. p. 12. ISBN 8445814796.
- Pimenta E, Oparil S (2009). «Role of aliskiren in cardio-renal protection and use in hypertensives with multiple risk factors». Vascular Health and Risk Management 5 (1): 453-63. PMC 2686262. PMID 19475781. Consultado el 30 de junio de 2009.
- Takahashi H (agosto de 2008). «[Sympathetic hyperactivity in hypertension]». Nippon Rinsho. Japanese Journal of Clinical Medicine (en japonés) 66 (8): 1495-502. PMID 18700548.
- Arce Espinoza, L.; y Monge-Nájera, J. (2009): «Género y niveles de adherencia al tratamiento antihipertensivo en el personal de la Universidad Estatal a Distancia de Costa Rica», artículo publicado en los Cuadernos de Investigación UNED, volumen 1 (2): págs. 163-170.
- Svetkey, L. P.; Moore, T. J., DASH Collaborative Research Group y colaboradores: «Angiotensinogen genotype and blood pressure response in the Dietary Approaches to Stop Hypertension (DASH) study», artículo en inglés publicado en la revista Journal of Hypertension, 19 (11): págs. 1949-1956; noviembre de 2001. Último acceso 27 de julio de 2010. PMID 11677359.
- «Your guide to lowering your blood pressure with DASH», artículo completo disponible en inglés, publicado en el sitio web de los National Institutes of Health (Institutos Nacionales de Salud); Estados Unidos, 2006.
- Manual para el diplomado en enfermería (ats/due). Temario de oposiciones. MAD-Eduforma. p. 44. ISBN 8466522735.
- Feng, J. He; y MacGregor, Graham A. (2003): «How far should salt intake be reduced?», artículo completo disponible en inglés en la revista Hypertension, n.º 42: pág. 1093; 2003. Último acceso: 27 de julio de 2010.
- Zhu J, Chen N, Zhou M, Guo J, Zhu C, Zhou J, Ma M, He L. Calcium channel blockers versus other classes of drugs for hypertension. Cochrane Database of Systematic Reviews 2021, Issue 10. Art. No.: CD003654. DOI: 10.1002/14651858.CD003654.pub5. Acceso 15 Marzo 2022.
- «Ejercicios de prevención». Fundación del corazón. Consultado el 15 de enero de 2016.
- «Tensiómetro de brazo Omron». Nutricienta. Consultado el 15 de enero de 2016.
Enlaces externos
- nlm.nih.gov Hipertensión en Medline Plus
- https://interesantisimooo.com/2023/07/31/hipertension-arterial-por-que-controlarla/
