Gránulos de Schüffner
Los gránulos de Schüffner son puntos irregulares de color rosa o rojo que se observan en los hematíes de pacientes con malaria. Son signos de Plasmodium vivax u ovale, estando ausentes en los hematíes de pacientes con otros tipos de Plasmodium.

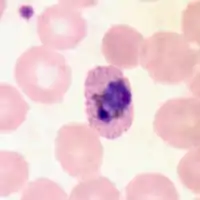
Trofozoitos de P. ovale en frotis de sangre. Se pueden ver los puntos de Schüffner.
Deben su nombre al patólogo alemán Wilhelm Schüffner, quien los describió en 1904.
Este artículo ha sido escrito por Wikipedia. El texto está disponible bajo la licencia Creative Commons - Atribución - CompartirIgual. Pueden aplicarse cláusulas adicionales a los archivos multimedia.