Fosa craneal posterior
La fosa craneal posterior[1] o piso posterior, es la parte de la cavidad craneal situada entre el agujero magno y la tienda del cerebelo. Está formado por los huesos esfenoides, huesos temporales y el hueso occipital. Alberga el cerebelo y partes del tronco del encéfalo.
| Fosa craneal posterior | ||
|---|---|---|
![]() Vista superior de la base del cráneo. fosa craneal posterior en verde.
1 - Dorso de silla del hueso esfenoidal. | ||
![]() Base del cráneo. Superficie superior. La fosa craneal posterior está coloreada en azul, amarillo y rojo. | ||
| Nombre y clasificación | ||
| Latín | Fossa cranii posterior | |
| TA | A02.1.00.050 | |
|
| ||
Anatomía
La fosa craneal posterior está formada por los huesos esfenoides, los huesos temporales y el hueso occipital. [2] Es la más inferior de las fosas. Alberga el cerebelo, el bulbo raquídeo y la protuberancia. [3]
Límites
Anteriormente, la fosa craneal posterior está limitada por el dorso de la silla turca, la cara posterior del cuerpo del hueso esfenoides y la parte basilar del hueso occipital / clivus. [3]
Lateralmente, está limitado por las partes petrosas y mastoides de los huesos temporales, y las partes laterales del hueso occipital. [3]
Posteriormente, está limitado por la parte escamosa del hueso occipital. [3]
Agujero magno
El agujero magno es una gran abertura del suelo de la fosa craneal posterior, su característica más llamativa. [3]
Meato acústico interno
Se encuentra en la pared anterior de la fosa craneal posterior. Transmite los nervios craneales facial (VII) y vestibulococlear (VIII) a un canal en el hueso temporal petroso.
Agujero yugular
Se encuentra entre el borde inferior del peñasco temporal y el hueso occipital adyacente y transmite la vena yugular interna (en realidad comienza aquí), el nervio glosofaríngeo (IX CN), el nervio vago (X CN) y el nervio accesorio (XI CN).
Canal hipogloso
Se encuentra en los márgenes anterolaterales del agujero magno y transmite el nervio hipogloso (XII CN).
Otro
También son visibles en la fosa craneal posterior las depresiones causadas por los senos venosos que devuelven la sangre del cerebro a la circulación venosa: los senos transversos derecho e izquierdo que se encuentran en la confluencia de los senos (marcada por la protuberancia occipital interna).
Los senos transversos pasan horizontalmente desde el punto más posterior del occipucio.[4]
Donde el vértice del peñasco temporal se encuentra con el temporal escamoso, los senos transversos desembocan en los senos sigmoideos (en forma de S) (uno a cada lado).
Estos pasan a lo largo de la articulación entre el borde posterior del peñasco temporal y el borde anterior de los huesos occipitales hasta el agujero yugular, donde el seno sigmoideo se convierte en la vena yugular interna.
Obsérvese que un seno petroso superior entra en la unión de los senos transverso y sigmoideo. Además, un seno petroso inferior ingresa al seno sigmoideo cerca del agujero yugular.
La fosa craneal posterior se forma en el endocráneo y contiene las partes más basales del cerebro.
Significación clínica
Una fosa craneal posterior poco desarrollada puede causar malformación de Arnold-Chiari. Estos pueden ser trastornos adquiridos o congénitos.
Galería
Animación (en verde).
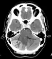
Tumor de la fosa posterior que provoca efecto de masa y desplazamiento del cuarto ventrículo.
Véase también
Referencias
- OMS,OPS,BIREME (ed.). «Fosa craneal Posterior». Descriptores en Ciencias de la Salud. Biblioteca Virtual en Salud.
- Rea, Paul (2016). «Capítulo 3 - Neck». Essential Clinically Applied Anatomy of the Peripheral Nervous System in the Head and Neck (en inglés). Academic Press. pp. 131-183. ISBN 978-0-12-803633-4. doi:10.1016/B978-0-12-803633-4.00003-X.
- Rea, Paul (2016). «Capítulo 3 - Neck». Essential Clinically Applied Anatomy of the Peripheral Nervous System in the Head and Neck (en inglés). Academic Press. pp. 131-183. ISBN 978-0-12-803633-4. doi:10.1016/B978-0-12-803633-4.00003-X.
- Lang, Johannes (1983). Lang, Johannes, ed. Posterior Cranial Fossa and Contents (en inglés). Springer. p. 328. ISBN 978-3-642-68242-1. doi:10.1007/978-3-642-68242-1_13. Consultado el 31 de enero de 2024.
Enlaces externos
Wikimedia Commons alberga una categoría multimedia sobre Fosa craneal posterior.

