Ablación (medicina)

En medicina y cirugía, la ablación o extirpación es quitar cualquier órgano, tumor o parte del cuerpo mediante una operación quirúrgica[1] o por la aplicación de medios físicos (radiación, frío, calor) o compuestos químicos (medicamentos).[2] El término se emplea también para designar la destrucción controlada de una parte del tejido mediante la aplicación de energía (radiofrecuencia, microondas, láser, ultrasonidos).

Ablación

Ablación endometrial histeroscópica.
Clasificación y recursos externos
ICD-10-PCS H33.2Z90.7
CIE-9-MC 253.7621.8
CIAP-2 F82 , X28, X99
Sinónimos
  • Amputación
  • Escisión
  • Exéresis
  • Extirpación
  • Resección

En medicina legal, puede ser objeto de informe pericial si se sospecha que se ha realizado contraviniendo las leyes y se ordena la realización de esta prueba por la autoridad judicial.

Tipos de ablación en medicina

Ablación basada en energía

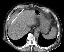
TC que muestra la ablación por radiofrecuencia de una lesión hepática.

La ablación basada en energía busca la destrucción de una pequeña parte del tejido mediante la aplicación controlada de energía, tal como corrientes de radiofrecuencia (RF), microondas, láser, ultrasonidos, aplicación de pulsos de alto voltaje (electroporación), etc. Existen muchos objetivos clínico para esta destrucción del tejido. Por ejemplo, en ablación cardíaca se desea la destrucción de las células cardíacas causantes de una arritmia, mientras que en ablación de tumores, la destrucción debe lograr alcanzar a todo el volumen del tumor más un zona periférica segura.

En la ablación por radiofrecuencia la destrucción se logra por aumento de temperatura debido al paso de la corriente de alta frecuencia (100 kHz-1MHz). Esta corriente no produce estimulación nerviosa ni muscular, sino solo calentamiento. Los procedimientos de ablación por radiofrecuencia se realizan bajo la guía de imágenes (por ejemplo de rayos X, tomografía computarizada o ecografía) por un anestesiólogo, o un radiólogo intervencionista, o un endoscopista gastrointestinal, o un electrofisiólogo cardíaco.

En cardiología la ablación por radiofrecuencia es el procedimiento que mediante un cateterismo cardíaco permite la curación de taquicardias paroxísticas y otros tipos de arritmias.[3]

En el tratamiento de los tumores se ha incrementado el uso de la ablación por radiofrecuencia en los últimos 15 años, con resultados prometedores.[4]

Amputación

La amputación es el corte y separación de una extremidad del cuerpo mediante arrancamiento (un tipo de traumatismo) o cirugía. Como una medida quirúrgica, se utiliza para controlar el dolor o un proceso causado por una enfermedad en la extremidad afectada, por ejemplo un tumor maligno o una gangrena.

Circuncisión

La circuncisión consiste en cortar la porción del prepucio del pene que cubre al glande, dejándolo permanentemente al descubierto.[5][6]

Histerectomía

Una histerectomía es la extracción quirúrgica del útero.[7] La pérdida de útero provoca la imposibilidad absoluta de anidar el ovocito o huevo fecundado, lo que impide el desarrollo del embrión y posteriormente el feto, originando esterilidad.[8][9][10]

Lobectomía

La lobectomía es la extirpación quirúrgica del lóbulo de un órgano o de una glándula. Hay lobectomía pulmonar, hepática o cerebral.

Mastectomía

La mastectomía es la extirpación de una o ambas mamas de manera parcial o completa. Se practica principalmente para tratar quirúrgicamente los cánceres de mama.

Tumorectomía

La tumorectomía es la extirpación quirúrgica de una masa tumoral, benigna o maligna, o de una tumoración localizada.

Prácticas no médicas

Mutilación sexual

Son mutilaciones genitales realizadas por razones culturales, religiosas o cualquiera otra no médica. Obedece principalmente a creencias sociales y se realiza en las niñas prepúberes en 28 países de África mayoritariamente. Las niñas expuestas a estas prácticas corren el riesgo de sufrir consecuencias físicas inmediatas, y de largo plazo, que pueden incluir dolor crónico e infecciones, además de sufrir problemas de salud mental. Las intervenciones de mutilación/ablación tienen como objetivo reducir este hábito entre las comunidades que lo practican.[11] En la mayoría de los países se consideran un acto de violencia tipificado en la legislación y son castigados por la justicia.

  • La ablación del clítoris o clitoridectomía es la extirpación del clítoris, se considera un tipo de mutilación genital femenina. En España está tipificada como delito, en la que la justicia es competente para enjuiciar el delito cometido fuera de la jurisdicción española, desde la reforma de la Ley 3/2005.
El ordenamiento jurídico español tipifica estas prácticas, en cualquiera de sus formas o variantes, como un delito de lesiones. Es por ello que consideramos de especial importancia el conocimiento por parte de los profesionales de la medicina forense de todas aquellas cuestiones relativas a las Mutilaciones Genitales Femeninas que pudieran plantear una valoración médico legal en la práctica.
  • La infibulación es otra mutilación de los genitales femeninos, cruenta en la mayoría de los casos, consistente en una clitoridectomía seguida por el cierre vaginal mediante sutura. Solamente se deja una pequeña abertura para la emisión de orina y descarga de la sangre menstrual.
  • La castración es la técnica quirúrgica destinada a extirpar los órganos sexuales, los testículos de un hombre o los ovarios en una mujer; se practica tanto en seres humanos como en animales domésticos.

Véase también

Referencias

  1. Masson, Estanislao Navarro-Beltrán Iracet (1992). Diccionario terminológico de ciencias médicas (13ra edición). Elsevier, España. p. 3. ISBN 8445800957.
  2. Real Academia Nacional de Medicina. Diccionario de términos médicos. Madrid: Ed Panamericana; 2012.
  3. Ablation for Arrhythmias. American Heart Association. Consultado el 2/5/2013.
  4. Radiofrequency ablation for cancer. Mayo Clinic. Consultado el 2/5/2013.
  5. Circuncisión. Diccionario de la lengua española (22 ed). Madrid: Real Academia Española; 2001. Consultado el 24/09/2012.
  6. Information Package on male circumcision and HIV prevention. WHO. Consultado el 24/09/2012.
  7. - Histerectomía en MedlinePuls
  8. «Facts about hysterectomy». Hysterectomy Alternatives and Aftereffects. Consultado el 7 de junio de 2007.
  9. «Female Anatomy: the Functions of Female Organs». Hysterectomy Alternatives and Aftereffects. Consultado el 7 de junio de 2007.
  10. «Hysterectomy Educational Resources & Services». Hysterectomy Alternatives and Consequences. Consultado el 13 de febrero de 2009.
  11. Chukwudozie, A. (5 de octubre de 2018). «Las intervenciones para reducir la mutilación/ablación genital femenina afectan las actitudes, no las prácticas». Caracas: The Campbell Collaboration. Consultado el 15 de enero de 2020.
  12. Gallego MA, López MI. Mutilación genital femenina. Revisión y aspectos de interés médico legal. Cuadernos de Medicina forense. 2010; 16(3):145-51.
  13. Nogueria, Charo (12 de septiembre de 2011). «Niñas sin pecho en Camerún». El País. Consultado el 12 de septiembre de 2011.
Este artículo ha sido escrito por Wikipedia. El texto está disponible bajo la licencia Creative Commons - Atribución - CompartirIgual. Pueden aplicarse cláusulas adicionales a los archivos multimedia.