Epitelio cilíndrico
El epitelio cilíndrico o epitelio columnar es un tipo de epitelio de revestimiento formado por una o varias capas de células altas, que recubre la superficie interior de órganos huecos o tubulares como son el intestino, las glándulas exócrinas, las trompas de Falopio, el estómago, la vesícula biliar y el apéndice. Tiene funciones de absorción y secreción. Sus células poseen modificaciones en el extremo apical (microvellosidades y cilios) y también en la región basolateral. Las funciones principales de este epitelio son la absorción y la secreción.
| Epitelio cilíndrico | ||
|---|---|---|
| Nombre y clasificación | ||
| Sinónimos |
| |
| Latín | [TA]: Epithelium simplex columnare | |
| TA | H2.00.02.0.02020 H2.00.02.0.02021; H2.00.02.0.02042 | |
| TH | H2.00.02.0.01012 | |
| TH | H2.00.02.0.01012 | |
|
| ||

Clasificación
Según la función que cumple, este es un epitelio de revestimiento. Reviste la superficie interior de órganos tubulares como el intestino, antes era conocido como la membrana mucosa.
Las superficies revestidas por este epitelio son: mucosa gástrica, mucosa intestinal, mucosa de la vesícula biliar, Trompas uterinas, endometrio, conductos interlobulillares glandulares, vesículas seminales y glándulas bulbouretrales.[1][2]
Morfología
El epitelio cilíndrico simple está integrado por células en las cuales la altura predomina sobre el ancho y el grosor. La forma de sus núcleos es ovalado, está situado en el tercio basal. Poseen modificaciones en su extremo apical, son las microvellosidades y los cilios.[1]
Función
Sus funciones son la absorción y la secreción el ejemplo más claro es el del revestimiento del tracto digestivo desde el cardias, en el estómago, hasta el ano, también se encuentra en la vesícula biliar y los conductos mayores de las glándulas.
Las células cilíndricas presentan un núcleo ovoide a un mismo nivel. Pueden presentar un borde estriado o microvellosidades.
El epitelio columnar simple que reviste el útero, oviductos, conductos deferentes, pequeños bronquiolos y senos paranasales es ciliado.
El epitelio cilíndrico presenta microvellosidades para mejorar la absorción.
Tipos de epitelio cilíndrico (columnar)
Hay distintos tipos de epitelio cilíndrico o columnar según sus características histológicas: Epitelio cilíndrico simple, Epitelio cilíndrico ciliado seudoestratificado, Epitelio cilíndrico glandular.
Epitelio cilíndrico simple

Un ejemplo característico de epitelio simple es la superficie mucosa del intestino. Su espesor es de una sola célula. Esta célula es alta y por eso también se llama epitelio columnar o prismático. Sus núcleos ovoides están a un mismo nivel en la parte basal.[3]
Las células cilíndricas adyacentes se adhieren mediante uniones estrechas. Estas uniones estrechas separan a la membrana celular en dos sectores o dominios el apical y el basolateral. Por tanto, las uniones estrechas aseguran la polarización celular y el transporte transepitelial selectivo.[4]
El dominio apical con microvellosidades recibe también el nombre de borde en cepillo o chapa estriada.
Este tipo de epitelio constituye el revestimiento del intestino desde el cardias hasta el ano. También se encuentra en la vesícula biliar y los conductos mayores de las glándulas exocrinas accesorias.
Otro ejemplo especial de epitelio cilíndrico simple, es el de la trompa del útero. Está formado por células ciliadas y otras células no ciliadas. Estas células muestran fases en su función, que están determinadas por el ciclo ovárico. El aumento de estrógeno provoca la generación de cilios, en tanto que el alza posterior de la progesterona aumenta la cantidad de células secretoras.[5][6]
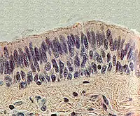
Epitelio cilíndrico ciliado seudoestratificado
.jpg.webp)

El aspecto de este epitelio columnar pseudoestratificado es idéntico al epitelio cilíndrico no ciliado, pero la superficie libre de las células está cubierta de cilios.
Recubre el útero y las trompas de Falopio, los conductos eferentes de los testículos, los bronquios pequeños y en el conducto ependimario de la médula espinal.
Epitelio cilíndrico glandular
El Epitelio cilíndrico es característico de las glándulas exocrinas.
Referencias
- Montalvo C.; Pasos F.; Hernández R. (2010). «Tejido epitelial de revestimiento». Facultad de Medicina, U.N.A.M., Méjico. p. 29-35.
- Victor P. Eroschenko; Mariano S.H. di Fiore (2013). «Chapter4: Epithelial Tissue». diFiore's Atlas of Histology with Functional Correlations (en inglés) (11th. edición). Lippincott Williams & Wilkins. p. 44.
- Mejias, M. (2016). «Epitelio Simple prismático.». Atlas de histología vegetal y animal. Universidad de Vigo.
- Pedersen GA,; Jensen HH,; Schelde A-SB,; Toft C,; Pedersen HN; Ulrichsen M, (2017). «The basolateral vesicle sorting machinery and basolateral proteins are recruited to the site of enteropathogenic E. coli microcolony growth at the apical membrane.». PLoS ONE 12 (6): e0179122.
- Open,, Ana R.; Vallejos,, Arnaldo R.; Morales,, Yolanda I. (2002). Variaciones morfológicas observadas en las células ciliadas y no ciliadas del epitelio tubario con el Microscopio Electrónico de Barrido (MEB) (017). Facultad de medicina, U.N.N.E.,Corrientes, Argentina.
- Anzaldúa, S.; Pérez, M.; Cerbón, M. A.; Camacho, I. (2003). «Actividad secretora del oviducto de mamíferos domésticos durante la fertilización y el desarrollo embrionario temprano.». Ciencia Veterinaria (Facultad de medicina, U.N.A.M., Méjico) 9 (8): 232.