Enfermedad de Whipple

La enfermedad de Whipple (también llamada lipodistrofia intestinal)[1] es una enfermedad rara e infecciosa, causada por la bacteria Tropheryma whipplei, de la familia de los Actinomyces.[2]

Enfermedad de Whipple

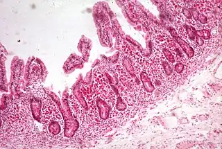
Enfermedad de Whipple: agrandamiento de las vellosidades intestinales e infiltación con macrófagos.
Especialidad gastroenterología
Sinónimos
lipodistrofia intestinal

Se caracteriza por artritis, malabsorción, y otros síntomas, fundamentalmente intestinales, (lipodistrofia intestinal, acumulación de depósitos grasos en sistema linfático intestinal).[3] Descrita por primera vez por George Hoyt Whipple en 1907,[4] y comúnmente considerada un trastorno gastrointestinal, la enfermedad de Whipple causa principalmente malabsorción, aunque puede afectar cualquier parte del cuerpo, incluyendo el corazón, pulmones, cerebro, articulaciones y los ojos. Los síntomas principales son pérdida de peso, diarrea, dolor en las articulaciones y artritis, pero la presentación puede ser altamente variable, en la que un 15 % de los pacientes no presentan estos síntomas clásicos.[5] Al ser diagnosticado correctamente y tratado, la enfermedad de Whipple por lo general puede ser curada con terapia de antibióticos, sin embargo, si la enfermedad cursa sin tratamiento puede ser mortal.[1]

Epidemiología

La enfermedad de Whipple es considerablemente más común en hombres, con un sobrepujante 87% de los pacientes siendo masculinos,[6] entre 30 y 40 años de edad, predominantemente de raza blanca y sin factores de riesgo ocupacionales.

El caso descrito originalmente por George Hoyt Whipple, corespondía a un paciente de 36 años con poliartritis migratoria, tos, diarrea con malabsorción, pérdida de peso y linfoadenopatía mesentérica. Es probable que el microorganismo, recientemente cultivado por primera vez, se trate de un patógeno ambiental.[2]

Cuadro clínico

La enfermedad de Whipple se ha caracterizado clásicamente como una enfermedad digestiva (de ahí el nombre de lipodistrofia intestinal) que se manifiesta con un síndrome de malabsorción potencialmente mortal. Los principales síntomas del trastorno incluyen:[7]

Diagnóstico

El diagnóstico de la enfermedad de Whipple se realiza por análisis de una biopsia intestinal a nivel de las criptas entéricas, el cual revelará por microscopía la presencia del microorganismo fagocitado como inclusiones PAS-positivas en macrófagos localizadas principalmente en la lámina propia intestinal.[2] Las tinciones inmunohistoquímicas para anticuerpos anti-T. whipplei han sido usadas para detectar al organismo en una variedad de tejidos. También están disponibles los exámenes confirmativos basados en PCR (polymerase chain reaction).[7]

La endoscopia del duodeno y yeyuno puede mostrar la mucosa amarillenta con parches erosionados y eritematosos en pacientes con la forma intestinal clásica de la enfermedad de Whipple. La radiografía del intestino delgado puede mostrar pliegues engrosadas.

Tratamiento

El tratamiento por lo general es con penicilina, ampicilina, tetraciclina o co-trimoxazol por 1-2 años.[5] Cualquier tratamiento que dure menos de un año, tiene una tasa de reaparición cercana al 40 %.

Se ha sugerido en 2007 el uso de doxiciclina con hidroxicloroquina por 12 a 18 meses. Los sulfonamidas (sulfadiazina o sulfametoxazol)[1] deberían ser añadidos para el tratamiento de síntomas neurológicos.[6]

Pronóstico

El pronóstico de la enfermedad es desafiante, con la persistencia de la enfermedad y las recaídas siendo eventos frecuentes. Aunque los datos disponibles son escasos, se estima que las tasas de recaída oscilan entre el 30 % y el 50 %. Es importante destacar que los pacientes con afectación del sistema nervioso central tienden a experimentar tasas de recaída aún más elevadas. Antes de la introducción de los antibióticos, la enfermedad solía ser fatal en muchos casos.[8]

Referencias

  1. por MedlinePlus (diciembre de 2006). «Enfermedad de Whipple». Enciclopedia médica en español. Consultado el 17 de febrero de 2008. «La causa probable de la enfermedad de Whipple es una infección debida a Tropheryma whipplei. La enfermedad afecta principalmente a hombres de mediana edad de raza blanca y la aparición de los síntomas es generalmente lenta. Si no se trata, puede ser mortal.»
  2. Javier Azúa-Romeo, Carmen Yus, Jorge Alfaro. Enfermedad de Whipple de manifestación exclusivamente intestinal. Presentación de un caso y actualización bibliográfica. (en español). REV ESP PATOL 2002; Vol 35, n.o 1: 107-111. URL accedida el 17 de febrero de 2008.
  3. Puéchal X (2002). «Whipple's disease». Joint Bone Spine 69 (2): 133-40. PMID 12027303.
  4. Whipple GH (1907). «A hitherto undescribed disease characterized anatomically by deposits of fat and fatty acid in the intestinal and mesenteric lymphatic tissues». Bull Johns Hopkins Hosp 18: 382-93.
  5. Bai J, Mazure R, Vazquez H, Niveloni S, Smecuol E, Pedreira S, Mauriño E (2004). «Whipple's disease». Clin Gastroenterol Hepatol 2 (10): 849-60. PMID 15476147.
  6. Fenollar F, Puéchal X, Raoult D (2007). «Whipple's disease». N Engl J Med 356 (1): 55-66. PMID 17202456.
  7. GIL RUIZ, J. A., GIL SIMON, P., APARICIO DUQUE, R. et al. Asociación de enfermedad de Whipple e infección por Giardia lamblia. Rev. esp. enferm. dig. [online]. 2005, vol. 97, no. 7 [citado 2008-02-19], pp. 521-526. Disponible en: . ISSN 1130-0108.
  8. «DynaMed». www.dynamed.com. Consultado el 17 de mayo de 2024.
  • Farreras y Rozman, Medicina Interna, 2000.
  • Schwartzman S, Schwartzman M. Enfermedad de Whipple.Rheum Dis Clin North Am. 2013 Mayo;39(2):313-21.
  • Arnold CA, Moreira RK, Lam-Himlin D, De Petris G, Montgomery E. Enfermedad de Whipple un siglo después de la descripción inicial: mayor reconocimiento de presentaciones inusuales, comorbilidades autoinmunes y efectos terapéuticos.Soy J Surg Pathol. Julio de 2012;36(7):1066-73.
  • Arnold CA, Moreira RK, Lam-Himlin D, De Petris G, Montgomery E. Enfermedad de Whipple un siglo después de la descripción inicial: mayor reconocimiento de presentaciones inusuales, comorbilidades autoinmunes y efectos terapéuticos.Soy J Surg Pathol. Julio de 2012;36(7):1066-73.

Enlaces externos

Este artículo ha sido escrito por Wikipedia. El texto está disponible bajo la licencia Creative Commons - Atribución - CompartirIgual. Pueden aplicarse cláusulas adicionales a los archivos multimedia.